Cookie Consent byPrivacyPolicies.comInfection sous couronne - Eugenol

Infection sous couronne

Hollande portrait nu x0motm - Eugenol
DocteurCuir

19/05/2015 à 19h36

Bonjour,

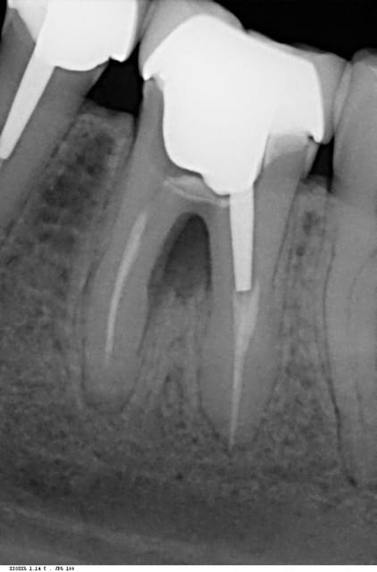
J'ai reçu ce jour une patiente de 21 ans pour une douleur sous une 36, couronnée.
A l'examen clinique j'ai une douleur a la percussion ainsi qu'un début d’abcès en lingual.

La ou je sèche un peu, c'est que cette couronne a été réalisée en décembre 2014, et me semble correcte.
Serait ce une fracture due au tenon ?
J'ai renvoyé au praticien, mais quelle marche à suivre s'il envoie paitre la patiente ? Ce qu'il a déjà fais une fois, mais sans avoir fait de radio d'après la patiente.

Merci pour les conseils.

Xxx2 wcx3aw - Eugenol
Xxx1 mqtwrh - Eugenol

VivaEuropa!

19/05/2015 à 19h48

Etape 1 : tu restes confraternel et tu renvoies poliment à son praticien. ✓
Etape 2 : Si jamais il ne comprends pas le message, tu auras toute latitude pour proposer une solution tenant compte de la lésion inter-radiculaire en phase active.


toothex

19/05/2015 à 19h55

adresse a chicot, il va te reprendre l'endo !


Hollande portrait nu x0motm - Eugenol
DocteurCuir

19/05/2015 à 19h56

J'ai oublié de préciser que la patiente avait une pano de début 2014 ou on voit que cette dent était déjà devitalisée mais sans lésion.

Je suis bien resté confraternel; je lui ai dit que si c'était une fracture du au tenon ce n'était pas une faute mais un aléa, que c'était vraiment la faute a pas de bol. La patiente est très angoissée mais bon elle sort d'un cancer, je la comprends.

Personnellement j'aurais mis un implant en déduisant le prix de la couronne, mais ais je raison ?


azerty

19/05/2015 à 20h37

pb paro la dent est foutue a moyenterme. refaire la couronne ne sert a rien


azerty

19/05/2015 à 20h38

c'est pas une fracture de tenon, mais du a l'ag a mon avis


Index vakr2r - Eugenol
pgc

19/05/2015 à 21h31

Ca ressemble pas à de l'amalgame.
On dirait une pièce coulée, mais dans ce cas, pourquoi le tenon n'est pas du même métal?
En tout cas le plancher est perforé, cassé ou carié, sûr de sûr...
Donc la dent est fichue.

--
Ne met pas tes doigts dans la Convention! Tu risques de te faire pincer très fort.


VivaEuropa!

19/05/2015 à 21h38

Le tenon n'a pas la même radio-opacité que le reste car moins épais. Par contre pour l'adaptation de l'IC dans la chambre pulpaire il peut revoir sa technique d'empreinte. Sans parler de l'adaptation cervicale. Si tu compares avec la 35, c'est cohérent. Cohérent aussi avec l'aspect du matériau d'obturation qui ne ressemble pas trop à ce qu'on obtient avec de la gutta.

Bon après, si la dent est restée sans couronne un temps indéterminé, ça n'aide pas non plus. Et à ça, le praticien n'y peut rien.


Blocperso talon jer3sl - Eugenol
mrquentin

19/05/2015 à 22h26

perfo du plancher visible à la radio. extraction et implant à 3 mois


Index vf7ggk - Eugenol
dentisfuturis

19/05/2015 à 23h27

l'os au niveau de la furcation est radioclaire ce qui est suspect...une palpation dans cette zone plutôt qu'au niveau du périapex devrait signer le diagnostic...

--
http://www.dentisfuturis.com


Aiguille cyboyt - Eugenol
fatboy

20/05/2015 à 12h30

Perforation du plancher, extraction, implant.
Tu renvoies au dentiste traitant, si il fait le mort, l'infection elle se manifestera de plus en plus, mais c'est pas ton probleme.
Si la patiente veut que tu la suives, ton diagnostic c'est que cette dent est a extraire sans dire que le precedent a fait une faute, et tu expliques ton plan de traitement.
Les patients sont pas cons, ils connaissent l'alea therapeutique mais aussi les erreurs des praticiens.
Ce sont des cas pas evidents, mais tu as le beau role dans l'histoire (pas ta dent, pas ta boulette), tache de rester dans cette configuration, et evite de te prendre une plainte au CNO.


Hollande portrait nu x0motm - Eugenol
DocteurCuir

20/05/2015 à 12h41

Ok merci pour vos conseils, je vais rester sur ma ligne de conduite.

J'avoue que j'avais envie de l'aider, car le confrère a fait les couronnes en 2014, mais ne veut plus d'elle en 2015 car "il ne travaille pas avec la cmu". Je n'ai pas manqué de dire à la patiente que ça c'était illégal


eusebius

20/05/2015 à 15h33

DocteurCuir écrivait:
---------------------
> Ok merci pour vos conseils, je vais rester sur ma ligne de conduite.
>
> J'avoue que j'avais envie de l'aider, car le confrère a fait les couronnes en
> 2014, mais ne veut plus d'elle en 2015 car "il ne travaille pas avec la cmu". Je
> n'ai pas manqué de dire à la patiente que ça c'était illégal

Que vas tu faire??

cela m'intéresse..

tu vas suivre la ccam Cmu??


Eldrya

20/05/2015 à 17h00

Si c'est une patiente cmu et que la solution est implantaire...
Ou alors un bridge avec 35 et 37 car là c'est remboursé par contre...
mais si 35 a été faite récemment la cpam risque de tiquer en voyant une nouvelle demande de remboursement...
Pas évident comme histoire..


roger chicot

21/05/2015 à 00h39

8 réponses pour quelque chose de facile à analyser sur la rétro, merci quentin...

Perfo plancher par reprise de carie, essai de sauvetage par un fond de cavité, un matériau radio opaque en tout cas, quid du collage ?... Mais ça n'a pas suffi.
Inlay-core pas trop bien adapté, en cause, la prépa et l'emp donc le prat, le proto ?
Essai de mise en place d'un ancrage radiculaire dans la racine mésiale. puis retour en arrière car perfo ou ?
Ça parait "circonscrit, cette perfo, donc sans doute, sans signe clinique...

Possible fissure de la racine mésiale sans doute en vestibulaire... ou en lingual, ou les 2, mais c'est pas fracturé, le ligament a l'air en bonne santé, signe clinique gingivale parfois évident, poche, etc...
Et sans doute la cause de la douleur à la percu.

Mais nous n'avons qu'une radio et un pano, alors...

En tout cas, pas de palabre, c'est mort, implant à 3 mois !

Et, ça m'est arrivé, couronner pour avulser à 6 mois ! Ça fait iéch, mais des fois,ça passe sur 5/10 ans suivant ce que ça bouffe et si ça se lave. Enfin, bon, pour reculer l'échéance inéluctable ou attendre la complémentaire qui rembourse les implants.

Bonne nuit.