Cookie Consent byPrivacyPolicies.comdyschromie - Eugenol
060108 005 nrfjgc - Eugenol
NaFr

21/07/2015 à 12h05


Bonjour, que me proposez vous pour cette jeune demoiselle de 21 ans....

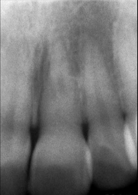
Pas d'antécédent de choc, le canal a quasiment disparu radiologiquement, dent ne répondant pas aux tests de vitalité.

Merci
--
Francis N.

Dyschromie 21 sourire cupslo - Eugenol
Rx 21 2015 07 20 ktufxm - Eugenol

Images jm2g2g - Eugenol
dr_0le

21/07/2015 à 12h54

endo et éclaircissement interne.
sinon gouttière pour éclaircissement ambulatoire juste pour la 21..
il faudra aussi regarder la 42 qui a l'air sombre aussi

--
You can't always get what you want..


G-P

21/07/2015 à 15h11

+1
Peut être à compléter après par un blanchiment externe.


Bebe 038 nf8eum - Eugenol
danteyeah

22/07/2015 à 13h26

dr_0le écrivait:
----------------
> endo et éclaircissement interne.

Honnêtement tu oserais réaliser une endo sur une calcification pareil? Faut les avoir bien accroché!

> sinon gouttière pour éclaircissement ambulatoire juste pour la 21..

Déjà tenté dans ce cas de figure: pas concluant.

> il faudra aussi regarder la 42 qui a l'air sombre aussi

Et surtout l'occlusion: fonction canine inversée apparemment, version 22......et sûrement plein d'autres trucs ( mais là faut demander a Enlay, c'est lui qui sait😜).

>
> --
> You can't always get what you w


Images jm2g2g - Eugenol
dr_0le

22/07/2015 à 13h40

danteyeah écrivait:
-------------------
> dr_0le écrivait:
> ----------------
> > endo et éclaircissement interne.
>
> Honnêtement tu oserais réaliser une endo sur une calcification pareil? Faut les
> avoir bien accroché!
>
> > sinon gouttière pour éclaircissement ambulatoire juste pour la 21..
>
> Déjà tenté dans ce cas de figure: pas concluant.
>
> > il faudra aussi regarder la 42 qui a l'air sombre aussi
>
> Et surtout l'occlusion: fonction canine inversée apparemment, version 22......et
> sûrement plein d'autres trucs ( mais là faut demander a Enlay, c'est lui qui
> sait😜).
>
> >
> > --
> > You can't always get what you w


--
You can't always get what you want..

disons qu'avec une vraie radio et pas une soupe de pixel on pourrait juger du canal.. la même bien accrochées, mes rétines ne suffisent pas..


excavateur

22/07/2015 à 16h30

Même si la radio n'est pas très nette, la photo est parlante. En l'absence de tout symptôme il serait suicidaire de tenter un traitement canalaire !
Reste la gêne esthétique ...