Cookie Consent byPrivacyPolicies.comParodontite chronique et Implants - Eugenol

Parodontite chronique et Implants

Sans titre tztxfv - Eugenol
Monet

20/05/2015 à 19h10

Chers confrères,

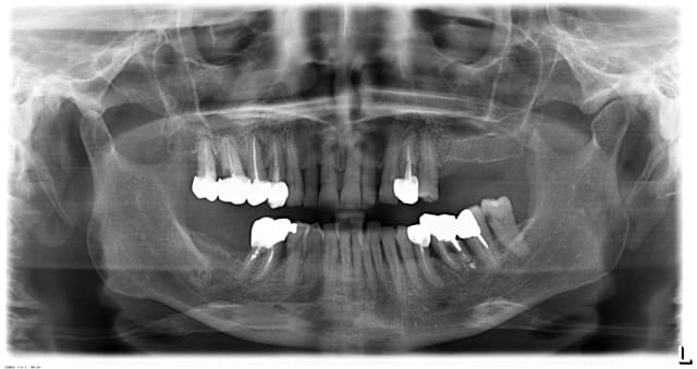
Comment soigneriez vous cette patiente qui est venue me consulter pour une cellulite au niveau de 14 et 15.

La patiente de 60 ans est en bonne santé générale et fume 10 cigarettes/jour.

J'ai fait les modèles d’étude que j'ajouterai rapidement au post.

Si je vous pose la question, c'est que je suis en plein doute depuis un échec récent sur un patient où j'avais stabilisé le terrain paro (détartrages,surfaçages classiques et surtout motivation à l’hygiène associé à un arrêt du tabac)qui "m'est revenu" après 5 ans sans aucun contrôle, avec une péri-implantite avec dépose des implants à la précelle...

Avis gbb7qx - Eugenol

060108 005 nrfjgc - Eugenol
NaFr

20/05/2015 à 19h53

....quoique tu fasses sur 14 et 15, il me semble que 16 et 17 sont condamnées....

--
Francis N.


Zorba le grec 1373406512 108 lfk5ey - Eugenol
zorbalegrec

20/05/2015 à 20h10

Revenu 5 ans après, sur un terrain paro l'échec est pour lui , pas pour toi, il n'avait qu'à faire des visites régulières, au moins une fois par an.


G-P

21/05/2015 à 13h59

+1 si pas de maintenance annuelle, tu n'y es pour rien.


flicflac

03/10/2015 à 13h32

++1, et 36 condamné aussi en plus de 14-15-16-17-
avec paro un partielle ou au mieux rien si hygiène pas au rendez-vous