Cookie Consent byPrivacyPolicies.comque faire avec cet implant? - Eugenol

que faire avec cet implant?

yoye

18/05/2015 à 22h13

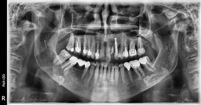
Bonsoir, je reçois ce jour une patiente qui a perdu une ccm sur sa 22 , cette 22 a déjà subi une résection apicale et il n' y a pas d'autres choix que d'extraire.
En 23 on a un implant qui semble bien ostéo intégré même si on remarque une forte perte osseuse sur la 24 mesial qui vient contaminer l'implant.
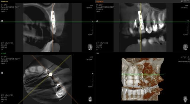
L'autre problème est que le cone bean révèle que l implant est en dehors de la crête osseuse
Il n'y a pas d'épaisseur pour poser un implant en 22 sans envisager une greffe au préalable.
Que faire de l'implant 23 ?
Pensez vous qu' il vaut mieux le laisser en place même si la greffe va forcément être en rapport avec son apex?
Merci pour vos avis

Eugenol z7asfw - Eugenol
Eugenol 2  bf1ubs - Eugenol
Eugenol 3  q5irj8 - Eugenol

dentiste68

18/05/2015 à 22h23

Je virerais la 2, l'implant et même la 4.
Pour récupérer une pointe osseuse en mésial de 5, pouvoir greffer dans de bonnes conditions et récupérer des tissus mous adéquats.
Mais c'est lourd, j'en conviens.


Blason dql7mj - Eugenol
growler

19/05/2015 à 00h00

exact, il faut virer aussi la 4 et tout reprendre à zéro


Image r6habu - Eugenol
Thomas Crown

19/05/2015 à 12h37

Tu as une photo en occlusion ? histoire de parler de l environnement aussi.
Pourquoi virer la 4? mobilité, suppuration, latéralité, autre ?
comment sais tu que la poche mésial de 4 contamine ?
Pourquoi ne pas faire un beau lambeau d assainissement du cadran, avec extr 22, et comblement de 4 et alvéole 2, puis ré intervenir ensuite pour analyser si tu peux sauver 4, ROG vestib 3 avec implant en 2.
Je ferai ça , mais je suis pas un cador comme D68 et Growler!
Mon idée c est que si l implant tient dans ces conditions, la maladie paro est à bon pronostic
sous réserve d' infos complémentaires.
Si je dis une connerie ...dites moi.


yoye

19/05/2015 à 14h23

Bonjour, merci pour vos réponse.
Oui la 4 est mobile légèrement.
Mais question concernant aussi le fait que pour faire la greffe vu le manque d'épaisseur sur 22 on se heurterait à l'apex de l'implant en 23. Je ne savais pas trop ce que ça pouvait donner.
Je n'ai pas de photo en occlusion pour le moment , mais il n'y a avait pas de problème important de ce point de vue


rene

29/05/2015 à 08h03

tu gardes l'implant et tu refais la prothese avec la 22 en extension en prenant garde a l'occlusion


rene

29/05/2015 à 08h05

j'avais pas vu le scan de la 23
pas d'extension!!!