Cookie Consent byPrivacyPolicies.comQue proposeriez vous? - Eugenol

Que proposeriez vous?

Blocperso talon jer3sl - Eugenol
mrquentin

16/06/2015 à 18h00

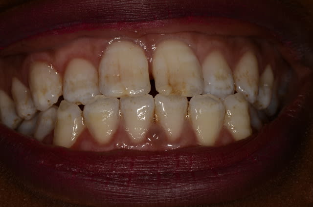
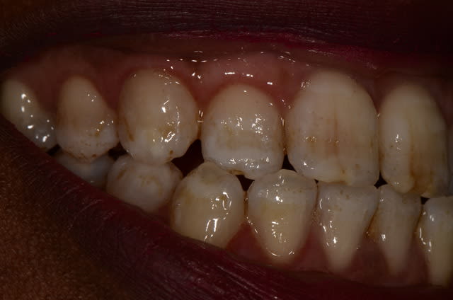
Une de mes patiente que je décide de vous présenter.
J'ai essayé avec l'air flow et polissage soigneux mais rien ne part. La macrogéographie de la dent est assez irrégulière. J'aimerais lui proposer autre chose que des facettes. Existerait'il quelque chose un peu semblable à l'Icon pour traiter ce genre de dyschomies, est ce que l'icon pourrait fonctionner?

 dsc3525 c7r4vh - Eugenol
 dsc3523 mmsnsf - Eugenol
 dsc3524 he9rmb - Eugenol
 dsc3528 yuy9p2 - Eugenol

doagui

16/06/2015 à 18h38

En palatin y'a quand même une bonne partie des tâches qui semblent dues aux colorations exogènes (tabac, café, ...) et qui doivent partir au détartrage.

Pour ce qui est du vestibulaire tu as une belle fluorose qui donne les tâches blanches et qui peut aussi donner des tâches foncées dans les cas les plus importants. C'est souvent le cas pour des patients ayant grandi en Afrique ou au Maghreb, parce que l'eau peut être très fluorée dans certaines régions. Pas grand chose à faire de miraculeux, si on a que des tâches blanches on peut proposer un blanchiment, les tâches restent bien là mais se voient moins si tout le reste s'éclaircit. Là comme tu as aussi des tâches foncées c'est déconseillé, celles-ci seraient encore plus visibles au contraire...

Je reste donc sur les facettes. L'Icon peut traiter des tâches blanches de déminéralisation, mais pas dans ce cas-là à mon humble avis.


Blue eye thumb medium dx1i0w - Eugenol
bill

16/06/2015 à 18h50

doagui écrivait:
----------------
Pas
> grand chose à faire de miraculeux, si on a que des tâches blanches on peut
> proposer un blanchiment, les tâches restent bien là mais se voient moins si tout
> le reste s'éclaircit. Là comme tu as aussi des tâches foncées c'est déconseillé,
> celles-ci seraient encore plus visibles au contraire...
>

Tu peux envisager un blanchiment qui harmoniserait un peu les "blancs" et ensuite essentiellement sur les 2 centrales, en fraisant à minima, masquer avec un compo opaque les plus grosses tâches brunes.
Ce n'est pas parfait mais pour un investissement et un délabrement minimums, souvent les patients sont ravis pa rapport à l'état initial.


G-P

16/06/2015 à 19h28

Je proposerais des facettes... c'est vraiment l'indication parfaite ici.
Du composite c'est vraiment pas une bonne idée, ca sera bien 6 mois, et puis après tu vas la revoir sans arrêt parce que "docteur y'a une petite tache la"


Capture d  cran 2015 03 12 12.28 - Eugenol
chicot29

16/06/2015 à 22h38

Les facettes bien sur. Cependant l'anamnèse n'est pas complète. Ta patiente a t'elle la CMU ?
Car il faut avoir un abord holistique du cas ! -)))))

http://www.cliniquedentairefrance.com/#!soins/c1qmu


Darmon - Eugenol
Latin

17/06/2015 à 00h07

Si facettes attention à l'occlusion. Si la photo est bien prise en OIM, le patient est en classe 2 canine mais surtout en bout à bout antérieur/inversé d'articulé au niveau de 12-22 avec bords libres ébréchés. Dans l'idéal une phase ortho serait donc aussi à envisager.


Aparté : hallucinant le contenu de la page mise en lien par Chicot29. Un comparatif ni plus ni moins diffamatoire qui mériterait d'être signalé à l'Ordre et pourquoi pas à l'Autorité de la Concurrence pour publicité comparative mensongère.

--
`·.¸¸.·´¯`·.¸¸.·´¯`·.¸¸.·´¯`·.¸ ><((((((º>


G-P

17/06/2015 à 00h34

C'est un centre dentaire, autrement dit intouchable :)


Capture d  cran 2015 03 12 12.28 - Eugenol
chicot29

17/06/2015 à 00h49

Latin écrivait:
---------------

> Aparté : hallucinant le contenu de la page mise en lien par Chicot29. Un
> comparatif ni plus ni moins diffamatoire qui mériterait d'être signalé à l'Ordre
> et pourquoi pas à l'Autorité de la Concurrence pour publicité comparative
> mensongère.
>

Tu es un bon dentiste holistique avantageusement secondé par une conseillère clinique ( c'est quoi ca une nouvelle profession de santé ? ) ? -))))

Capture d e cran 2015 06 16 22.45 - Eugenol
Capture d e cran 2015 06 16 22.48 - Eugenol

Blue eye thumb medium dx1i0w - Eugenol
bill

17/06/2015 à 01h25

G-P écrivait:
-------------
> Je proposerais des facettes... c'est vraiment l'indication parfaite ici.
> Du composite c'est vraiment pas une bonne idée, ca sera bien 6 mois, et puis
> après tu vas la revoir sans arrêt parce que "docteur y'a une petite tache la"


Bin oui mais le mrquentin il a dit "autre chose que des facettes"... donc je suppose qu'il doit y avoir un frein financier.
Après on peut aussi faire comme si on n'était pas dans la vraie vie ... ;-)


G-P

17/06/2015 à 01h32

Ah mais si il veut vraiment rendre service, il prend le prix du prothésiste, il ajoute 50€ par dent et c'est parti.
Ça lui coûtera toujours moins cher que des composites 1 face tarif sécu.


Blocperso talon jer3sl - Eugenol
mrquentin

17/06/2015 à 12h41

Merci pour vos avis
Il n y a pas vraiment de frein financier, mais il n y a pas de demande tres forte non plus. On va dire que c est plus pour pouvoir progresser tout seul, et pouvoir proposer qquechose directement la prochaine fois... La patiente est effectivement africaine (fluorose) mais pas CMU.