Cookie Consent byPrivacyPolicies.comFracture prothèse mixte conjointe/adjointe avec attachement - Eugenol

Fracture prothèse mixte conjointe/adjointe avec attachement

praticien

06/07/2015 à 17h09

Mes chers confrères,

je sollicite vos avis et vos expériences sur les risques de fractures associées aux construction mixtes conjointes et adjointes avec attachements.
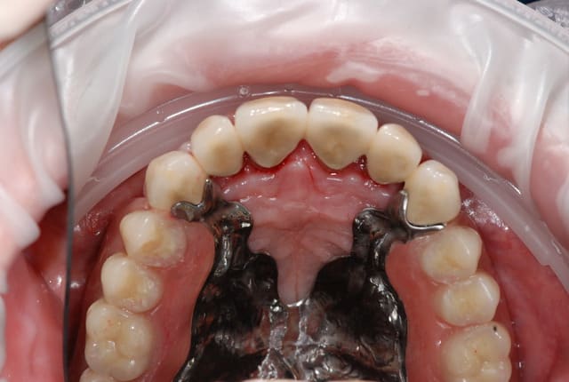
J'ai pris l'habitude depuis une dizaine d'années, de proposer à mes patients des constructions prothétiques avec un ensemble de couronnes antérieurs solidarisées (généralement de canine à canine) associées à un stellite par le biais d'attachement Bredents extra coronaires (cf photos = jours de la pose).
J'ai donc réalisé ce traitement chez un patient il y a deux ans, qui est revenu la semaine dernière avec une fracture de l'attachement mâle gauche et une fracture horizontale de la canine droite qui s'est désolidarisée du bridge à sa jonction avec 12. Le bridge est aussi fracturé entre 11 et 21.
Le patient ne bruxe pas.
Il a par contre une parodontite chronique, que je traite depuis des années, qui m'a conforté à lui proposer de solidariser les dents antérieures.
Je ne pense pas que la résorption gingivale puisse expliquer le problème en si peu de temps.
Qu'elle est votre expérience dans ce domaine, avez vous des pistes pour me permettre de comprendre cet échec cuisant?

merci à tous

1  1  qh7axm - Eugenol
1  2  hrxbxj - Eugenol
1  3  uct2v7 - Eugenol

G-P

06/07/2015 à 21h16

Le problème vient du concept même des prothèses amovibles. Un bout qui s'enfonce tenu et retenu par un truc qui s'enfonce pas.
Forcément ça peut pas aller. Encore avec un crochet y'a une marge de manoeuvre, mais avec un attachement, forcément moins.

Les stellites et prothèses amovibles en tous genres, ça commence à être sérieusement dépassé. Ce sont des dispositifs qui provoquent (!) énormément de problèmes : fractures, mobilités...
Alors là, forcément au bout de deux ans c'est pas de bol, mais tu retrouves ce genre de problèmes quasiment tout le temps à 5-10 ans. Si c'est pas une fracture, c'est un descellement non détecté qui aura provoqué une carie, ou autre.

Sauf problème financier majeur (ça ne semble pas être le cas ici), il faut proposer des implants systématiquement dans ce genre de cas.

J'en récupère plusieurs par an des cas comme ça, et je fais la seule chose à faire, 3 implants de chaque coté.


RépondreCiter
steph94

07/07/2015 à 10h30

bonjour,

Dans la mesure ou tu couronnes en masse le secteur antérieur, pourquoi te priver d'une barre cingulaire "noyée" dans un fraisage antérieur ? Ça réduit les contraintes sur tes attachements qd la PAP se décole.
Il existe par ailleurs des attachements (mini SG entre autre) qui possèdent une résilience qui réduit contrainte lors de l'enfoncement de la PAP.
Du cout, ça travaille moins.


Blocperso talon jer3sl - Eugenol
mrquentin

07/07/2015 à 12h05

la fracture vient de la conception du chassis. tu as fait une liaison rigide sur un edentement en extension, tu aurais du faire une liaison semi rigide au, au moins, mettre un attachement qui permette l'enfoncement de la prothèse


praticien

07/07/2015 à 12h43

Merci pour vos réponses,

-pour la barre cingulaire, je suis ok, j'en ai fais parfois, pas sur ce cas, j'aurais peut-être dû...

-Pour le côté semi-rigide, l'attachement Bredent en question est semi-rigide pour moi, la partie mâle s’emboutit dans une partie femelle en métal mais il y a une petite gaine en plastique qui s'interpose entre les deux, que l'on change traditionnellement tous les 6 mois. Ça ne te parais pas assez résilient? Qu'est-ce que tu utilises?


Twitter bird 2 mtzzh7 - Eugenol
sǝlnɾ

07/07/2015 à 13h28

A mon avis,
- Crêtes insuffisament cicatrisées à l'époque des empreintes, d'où résorption et bascule antéro-postérieure distale
- Absence de contre-rotation par une barre cingulaire qui aurait pu être fraisée dans les couronnes.
- Attachements un peu trop linguaux, donc pas dans l'axe de la crête.
Du coup, toutes les forces sont appliquées sur les attachements et sur les 1eres dents piliers (canines)

Dommage car c'est un cas très beau et très propre sur le plan prothétique.

JB


Dos02 qpcfgi - Eugenol
Rick

07/07/2015 à 14h14

Tout a fait Steph94 pour le mini SG et fil cingulaire.

Les attachements bredent VKS ou similaires n'ont pas de résilience, pour la fabrication du châssis il n'existe pas de pièce des décharge, dés le début c'est la butée franche et par la suite:
=> "fracture de l'attachement mâle gauche et une fracture horizontale de la canine droite qui s'est désolidarisée du bridge à sa jonction avec 12. Le bridge est aussi fracturé entre 11 et 21.".

Une précaution est à prendre par le prothésiste à savoir, une cale de surélévation, mais maintenant avec la FAO *erdique bien des subtilités du métier sont perdues.


Dos02 qpcfgi - Eugenol
Rick

07/07/2015 à 14h24

Ce n'est pas un luxe d'insister avec le patient encore et encore, d'insérer la prothèse avec les mains et pas l'antago ;;;)))


log69

18/08/2015 à 22h17

la solution ...
fraisages sur 13 et 23
PPA avec selles dijsointes

Image1 dzvwtd - Eugenol

log69

18/08/2015 à 22h21

G-P écrivait:
-------------
> >
> Les stellites et prothèses amovibles en tous genres, ça commence à être
> sérieusement dépassé. Ce sont des dispositifs qui provoquent (!) énormément de
> problèmes : fractures, mobilités...
>
les attachements OUI totalement dépassés
la PPA NON si selles disjointes

tout est un problème de mécanique ....

y compris la prothèse sur implants !!