Cookie Consent byPrivacyPolicies.comLa French Touch - Eugenol

La French Touch

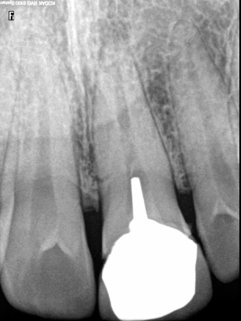
Cmu2lux qdcbcg - Eugenol
danton khû

21/07/2015 à 17h36

Une endo bien de chez nous juste pour le plaisir des yeux...
Notez l'ajustage du girofile

Endo a la francaise ys7dav - Eugenol

Zorba le grec 1373406512 108 lfk5ey - Eugenol
zorbalegrec

21/07/2015 à 18h13

Y'a t'il une symptomatologie, et depuis quand a t'il (elle) a cela


tarski

21/07/2015 à 18h19

obturation à l'apex radio en mésial : très joli.

D'un autre côté, je ne jettes pas la pierre, vu les tarifs de m... pour une endo en France...

De l'autre côté, les dentistes français sont des cons d'accepter ce genre de pratique qui au final nuit au patient : tarif de m..., soin de m...


Capture d  cran 2015 03 12 12.28 - Eugenol
chicot29

21/07/2015 à 18h19

Non ca c'est rien, il y a une volonté manifeste d'aller à l'apex. -)))

Ca c'est de la french touch !

Capture d e cran 2015 07 21 16.18 - Eugenol

Cmu2lux qdcbcg - Eugenol
danton khû

21/07/2015 à 18h23

non, non RAS...

mais tout est relatif: une bouche avec trois ou quatre foyers , des soins a moitié faits, des caries non traitées, des obturations fracturées, des bourrages, l'inconfort est devenu la norme et la symptomatologie est donc "effacée".


Cmu2lux qdcbcg - Eugenol
danton khû

21/07/2015 à 18h24

Elle est belle !!!


lachmar

21/07/2015 à 18h35



Gilbert Crussol mon maitre en endo disait il y a plus de 30 ans :

chez nous c'est comme partout
- il y a les doues
-et il y a les pas doués

et
- il y a les honnetes
- et il y a les malhonnêtes


une fois qu'on a compris on ne s'étonne plus de rien

ceci dit que celui qui n'a jamais fait une merde lui jette la première pierre


South park   craig te7bfk - Eugenol
CRAIG

21/07/2015 à 18h39

lachmar écrivait:
-----------------
>
>
> Gilbert Crussol mon maitre en endo disait il y a plus de 30 ans :
>
> chez nous c'est comme partout
> - il y a les doues
> -et il y a les pas doués
>
> et
> - il y a les honnetes
> - et il y a les malhonnêtes
>
>
> une fois qu'on a compris on ne s'étonne plus de rien
>
> ceci dit que celui qui n'a jamais fait une merde lui jette la première pierre





Certes mais il y a des systèmes qui t'incitent à être doué ET honnête et des systèmes qui t'incitent à ne pas être pas doué ET malhonnête!

Et le système français....Bah y a pas photo! Alors les dentistes français ne sont pas plus mauvais que les autres en sortant de fac par contre je suis persuadé qu'après plusieurs années l'écart se creuse avec les pays Anglo-Saxons, scandinaves et germaniques!


Capture d  cran 2015 03 12 12.28 - Eugenol
chicot29

21/07/2015 à 18h40

lachmar écrivait:
-----------------

> ceci dit que celui qui n'a jamais fait une merde lui jette la première pierre

Mouhahaha ! en mode soins sécu à un tarif de merde c'est " que celui qui a fait une endo correcte lui jette la première pierre" -))))


Capture d  cran 2015 03 12 12.28 - Eugenol
chicot29

21/07/2015 à 18h42

CRAIG écrivait:
---------------

>
> Certes mais il y a des systèmes qui t'incitent à être doué ET honnête et des
> systèmes qui t'incitent à ne pas être pas doué ET malhonnête!
> Et le système français....Bah y a pas photo! Alors les dentistes français ne
> sont pas plus mauvais que les autres en sortant de fac par contre je suis
> persuadé qu'après plusieurs années l'écart se creuse avec les pays Anglo-Saxons,
> scandinaves et germaniques!

Une endo de merde ou pas c'est pareil : tarif de merde. Il ne faut pas s'étonner du résultat.


carident

21/07/2015 à 18h49

C'est pourquoi il y a une spécialisation plein d'avenir...
La refaitologie!

Faut savoir déposer vite fait, et sans prendre de risque, couronne et inlay-core ; mais aussi savoir retraiter avec brio les racines mal dévitalisées ; s'y connaitre aussi en esthétique pour rattraper les horreurs (et les erreurs)...

Si vous stressez pour l'avenir incertain plus ou moins proche de la profession, avec entre autre l'arrivée massive des dentistes diplômés en Espagne, au Portugal et en Roumanie, faite refaitologiste, vous n'aurez rien à craindre!

Bref, pour les refaitologues, il va y avoir de plus en plus de taf...


paradoxe

21/07/2015 à 19h01

J'adore la systématicité des TFM et des couronne, à la française.
Surtout sur le cliché de l'absence totale de trt endo !
Le praticien a vite facturé son tfm+ccm en se disant qu'un autre fera l'endo plus tard lol

Sinon, ya rien à critiquer, c'est dans les normes Qualité Certifiée 2001 CPAM France.


tarski

21/07/2015 à 19h06

l'avenir c'est aussi "dentiste bricoleur" : tu prends un stock de screw post, un peu de cvi et tu te démerdes avec.

Les patients sont ravis, la sécu aussi, pas de rapport avec les complémentaires santé...

Voyant souvent des patients allemands, je peux vous assurer que je vois passer des pépites et je trouve même que nous n'avons pas à rougir de nos travaux. Leurs endo ne sont pas exceptionnelles.

J'ai eu une patiente irlandaise dernièrement et c'était vraiment pitoyable en bouche.




tictac

21/07/2015 à 21h28

C'etait pas l'expert pshychiatre d'Outreau qui avait dit
"Tant que la justice paiera des experts comme des femmes de ménage, elle aura des expertises de femme de ménage"
Avant que je ne sois dentiste, je me suis dit qu'il avait un sacré culot le gars. Mais avec le recul, il a entierement raison.
Bref, honoraires de merde =traitement de merde.


tictac

21/07/2015 à 21h30

Par contre pour l'incisive de chicot, c'est clairement du foutage de gueule. Y'en a pour 10 minutes grand max la bio là
Mais non, le gars n'a pas voulu se faire chier, honoraire pitoyable ou pas


P2eqdh3csim6s7nb09ktdq3e7ev8 - Eugenol
barbabapat

21/07/2015 à 21h41

On a trouvé enfin le comité scientifique qui à travaillé sur les tarifs de la CCAM dentaire.
Ils ont un peut de retard sur les méthodes employées en cabinet par contre.

Par contre une dernière question est posée. quel est le plus vieux métier du monde. Car au vu de la façon dont la CNSD voit les négociations, un doute existe.

http://bigbrowser.blog.lemonde.fr/2015/07/21/un-rendez-vous-chez-le-dentiste-vieux-de-14-000-ans/#xtor=RSS-3208


Capture d  cran 2015 03 12 12.28 - Eugenol
chicot29

22/07/2015 à 00h27

"L'étude, publiée dans la revue Scientific Reports et relayée par Nature, porte sur le cas du squelette parfaitement conservé d'un individu mâle de 25 ans découvert en 1988 à Belluno, dans le nord-est de l'Italie, et qui aurait environ 14 000 ans.

L'analyse d'une molaire infectée a montré que la dent avait été traitée avec une pointe de silex. A l'aide de cet instrument basique, le "dentiste" est parvenu à extraire la matière infectée dans la dent. Une "intervention" qui devance de 5 000 ans la plus vieille jamais connue jusqu'à présent."

C'est pas possible ca me troue le cul ! Comment ont ils fait alors que la sécu et les mutuelles n'existaient pas ? -)))))
Bande de nazes votre système de merde se sera effondré depuis belle lurette que les dentistes soigneront encore les dents.


Avatar transparent iqadnc - Eugenol
adhoc

22/07/2015 à 00h37

>'est pas possible ca me troue le cul ! Comment ont ils fait alors que la sécu et les mutuelles n'existaient pas ? -))))) <

Il y avait quand même, mon chicot, une certaine mutualisation des taches; le sorcier invoquait et parfois soignait, les autres hommes partaient à la chasse!


Capture d  cran 2015 03 12 12.28 - Eugenol
chicot29

22/07/2015 à 00h55

adhoc écrivait:
---------------
> >'est pas possible ca me troue le cul ! Comment ont ils fait alors que la sécu
> et les mutuelles n'existaient pas ? -))))) <
>
> Il y avait quand même, mon chicot, une certaine mutualisation des taches; le
> sorcier invoquait et parfois soignait, les autres hommes partaient à la chasse!

C'est sur mais il n'y avait pas de glandeurs genre "toi tu me files ton blé et toi tu vas faire ca avec ! "
C'est beau le progrès ! -)))))


lachmar

22/07/2015 à 10h22

chicot29 écrivait:
------------------ > Bande de nazes votre système de merde se sera effondré depuis belle lurette que
> les dentistes soigneront encore les dents.


c'est pour ça que je garde le moral :

les dentistes existaient et vivaient (très) bien avant les secu

et existeront bien après ...

et existeraient en dehors ... si les confrères réalisaient que la population a plus besoin de nous que nous des organismes sociaux , on ferait un grand progrès

et à la question "c'est remboursé ?" nous répondrions :" non , mais si on ne le fait pas vous continuerez à passer des nuits blanches ..."

la réponse serait : allez-y docteur ... mon gamin attendra pour sa console


Capture d  cran 2015 03 12 12.28 - Eugenol
chicot29

22/07/2015 à 10h30

lachmar écrivait:
-----------------

> la réponse serait : allez-y docteur ... mon gamin attendra pour sa console

Tu lui achètes quoi comme console à ton gamin ? Si tu enlèves CSG + cotisation sécu ca en fait quelques unes de consoles !


Pict0102 xifcwm - Eugenol
tandarts

02/09/2015 à 15h49

J'exerce en Algérie, je vois plus de merdes que vous, mais bon après des années d'exercice, je m’aperçois chez beaucoup de mes patients résidents en France des bêtises et des couronnes sur IC mal faites, que le patient me demande de refaire pendant les 15 jours de ses vacances au "bled".
Lorsque je lui annonce les prix (Dans les 100 euros la RTE sur molaire) et dans les 200 euros la couronne, payable cash, il fuit vers un autre dentiste exerçant la peinture canalaire juste au coin de la rue.

Sinon la meilleure, un patient français de "pure souche" qui prend RDV au cabinet, lorsque je lui demande " Pourquoi voulez vous vous soigner en Algérie? " il me répond "Depuis que j'ai vu à la télé qu'ils couronnaient et dévitalisaient les dents à tout va, j'ai eut peur et j'ai préféré chercher les bons cabinets d'Alger pour au moins avoir des soins concervateurs et qui ne sont pas trop chers" Deux cavités de Cl II sous digue avec DME, obturées au Filtek supreme à 70 euros la même séance, avec contrôle radiologique, le patient n'en revenait pas.

Le tiers-monde est parfois intéressant !


Avatar transparent iqadnc - Eugenol
adhoc

02/09/2015 à 16h47

>" Deux cavités de Cl II sous digue avec DME, obturées au Filtek supreme à 70 euros la même séance, avec contrôle radiologique, le patient n'en revenait pas.<

2*33.74+7.98=~77

en france, tout remboursé

Ton patient français est un total ignorant de l'eldorado dans lequel il vit :-)


1309531 ours brun n5iukf - Eugenol
seespan

02/09/2015 à 17h00

adhoc écrivait:
---------------
> >" Deux cavités de Cl II sous digue avec DME, obturées au Filtek supreme à 70
> euros la même séance, avec contrôle radiologique, le patient n'en revenait pas.<
>
> 2*33.74+7.98=~77
>
> en france, tout remboursé
>
> Ton patient français est un crétin qui ne sait pas dans quel eldorado il vit :-)

Tout remboursée oui, mais dans un cas c'est fait par un dentiste qui perd de l'argent si c'est fait correctement et dans l'autre par un dentiste qui gagne de l'argent si c'est fait correctement.

Entre l'endo molaire a 230 euro dans mon hosto et celle à 80 euros en France c'est laquelle qui est une bonne affaire si tu n'est pas un patient en chico ?
--
หมอจัดฟัน


Pict0102 xifcwm - Eugenol
tandarts

02/09/2015 à 17h06

adhoc écrivait:
---------------
> >" Deux cavités de Cl II sous digue avec DME, obturées au Filtek supreme à 70
> euros la même séance, avec contrôle radiologique, le patient n'en revenait pas.<
>
> 2*33.74+7.98=~77
>
> en france, tout remboursé
>
> Ton patient français est un total ignorant de l'eldorado dans lequel il vit :-)

Il a fuit cet eldorado car ça allait vers une dévitalisation IC-CCM ou une obturation au pouce. Ce ce qu'il m'avait expliqué.

Je lui ai expliqué que ceux que j'en connais sont honnêtes s'il voulait être orienté... puis bon il était de passage sur Alger pour le boulot et soigner ses deux Cl II détectée par un dentiste français sur une panoramique.

A 70 euros je suis assez rentable, je n'ai absolument pas vos charges, ni vos frais, tout est presque dix fois moins cher à Alger.


12