Cookie Consent byPrivacyPolicies.comimplant inconu - Eugenol

implant inconu

Bebe 038 nf8eum - Eugenol
danteyeah

15/07/2015 à 17h40

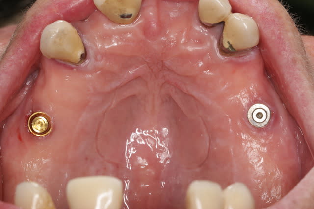
Bonjour à tous,
Si une bonne âme, avait la gentillesse d'identifier cet implant d'une patiente ayant fracturé net son Locator, cela me serait bien utile.
Existe t-il un instrument miracle pour dévisser la partie fracturée dans l'implant?

Merci!

Implant inconu 001 q4i4zl - Eugenol
Implant inconu 002 tb6gzz - Eugenol
Implant inconu 003 eevjhb - Eugenol
Implant inconu 004 adqx1y - Eugenol

lachmar

15/07/2015 à 19h27

au pire tu fais couler à ton protho une clé tres adaptée et tu devisses sans problème ; sinon tu fais un pas de vis avec une fraise carbure très fine jusqu'à pouvoir avoir une prise pour le tournevis

par contre si tu ne sais pas quoi faire après il ne faut même pas commencer )


Photo pluton1b h9n4ea - Eugenol
pluton

15/07/2015 à 22h14

çà, à 99% c'est un biomet 3i...;-)

c'est moi ou on voit un semblant d'hexagone? à moins que tu n'y ais vissé une vis de couv pour protéger?

instrument miracle pour dévisser (sous MO...c'est plus prudent...) c'est la trousse "Help Kit" Dentium que tu trouves chez Dentogem....;-) (faut les appeler...j'suis pas sûr qu'il soit référencé sur le site...)


Utilisateur banni

16/07/2015 à 12h46

ça ressemble aussi au Previum S d'easy implant, quoique non je dis une bêtise,sur la radio y a plus d'espace entre les crans à l'apex


Bebe 038 nf8eum - Eugenol
danteyeah

16/07/2015 à 13h44

pluton écrivait:
----------------
> çà, à 99% c'est un biomet 3i...;-)

Ca ressemblerait à un 3i Certain en 5mm, cependant chez 3i les faces sup. des plateformes implantaires sont anodisées (jaune pour le 5mm), et pas là, mais peut être que la pièce femelle du Locator (toujours en place dans la prothèse amovible de la patiente, et en fonction) a usé cette surface?

>
> c'est moi ou on voit un semblant d'hexagone? à moins que tu n'y ais vissé une
> vis de couv pour protéger?

Il y a bien un hex. interne au niveau de la vis en place dans l'implant (je n'ai plus qu'à trouver quel tournevis rentre la dedans!)

>
> instrument miracle pour dévisser (sous MO...c'est plus prudent...) c'est la
> trousse "Help Kit" Dentium que tu trouves chez Dentogem....;-) (faut les
> appeler...j'suis pas sûr qu'il soit référencé sur le site...)

Merci c'est tout à fait le genre d'instrument auquel je pensais : un taraud qui visse dans le sens horaire inverse. Le kit complet permettrait même de recréer un nouveau taraudage, dans l'hypothèse d'accastillage introuvable :-)))

Merci pour tout, vais essayer de contacter un représentant 3i pour lui demander son avis.


Photo pluton1b h9n4ea - Eugenol
pluton

16/07/2015 à 14h55

sinon, tout bête et pas cher...le SXT de chez Implant Direct...;-)

http://implantdirect.fr/resource/video/449