Cookie Consent byPrivacyPolicies.comIdentification implant - Eugenol

Identification implant

ad-hugo

22/07/2015 à 14h17

Classique : comment se prénomme cet engin?
Merci


ad-hugo

22/07/2015 à 14h18

Sans radio, ça va être dur!


ad-hugo

22/07/2015 à 14h21

sujet annexe : comment joindre un fichier quand l'ipad ne me dit pas : cliquer ici pour joindre... comme c'est le cas sur l'ordi???


ad-hugo

22/07/2015 à 17h01

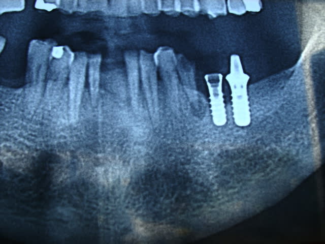
bon comme tout le monde seche, je vous mets quand même une radio

Dsc06227 bnyisd - Eugenol

Photo pluton1b h9n4ea - Eugenol
pluton

22/07/2015 à 17h25

l'engin se prénomme tissue level Straumann...ou un clone...difficile d'être plus précis avec cette pano...
reste que la connexion est un octogone....


ad-hugo

22/07/2015 à 17h31

merci chef!


Smile beach jgh0a1 - Eugenol
Céramik

22/07/2015 à 18h02

Yes, Staumann ou clone, mais au final, c'est out ( avec les dents du bas) et all-on sur nouveaux implants ...

--
Céramik


ad-hugo

22/07/2015 à 22h11

yep!
tu as raison!
ça ne sert à rien de perdre son temps avec des implants qu'on va virer