Cookie Consent byPrivacyPolicies.comCas paro - Eugenol

Cas paro

G-P

20/05/2015 à 01h48

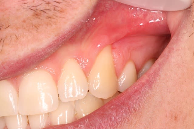
Patient 26 ans non fumeur, brossage traumatique, récessions un peu partout, surtout les 16 13 23 26 et prémolaires du bas.

Il va se calmer pour le brossage, mais il va falloir faire quelque chose sur cette 23.
Je pensais faire une freinectomie puis quelques mois après si c'est favorable un lambeau pédiculé repositionné latéralement.
Possible de faire une seule intervention ici ? D'autres idées ? :)



2 hvwuek - Eugenol
1 anajtv - Eugenol

Capture d  cran 2015 05 13   10.37 - Eugenol
BA

20/05/2015 à 18h30

Je sais bien que ce sont des techniques moyennement esthétiques à court terme , mais moi j'aime bien faire dans ce cas une greffe conj + epithelium; et seulement après 3 mois , si c'est nécessaire un recouvrement de la racine ,
mais bien souvent je m'aperçois que le fait d' avoir débridé le frein et apposé la muqueuse palatine bien plaquée au périoste a suffit à provoquer un "pseudo recouvrement"
Je reconnais qu'au début ça ressemble à un gros placard rose, mais au fil des années ça se fond et surtout c'est très solide !


Images jm2g2g - Eugenol
dr_0le

25/05/2015 à 00h12

plastie en z pour commencer, et on reevalue.

--
You can't always get what you want..


flicflac

03/10/2015 à 13h04

oui, lambeau déplacé latéralement et bilaminaire au besoin selon l'épaisseur de la gencive attaché au gingivale des prémolaires.
largeur du pédicule 6mm plus la largeur de la récession au JEC.
Ta muqueuse mobile et ton 'clef' seront enlevé dans ton lambeau au niveau gingivale de la canine