Cookie Consent byPrivacyPolicies.comque faire ?? - Eugenol

que faire ??

pascal79

22/06/2015 à 13h32

Bonjour,
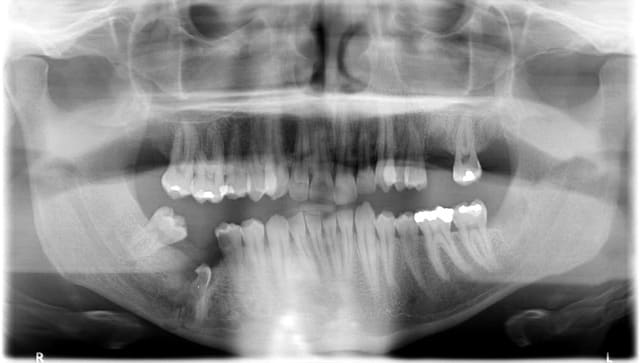
patient adressé au stomato en début d'année pour extraction de 18 28 38 47 46. Je vous montre les 2 panos. implant 26 prevu, doit se décider encore sect 4 sachant que le 45 est a couronner. J'ai revu le patient vendredi 3 mois après l'intervention pour la première fois,qui me dit qu'il n'a plus du tout de sensibilité région mentonnière et cliniquement pas très joli sect 4. Rien de particulier ds le compte rendu opératoire du stomato.

P1 oo7u0z - Eugenol
P2 qjisw7 - Eugenol

Spix4ever

22/06/2015 à 13h57

Je pense qu'il faut laisser le patient se débrouiller avec le stomato... Si dans le compte rendu il marque même pas qu'il n' a pas réussi à extraire 46 et qu'est ce qu'il pense en faire c'est zarb qd même...

(N'empêche il est sympa le stomato, si c'était pour faire ça, les exos tu pouvais les faire toi même...)


Xv950 x01biv - Eugenol
island

23/06/2015 à 16h08


Faut pas envoyer les patients chez le Dr Charal !!!
--
Vieux motard que jamais


pascal79

23/06/2015 à 16h23

faut que je renvoie le patient chez le stomato avec un petit coup de fil... le truc c'est que j'aie peur qu'il me dise qu'il puisse rien faire de plus ...sinon j'imagine qu'il l'aurait sortie la premiere fois ou au moins faire qq chose de plus propre


Blocperso talon jer3sl - Eugenol
mrquentin

23/06/2015 à 16h30

tu peux pas laisser trainer, envoies ca dans un service de maxillo. des lésions périapicales se développent aux apex résiduels, donc il faut vraiment les enlever.
si tu laisse l'os se carapater, la reconstruction par plaques/vis va etre d'autant plus dure...
pour moi il va forcément y avoir une fracture mandibulaire, et ca sera forcément immobilisé sur l'arcade maxillaire par ligatures. donc laisse ca à quelqu'un d'autre. maxillo pour moi, un autre.


damienB

23/06/2015 à 21h16

que le confrère n'ai pas réussi à mener l'intervention est une chose très ennuyante, mais peut être compréhensible et on ne peut pas juger.
en revanche, qu'il n'est pas prévenu ni le patient, ni toi est une faute grave.
change de correspondant tout de suite.
pour le patient, les racines résiduelles risquent de poser problème à plus ou moins long terme. c'est pas facile à expliquer au patient, mais il faudrait y retourner avec un bon cone beam préop pour voir exactement quel abord réaliser.


Images mg2jvu - Eugenol
zorg

24/06/2015 à 01h51

dentascan ou conebeam effectivement, ne serait ce que pour savoir si le NDI a réellement été touché. Ensuite pas évident qu'il faille à tout prix enlever les racines, c'est le reste de couronne qui me gêne plus là. Autant l'os peut venir se reformer au dessus des racines et celles ci rester là à vie sans pb particulier (inutile de penser qu'elle remonteront avec les crochets qu'elles ont au bout et l'ancrage dans l'os basal), autant la partie coronaire qui reste peut éventuellement empêcher cette réossification. Si on ne fait rien (ce que peut préférer le patient, plutôt que de repasser à la moulinette) un ctrl pano à 6 mois, 2 ans et 5 ans pour contrôler qu'une lésion ne se développe pas.


pascal79

24/06/2015 à 15h14

SI j'attends, je ne peux rien faire pour emplacer la(es) dent absente. Le chir doit me rappeler demain.
merci pour vos avis.


Image saznoz - Eugenol
Hodina

24/06/2015 à 15h28

d'accord avec Zorb!
Le fait qu'il reste une racine ne me gêne pas et c'est peut être le mieux pour le patient.
Concernant le reste de la couronne en revanche, à virer.
Et si possible virer le plus de racine possible en restant à distance du nerf.
Ensuite la réussi fixation se fera.
Il pour poser un implant en travers d'un bout de racine, davaparnah et Monclerc ont montré que ce n'est pas un problème.
Le vrai problème réside dans l'absence d'explication dans le compte rendu concernant le reste de racine ( et couronne) et les difficultés rencontrées.
Concernant la perte de sensibilité, il faut d'abord savoir comment s'est passé l'intervention.
Cela m'est arrivé et arrivera à d'autres: c'est un risque dans ce type de chirurgie.


--
😁😁😁😁😁😁
Le Blog dentaire.
www.arcad-dentaire.fr
((-----Vivre le sourire Hollywoodien-----))