Cookie Consent byPrivacyPolicies.comextraction 18, qui veut la faire? - Eugenol

extraction 18, qui veut la faire?

pascal79

04/06/2015 à 14h11

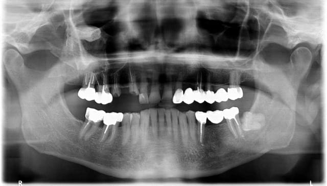
je commence a commenter la pano au patient et d'un coup je la vois mais j'ai failli la rater !!! comme quoi tjs bien regarder le reste AVANT les dents

P1 f59wbz - Eugenol

Orezza gazeuse verre litre ocoxey - Eugenol
casa

04/06/2015 à 16h03

les d...ents dans le nez !


Capture d  cran 2015 05 13   10.37 - Eugenol
BA

04/06/2015 à 16h26

Ben ouais, no problemo! un scan ou cone beam avant, because c'est remboursé pour une 8 et comme ça tu l'auras pour l'implant en 36... Hi , Hi , Hi pour une fois qu' on peut faire tout ensemble!


Capture d  cran 2015 05 13   10.37 - Eugenol
BA

04/06/2015 à 16h31

Sans rigoler, c'est ça qu'ils appellent dent ectopique?
CCAM HBGD017= 167,20 euros opposable


Dsc05680 medium aphmfg - Eugenol
BasArtDentaire

04/06/2015 à 16h36

Par habitude, je me suis demandé ce qui pouvait poser problème sur la dent de sagesse... avant de relire le titre et regarder l'opposé de la radio.

On peut dire qu'elle ne saute pas aux yeux. (ha...haha...)


pascal79

04/06/2015 à 17h06

le patient est au courant et me dit que "elle est au milieu du crane ....". Est ce qu'un confrere a pu provoquer cela? On m'a dit qu'il y avait un risque de mettre une DS sup ds la fosse ptérigoide. Mes conaissances anat étant un peu limitées sur cette zone, je ne sais pas ou l'on verrait la dent sur une radio. En espérant que ça reste asymptomatique.


Capture d  cran 2015 05 13   10.37 - Eugenol
BA

04/06/2015 à 17h34

Eh puis à un moment il faut admettre que notre capacité ne va pas jusque là !
Il y'a d'excellents chirurgiens maxillo-faciaux, qui se chargeront du Bébé


Drassancouët

04/06/2015 à 19h39

Plus une dent ectopique sinusienne qu'une dent projetée qui serait pas à cette position mais plus dans la zone de l'atm (fosse infra-temporale) ou tubérosité (fosse pterygo)
Un cbct est demandé!
Si dent projetée, pas sur qu'un maxillo s'y risque...zone dangereuse et très difficile d'accès


malaire

04/06/2015 à 20h08

S'il n'y a pas de symptomatologie l'indication d'extraction ne se pose même pas.
ça sent quand même la dent refoulée dans la fosse ptérygo-maxillaire même si c'est rare de les voir si haut.