Cookie Consent byPrivacyPolicies.comQuel implant est-ce? - Eugenol

Quel implant est-ce?

youn

02/06/2015 à 12h27

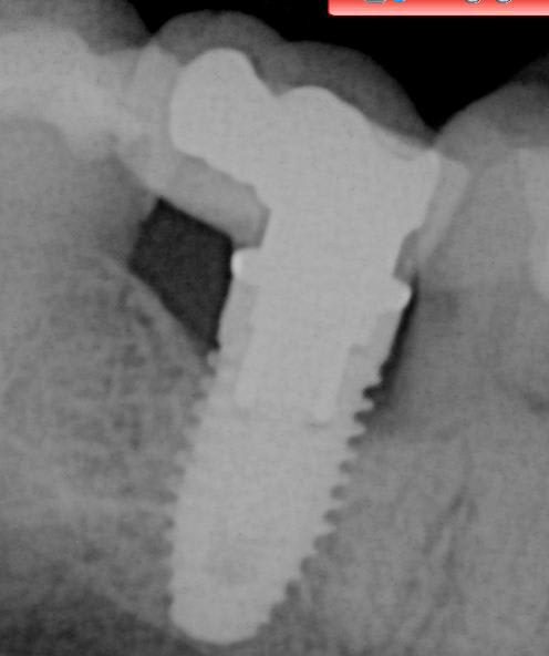
Bon patiente avec un implant un peu infecté et couronne mobile. Si vous pouviez m'aider à connaitre la marque?

J'espère que la radio vous suffit?

Implant cacd8c - Eugenol

Photo pluton1b h9n4ea - Eugenol
pluton

02/06/2015 à 12h41

Nobel replace

http://whatimplantisthat.com/implant/replace-select/


youn

02/06/2015 à 13h41

cool cool! Merci pluton.