Cookie Consent byPrivacyPolicies.comLes meilleures limes rotatives de catheterisme - Eugenol

Les meilleures limes rotatives de catheterisme

jeff13

21/06/2015 à 17h09

Bonjour,
j'aimerais avoir vos avis sur les limes de cathétérismes rotatives. En utilisez vous dans le cas de canaux delicats? Si oui lesquels (scoutrace, pathfile...) et en etes vous satisfaits?
Merci


Img 9301 q0yyqn - Eugenol
Art-dent

21/06/2015 à 20h30

Personnellement, j'utilise les PathFile et j'en suis très très satisfait

(Après je pense que tu auras autant de réponses que de système de cathétérisme)

--


Marque a3 orange fyvhyq - Eugenol
Marc Apap

21/06/2015 à 22h13

One G micro mega très bonnes, mais on peut aussi utiliser des limes en acier sur un contre angle alternatif si l'on veut éviter (à juste titre) de se fatiguer les doigts


rvb

22/06/2015 à 16h54

les races de chez fkg sont dans ce cas précis très agréables
ce matin les limes manuelles tordaient les fkg sont passées facilement .

Inconnu x 20150622 095805 x73dr749p00n 4 wo1pkl - Eugenol
Inconnu x 20150622 102113 xqver3o0n7eb 4 vitxul - Eugenol

Avatar eugenol pe0ymx - Eugenol
nicklebenou

24/06/2015 à 23h19

honnêtement cela reste vraiment fiable sur les canaux difficiles (fkg, ou les pathfile pour ma part). J'en ai toujours une ou deux dans mes sets endos.


Blue eye thumb medium dx1i0w - Eugenol
bill

25/06/2015 à 01h21

La jaune du système isi endo de pred est pas mal je trouve, assez sécurisante.


Avatar eugenol pe0ymx - Eugenol
nicklebenou

30/06/2015 à 01h26

bill écrivait:
--------------
> La jaune du système isi endo de pred est pas mal je trouve, assez sécurisante.

certes c est une lime intéressante, mais ce n'est pas une lime rotative de cathétérisme. c 'est pour de la mise en forme dans les canaux fins.

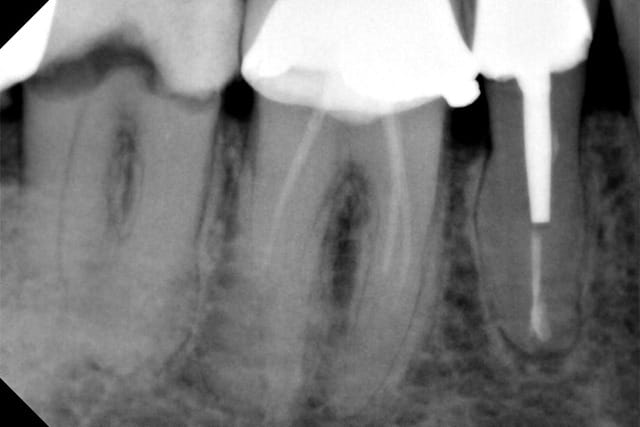
un patient adressé pour endo 47 ou j'ai utilisé les pathfiles puis mise en forme classique

Dardenne 1 oavcsl - Eugenol
Dardenne 2 nz16af - Eugenol

Blue eye thumb medium dx1i0w - Eugenol
bill

30/06/2015 à 01h37

nicklebenou écrivait:
---------------------

>
> certes c est une lime intéressante, mais ce n'est pas une lime rotative de
> cathétérisme. c 'est pour de la mise en forme dans les canaux fins.


On va pas jouer sur les mots mais Pred la donne pour "perméabiliser et sécuriser le canal"... ;-)

Sinon avec les pathfiles ou les fkg vous cathétérisez d'abord avec une lime manuelle ?


Avatar eugenol pe0ymx - Eugenol
nicklebenou

02/07/2015 à 01h34

bill écrivait:
--------------
> nicklebenou écrivait:
> ------à --------------
> à > >
> > cerotatiest une lime intéressante, mais ce n'est pas une lime rotative de
> > cathétérisme. c 'est pour de la mise en forme dans les canaux fins.
>
>
> On va pas jouer sur les mots mais Pred la donne pour "perméabiliser et sécuriser
> le canal"... ;-)
>
> Sinon avec les pathfiles ou les fkg vous cathétérisez d'abord avec une lime
> manuelle ?

je sais ce que pred dit. J ai ce système et j en suis très satisfait. Mais cette lime là ne permet pas du cathétérisme rotatif je ne joue pas sur les mots crois moi.
Les pathfile ou autre permettent de passer plus facilement qu une lime manuelle à diamètre équivalent.
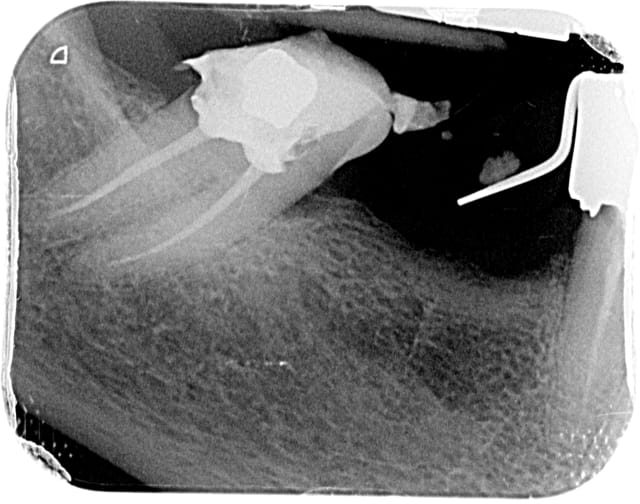
Sur mon cas clinique en mésial la lime 8 manuelle n arrivait qu à mi racine et avec la pathfile équivalente ça m a permis de très vite . progresser. ..
J essaye toujours avec une lime manuelle pour explorer l anatomie de la dent.
mais dans certains ces limes sont vraiment un très gros coup de pouce...


Blocperso talon jer3sl - Eugenol
mrquentin

02/07/2015 à 12h06

excusez de cette question probablement débile, mais c'est quoi une pathfile pour vous? je croyais que c'était une lime de cathétérisme, genre une k10 classique quoi...
à quoi vous sert une pathfile et comment vous en servez vous? (séquence?)


Avatar eugenol pe0ymx - Eugenol
nicklebenou

02/07/2015 à 12h32

mrquentin écrivait:
-------------------
> excusez de cette question probablement débile, mais c'est quoi une pathfile pour
> vous? je croyais que c'était une lime de cathétérisme, genre une k10 classique
> quoi...
> à quoi vous sert une pathfile et comment vous en servez vous? (séquence?)

c est une lime rotative de chez maillefer
http://www.google.fr/imgres?imgurl=http://dentsplymea.com/sites/default/files/imagecache/product_full/Pathfile.png&imgrefurl=http://dentsplymea.com/products/endodontics/endodontic-files/pathfile&h=279&w=746&tbnid=Vnv6fOMqRiEIDM:&zoom=1&tbnh=90&tbnw=241&usg=__lglvxPmrQgmvUs-Z6P6dbDJrCAo=&docid=CbLFfBnrDM7Y6M

tu t'en sers comme si c 'était une lime manuelle dans les canaux difficiles cela aide grandement à perméabiliser. Une fois que tu l'as essayé c est dur de pas en avoir quelques uns dans un tiroir.


Avatar eugenol pe0ymx - Eugenol
nicklebenou

02/07/2015 à 12h33

désolé me suis trompé pour le lien voici

W pathfile - Eugenol

Blocperso talon jer3sl - Eugenol
mrquentin

02/07/2015 à 15h24

ouais je suis allé voir la description sur megadental, mais comment l'utilise tu? après cathétérisme manuel uniquement ou direct sans cathétérisme? tu enfonce ca direct dans le canal tout droit, ou tu racle les bords à fond?


Avatar eugenol pe0ymx - Eugenol
nicklebenou

02/07/2015 à 17h01

je fais toujours la même chose. ouverture de chambre passe de flare puis cathétérisme manuel avec lime 10. dés que j'ai des difficultés à progresser à l'apex j'utilise un pathfile.
Je descend au maximum de ce qu'il peut aller puis je reprends une lime manuelle équivalente pour voir si j'ai progressé.
c 'est tellement flexible que c est difficile de faire de l'appui pariétal mais c est surtout pour perméabiliser le canal et permettre à tes autres limes plus larges de passer avec moins de contraintes.


Marque a3 orange fyvhyq - Eugenol
Marc Apap

02/07/2015 à 17h24

Bien bien laborieux tout ça. Perso, j'ai constaté que dans 90% de mes cas, je n'ai pas besoin de passer de lime manuelle.
Je commence avec un Hyflex CM 25/0.8 et je passe à la Hero 642 20/0.2 jusqu'à l'apex (localisateur) avant de terminer par la A1 Néoniti/Neolix
Lime 10 MMC et 15 dans les cas un peu difficiles / One G à la place dans les cas très difficiles
+ Protaper F3 pour les derniers millimètres apicaux si le canal est large et pas trop courbé
Les Hero 642 n° 20 ne servent souvent qu'une fois car se détordent facilement
Le tout sur AX endo MM et moteur de mon unit Flex

Vouloir utiliser une lime manuelle ou rotative sans évaser l'entrée du canal est un non sens d'après mon expérience, sauf si canal hyperfin et difficile à trouver (MV2 par exemple, mais pas toujours).


Capture d  cran 2015 03 12 12.28 - Eugenol
chicot29

02/07/2015 à 18h20

Marc Apap écrivait:
-------------------
> Bien bien laborieux tout ça. Perso, j'ai constaté que dans 90% de mes cas, je
> n'ai pas besoin de passer de lime manuelle.
> Je commence avec un Hyflex CM 25/0.8 et je passe à la Hero 642 20/0.2 jusqu'à

Ah ! je ne suis pas le seul donc. -))))

> l'apex (localisateur) avant de terminer par la A1 Néoniti/Neolix
> Lime 10 MMC et 15 dans les cas un peu difficiles / One G à la place dans les cas
> très difficiles
> + Protaper F3 pour les derniers millimètres apicaux si le canal est large et pas
> trop courbé
> Les Hero 642 n° 20 ne servent souvent qu'une fois car se détordent facilement
> Le tout sur AX endo MM et moteur de mon unit Flex
>
> Vouloir utiliser une lime manuelle ou rotative sans évaser l'entrée du canal est
> un non sens d'après mon expérience, sauf si canal hyperfin et difficile à
> trouver (MV2 par exemple, mais pas toujours).

Meme principe mais moi c'est sx, largo " pour évaser les entrées", S1 protaper sur endo master en localisation et R25 réciproc pour terminer. Mais tous les chemins mènent à Rome ! -)))))


Blocperso talon jer3sl - Eugenol
mrquentin

02/07/2015 à 18h48

Marc Apap écrivait:
-------------------
> Bien bien laborieux tout ça. Perso, j'ai constaté que dans 90% de mes cas, je
> n'ai pas besoin de passer de lime manuelle.
> Je commence avec un Hyflex CM 25/0.8 et je passe à la Hero 642 20/0.2 jusqu'à
> l'apex (localisateur) avant de terminer par la A1 Néoniti/Neolix
> Lime 10 MMC et 15 dans les cas un peu difficiles / One G à la place dans les cas
> très difficiles
> + Protaper F3 pour les derniers millimètres apicaux si le canal est large et pas
> trop courbé
> Les Hero 642 n° 20 ne servent souvent qu'une fois car se détordent facilement
> Le tout sur AX endo MM et moteur de mon unit Flex
>
> Vouloir utiliser une lime manuelle ou rotative sans évaser l'entrée du canal est
> un non sens d'après mon expérience, sauf si canal hyperfin et difficile à
> trouver (MV2 par exemple, mais pas toujours).

je suis surpris que t utilise une lime de diametre 20 pour une premiere entrée dans le canal, dans mes mains c'est la butée assurée...


Blocperso talon jer3sl - Eugenol
mrquentin

02/07/2015 à 18h48

Marc Apap écrivait:
-------------------
> Bien bien laborieux tout ça. Perso, j'ai constaté que dans 90% de mes cas, je
> n'ai pas besoin de passer de lime manuelle.
> Je commence avec un Hyflex CM 25/0.8 et je passe à la Hero 642 20/0.2 jusqu'à
> l'apex (localisateur) avant de terminer par la A1 Néoniti/Neolix
> Lime 10 MMC et 15 dans les cas un peu difficiles / One G à la place dans les cas
> très difficiles
> + Protaper F3 pour les derniers millimètres apicaux si le canal est large et pas
> trop courbé
> Les Hero 642 n° 20 ne servent souvent qu'une fois car se détordent facilement
> Le tout sur AX endo MM et moteur de mon unit Flex
>
> Vouloir utiliser une lime manuelle ou rotative sans évaser l'entrée du canal est
> un non sens d'après mon expérience, sauf si canal hyperfin et difficile à
> trouver (MV2 par exemple, mais pas toujours).

je suis surpris que t utilise une lime de diametre 20 pour une premiere entrée dans le canal, dans mes mains c'est la butée assurée...


Avatar eugenol pe0ymx - Eugenol
nicklebenou

02/07/2015 à 19h33

Marc Apap écrivait:
-------------------
> Bien bien laborieux tout ça. Perso, j'ai constaté que dans 90% de mes cas, je
> n'ai pas besoin de passer de lime manuelle.
> Je commence avec un Hyflex CM 25/0.8 et je passe à la Hero 642 20/0.2 jusqu'à
> l'apex (localisateur) avant de terminer par la A1 Néoniti/Neolix
> Lime 10 MMC et 15 dans les cas un peu difficiles / One G à la place dans les cas
> très difficiles
> + Protaper F3 pour les derniers millimètres apicaux si le canal est large et pas
> trop courbé
> Les Hero 642 n° 20 ne servent souvent qu'une fois car se détordent facilement
> Le tout sur AX endo MM et moteur de mon unit Flex
>
> Vouloir utiliser une lime manuelle ou rotative sans évaser l'entrée du canal est
> un non sens d'après mon expérience, sauf si canal hyperfin et difficile à
> trouver (MV2 par exemple, mais pas toujours).

évidemment qu'il faut toujours évaser à l'entrée canalaire. c est la raison principale qui empêche une lime de progresser à l'apex. Je parle des canaux ultra calcifiés ou en effet des mv2 ou ce genre de limes m'apporte un réél plus...
pour moi question d'habitude je jauge toujours la difficulté des canaux à traiter avec une lime 10 manuelle et je m'en sers avec le loc pour prendre mes LT.c'est tout.
je me sens en confort dans ma pratique quotidienne avec ce "protocole".Voilà tout


Marque a3 orange fyvhyq - Eugenol
Marc Apap

02/07/2015 à 20h43

Je comprends tout à fait ton point de vue, même si j'aime tenter des choses un peu différentes avec pour ambition de faire toujours plus simple et plus vite (mais aussi bien).
Mrquentin, si tu utilisais (avec douceur et délicatesse, faut un peu de tact et d'expérience sans doute) les limes en question, tu constaterais à ta grande surprise qu'elles cassent seulement si l'on force beaucoup avec, mais que dans la très grande majorité des cas (pas les canaux hypercalcifiés) elles vont au bout, et sinon, ne font pas de butée (sinon, tu t'entraines sur dent extraite, c'est la seule façon de progresser sans risque)