Cookie Consent byPrivacyPolicies.comUn an déjà que la ccam a changé notre vie!! - Eugenol

Un an déjà que la ccam a changé notre vie!!

vmdeugénol

01/06/2015 à 17h52

Une petite pensée pour cette grande réforme et ce grand débat qui agita notre verre d'eau et la petite goutte malgré laquelle il ne déborda pas...

Alors heureuse Catherine?


JUAN

01/06/2015 à 17h57

sauf que pour ma part je me reconverti dès que possible pour quitter ce job qui est chaque jour plus difficile à faire. franchement les jeunes en ont ras le bol! c'est pas bon pour une profession


dent2669

01/06/2015 à 18h56

Au risque d'en exciter certains sur le forum, moi elle ne m'a pas beaucoup changé la vie cette CCAM

-Surtout parce que j'ai Logos et qu'ils ont vraiment été bons avec leur assistant de cotation. Du coup, je ne connais pas le moindre code CCAM ni le moindre code d'association ou truc comme ça mais je n'ai jamais eu de retour de la sécu pour des erreur de code. Ca fonctionne du tonnerre !!

-Aussi parce que depuis le 01 juin dernier, et grâce à ce même assistant de cotation de logos, je fais payer tout ce que je fais (désobutration, déscellement, reconstitution pré-endo...) ce que je ne faisait pas avant car il n'y avait pas de code en face duquel on notait "0€".
Maintenant, tout ce qui a un code, je le fais payer sans scrupule.

-Quant aux mutuelles, je touche du bois mais je fais encore parti de ceux qu'ils laissent tranquille jusqu'à maintenant ! Et de toutes façon, avec ou sans CCAM, ils seraient bien parvenu à faire ce qu'ils veulent !


cy2

01/06/2015 à 19h29

dent2669 écrivait:
------------------
> Au risque d'en exciter certains sur le forum, moi elle ne m'a pas beaucoup
> changé la vie cette CCAM
>
> -Surtout parce que j'ai Logos et qu'ils ont vraiment été bons avec leur
> assistant de cotation. Du coup, je ne connais pas le moindre code CCAM ni le
> moindre code d'association ou truc comme ça mais je n'ai jamais eu de retour de
> la sécu pour des erreur de code. Ca fonctionne du tonnerre !!
>
> -Aussi parce que depuis le 01 juin dernier, et grâce à ce même assistant de
> cotation de logos, je fais payer tout ce que je fais (désobutration,
> déscellement, reconstitution pré-endo...) ce que je ne faisait pas avant car il
> n'y avait pas de code en face duquel on notait "0€".
> Maintenant, tout ce qui a un code, je le fais payer sans scrupule.
>
> -Quant aux mutuelles, je touche du bois mais je fais encore parti de ceux qu'ils
> laissent tranquille jusqu'à maintenant ! Et de toutes façon, avec ou sans CCAM,
> ils seraient bien parvenu à faire ce qu'ils veulent !

La CCAM n'a été qu'un prétexte pour faire payer des actes codés par la sécu mais NR...
Avant il y avait le HN qui revenait exactement au même. Sauf que nous n'osions pas facturer HN.


Capture d  cran 2015 03 12 12.28 - Eugenol
chicot29

01/06/2015 à 19h39

dent2669 écrivait:
------------------

> Maintenant, tout ce qui a un code, je le fais payer sans scrupule.
>

Ah ? et tes petits copains dentistes de ton bled font la meme chose ? parce que si ca n'est pas le cas tu vas avoir des surprises !

Mettre un code ou HN c'est quif quif, c'est pas remboursé ca n'est qu'un écran de fumée. Quand au relations avec les CDC cette CCAM ne change rien, en effet ces derniers ne t'emmerdent que sur ce que la sécu rembourse pas sur ce qu'elle ne rembourse pas.


X ray 03 medium zvq18j - Eugenol
cyber_quenottes

01/06/2015 à 20h26

Tout ceci me rappelle l'attitude de pierres en 2006
qui était devenu HNiste

celà devait même être le titre du sujet


http://www.eugenol.com/sujets/395282-convention-2012-les-negociations?page=18
voir mon message du 6 Avril 2012 16H27

rien de changé donc sous le soleil

si vous pensez que la csnd vous a donné des couilles pour facturer ce qui est HN c'est effectivement surement le cas pour certains mais.... pas tous

en gros il y a ceux
- qui font rien payer HN
- qui faisaient payer un peu de HN dans le temps
- qui faisaient payer un peu de HN quand c'est sorti des FSE
- qui en font un peu plus avec la CCAM

le probleme c'est qu'il en reste et restera toujours pour ne pas en faire


et là effectivement c'est retour de baton dans la gueule potentiel

--
--------------------------
" La charte nous protège "
Catherine mojaisky


cy2

01/06/2015 à 20h55


>
>
> et là effectivement c'est retour de baton dans la gueule potentiel
>
> --
> --------------------------
> " La charte nous protège "
> Catherine mojaisky

Je ne comprends quel est le risque?


yobi

01/06/2015 à 21h08

pour moi , et cela ne surprendre personne , le bilan est positif .
J'arrive à optimiser la CCAM (double extraction , double détartrage par ex.) et je facture maintenant beaucoup d'actes que je faisais gratuitement avant . Pour cela la CCAM a été pour moi( et pour beaucoup de mes confrères) , le facteur déclenchant la facturation de ces actes .
Je sais que nous pouvions parfaitement le faire avant mais nous avions la flemme , le manque de courage et certainement d'autres raisons pour ne pas le faire.
J'avoue tout de même avoir parfois un peu galéré avec Visiodent mais tout cela n'est plus qu'un mauvais souvenir....
Je suis persuadé qu'a part les 40 râleurs du site , il n'y aura dans un an plus personne a vouloir revenir à la NGAP .


RépondreCiter
Marque a3 orange fyvhyq - Eugenol
Marc Apap

01/06/2015 à 21h15

J'ai connu une annus horribilis en passant à Logos, mais maintenant que je suis revenu à Julie, je respire enfin.


Images cu89bm - Eugenol
Tizott

01/06/2015 à 21h31

yobi écrivait:
--------------
> pour moi , et cela ne surprendre personne , le bilan est positif .
> J'arrive à optimiser la CCAM (double extraction , double détartrage par ex.) et
> je facture maintenant beaucoup d'actes que je faisais gratuitement avant . Pour
> cela la CCAM a été pour moi( et pour beaucoup de mes confrères) , le facteur
> déclenchant la facturation de ces actes .
> Je sais que nous pouvions parfaitement le faire avant mais nous avions la
> flemme , le manque de courage et certainement d'autres raisons pour ne pas le
> faire.
> J'avoue tout de même avoir parfois un peu galéré avec Visiodent mais tout cela
> n'est plus qu'un mauvais souvenir....
> Je suis persuadé qu'a part les 40 râleurs du site , il n'y aura dans un an plus
> personne a vouloir revenir à la NGAP .

Ton CA a explosé de combien de combien par rapport à la NGAP ?


dent2669

01/06/2015 à 22h21

chicot29 écrivait:
------------------
> dent2669 écrivait:
> ------------------
>
> > Maintenant, tout ce qui a un code, je le fais payer sans scrupule.
> >
>
> Ah ? et tes petits copains dentistes de ton bled font la meme chose ? parce
> que si ca n'est pas le cas tu vas avoir des surprises !
>

Je suis dans un coin où tous les confrères et moi avons trop de boulot et refusons des patients tous les jours, je ne m'occupe pas de ce qu'ils font.
Ceux qui me font confiance payent le NPC, les autres vont certainement voir ailleurs.

Yobi parle de "declic" pour faire payer du HN là où on n'en demandait pas avant, pour moi c'est grâce à logos qui editait toutes les lignes et les nouveaux codes de ce qui etait HN en NGAP et toutes ces lignes etaient à zero euro...
le fait de le voir m'a mis un coup de pied aux fesses et maintenant, je ne fais plus cadeau de tout ça.
Ca a correspondu aussi avec une formation d'endo et l'achat d'un microscope et donc allongement de mes rdv d'endo donc ca a compensé un peu tout ça !


Capture d  cran 2015 03 12 12.28 - Eugenol
chicot29

01/06/2015 à 22h47

dent2669 écrivait:
------------------
> chicot29 écrivait:

> Je suis dans un coin où tous les confrères et moi avons trop de boulot et
> refusons des patients tous les jours, je ne m'occupe pas de ce qu'ils font.
> Ceux qui me font confiance payent le NPC, les autres vont certainement voir
> ailleurs.
>

C'est con de passer à coté de couronnes potentielles pour du NPC à 2 balles.


Marque a3 orange fyvhyq - Eugenol
Marc Apap

01/06/2015 à 23h35

Toujours le mot pour rire, mais tellement vrai.


X ray 03 medium zvq18j - Eugenol
cyber_quenottes

01/06/2015 à 23h44

yobi écrivait:
--------------
> pour moi , et cela ne surprendre personne , le bilan est positif .
================
non ca ne surprend personne
c'est d'une évidence crasse

MANNEQUIN de la csnd !

yobi écrivait:
--------------
> Je suis persuadé qu'a part les 40 râleurs du site , il n'y aura dans un an plus personne a vouloir revenir à la NGAP .
==============
oui , tu disais déjà çà il y a un an

"lancement réussi" disait le journal de propagande de la csnd 3 jours avant celui ci
--
--------------------------
" La charte nous protège "
Catherine mojaisky


dent2669

02/06/2015 à 00h19

chicot29 écrivait:
------------------
> C'est con de passer à coté de couronnes potentielles pour du NPC à 2 balles.

Ouais... je préfère encore faire du "NPC à 2 balles" comme tu dis que passer toutes les dents cariées au taille crayon !

Tu as la turbine facile, chacun fait comme bon lui semble mais lorsque c'est possible je préfère gagner ma vie en faisant une belle endo avec un beau composite plutôt que fusiller une dent en posant un IC et une couronne sur une endo vite faite !

Ensuite si ton seul moyen d'avoir des patients est de leur proposer un traitement qui ne leur coûte pas cher, moi mon but est de soigner mes patients comme je soignerai ma mère sans considération financière. Après ils font ce qu'ils veulent avec mon devis, ce n'est pas mon problème. Mais je suis bien conscient que raisonner et pouvoir travailler comme ça est un privilège. Ça fait 3 ans que je suis installé et j'ai toujours fait comme ça. Ma patientelle se "formate" doucement à ma façon de faire.


Capture d  cran 2015 03 12 12.28 - Eugenol
chicot29

02/06/2015 à 01h39

dent2669 écrivait:
------------------
> chicot29 écrivait:
> ------------------
> > C'est con de passer à coté de couronnes potentielles pour du NPC à 2 balles.
>
> Ouais... je préfère encore faire du "NPC à 2 balles" comme tu dis que passer
> toutes les dents cariées au taille crayon !
>

Ben moi c'est l'inverse je fais des composites foireux sur des endos bien faites. comme quoi......
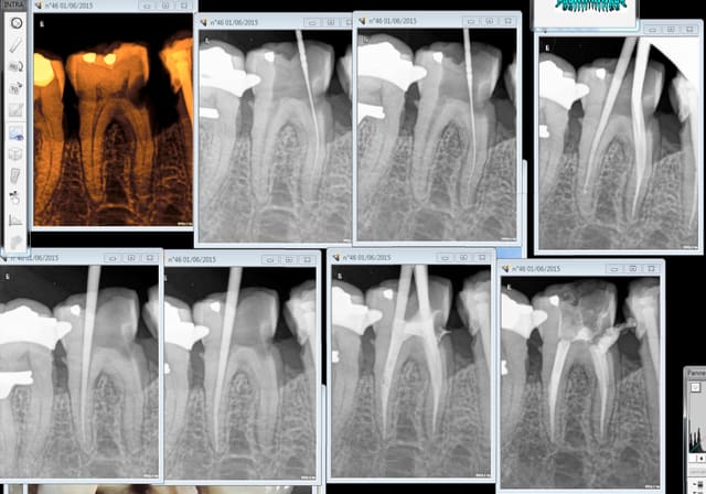
Bon dans ce cas le sc 33 pété sur 45 a été responsable de la carie sur 46. les 2 vont etre passées au taille crayon, c'est l'avantage des composites non indiqués à moyen terme ca fait 2 couronnes au lieu d'une. -))))

Capture d e cran 2015 06 01 23.32 - Eugenol
Capture d e cran 2015 06 01 23.34 - Eugenol

Capture d  cran 2015 03 12 12.28 - Eugenol
chicot29

02/06/2015 à 01h45

dent2669 écrivait:
------------------
> chicot29 écrivait:

> Ça fait 3 ans que je suis installé et j'ai toujours fait comme ça. Ma patientelle se
> "formate" doucement à ma façon de faire.

L'avantage de ton mode de fonctionnement c'est que tu ne vas pas etre surpris par le rattrapage URSSAF de la 3ème année. -))))))


Capture d  cran 2015 03 12 12.28 - Eugenol
chicot29

02/06/2015 à 01h48

dent2669 écrivait:
------------------
> chicot29 écrivait:

> Ensuite si ton seul moyen d'avoir des patients est de leur proposer un
> traitement qui ne leur coûte pas cher, moi mon but est de soigner mes patients
> comme je soignerai ma mère sans considération financière.

Tu es toujours en bon termes avec ta mère ? -)))))


Vw campersurfvan bmnk1q - Eugenol
enlaye

02/06/2015 à 03h21

dent2669 écrivait:
------------------
" chacun fait comme bon lui semble mais lorsque c'est possible je préfère gagner ma vie en faisant une belle endo avec un beau composite"

tu veux dire qu'on peut faire des soins de qualité avec dépassements ? champagne :-)))))))


Capture d  cran 2015 03 12 12.28 - Eugenol
chicot29

02/06/2015 à 08h19

dent2669 écrivait:
------------------
. Mais je suis bien
> conscient que raisonner et pouvoir travailler comme ça est un privilège. Ça fait
> 3 ans que je suis installé et j'ai toujours fait comme ça. Ma patientelle se
> "formate" doucement à ma façon de faire.

Je pige pas, tu peux expliquer ce "privilège" et ta "façon de faire" Ca m'intéresse.


cy2

02/06/2015 à 09h05

chicot29 écrivait:
------------------
> dent2669 écrivait:
> ------------------
> . Mais je suis bien
> > conscient que raisonner et pouvoir travailler comme ça est un privilège. Ça
> fait
> > 3 ans que je suis installé et j'ai toujours fait comme ça. Ma patientelle se
> > "formate" doucement à ma façon de faire.
>
> Je pige pas, tu peux expliquer ce "privilège" et ta "façon de faire" Ca
> m'intéresse.

Sérieux, chicot29... Tu ne peux pas laisser tranquille deux minutes les confrères qui s'expriment... Ça n'est pas parce que tu n'es pas d'accord qu'il faut commenter chaque phrase, non?
;-)


Capture d  cran 2015 03 12 12.28 - Eugenol
chicot29

02/06/2015 à 10h13

Comment ca pas d'accord ? pas d'accord de quoi ? De gagner sa vie en faisant des soins opposables de qualité ?
On a enfin quelqu'un qui a la solution qui plus est avec 3 ans d'ancienneté dans le métier. Je pense que le fait d'avoir un regard neuf peut nous apporter quelque chose. -)


Mosquitogif zt3c7k - Eugenol
mosquito

02/06/2015 à 10h41

Marc Apap écrivait:
-------------------
> J'ai connu une annus horribilis en passant à Logos, mais maintenant que je suis
> revenu à Julie, je respire enfin.
-------

tu as revendu Logos sur le bon coin?


yobi

02/06/2015 à 10h55

je vous fais suivre le mail d'un syndiqué:

"après 1 an de ccam je me suis "amusé" a comptabiliser ce que j'ai gagné à l'appliquer dès le premier jour.

66 abcès parodontaux: (versus consultation sans l'éventuelle radio qui elle est cotable)
gain 1122€
191 détartrages à 1/2 tarif cotés dans la même séance: gain2761€ (et je n'ai commencé qu'il y a 6 mois)
85 restaurations d'angle: gain 170€
415 restaurations 1 face: gain 996€
430 restaurations 2 faces: gain 2064€

je ne tiens pas compte des actes de dépose car je les cotais déjà ainsi que les couronnes suite au rtc que je me faisais honorer plus cher

mais au final plus de 7100€ de gain ce qui n'est pas négligeable par les temps qui courent"






dent2669

02/06/2015 à 11h03

chicot29 écrivait:
------------------
> dent2669 écrivait:
> ------------------
> . Mais je suis bien
> > conscient que raisonner et pouvoir travailler comme ça est un privilège. Ça
> fait
> > 3 ans que je suis installé et j'ai toujours fait comme ça. Ma patientelle se
> > "formate" doucement à ma façon de faire.
>
> Je pige pas, tu peux expliquer ce "privilège" et ta "façon de faire" Ca
> m'intéresse.

le privilège c'est que je ne suis pas obligé de faire des courbettes à chaque rare patient que je vois pour faire une couronne.
Dans mon secteur, il y a vraiment beaucoup de patients donc si mon devis et mes méthodes ne plaisent pas, je m'en fou, j'en aurai un autre juste dernière.


12...