Cookie Consent byPrivacyPolicies.comExtraction implantation immédiate? - Eugenol

Extraction implantation immédiate?

ad-hugo

23/07/2015 à 19h54

Vous tenteriez l'EII dans ce cas ci


ad-hugo

23/07/2015 à 19h56

SCAN


ad-hugo

23/07/2015 à 19h56

SCAN

Dsc06228 l8lc1j - Eugenol

ad-hugo

23/07/2015 à 19h59

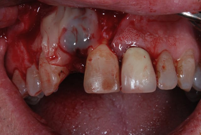
Il y a 3.6 mm d'os au dessus du granulome


Photo pluton1b h9n4ea - Eugenol
pluton

23/07/2015 à 20h22

si tu veux aller au casse pipe....

pas que pour le granulome...d'ailleurs...mais aussi parce que tu as une belle fracture vestibulaire qui fait que la corticale...bein y en a plus...ou quasi plus...

la seule condition pour tenter: faire une box technique au sonicweld...et encore, autant dans un secteur pas trop esthétique, je dis pas...mais là...si çà foire c'est le drame...


S2y2o1v7q53ws4r5wy6ou8czrpom - Eugenol
pxav

23/07/2015 à 22h34

d'accord avec pluton, pas trop safe...

--
xbk
"Si tous ceux qui croient avoir raison n'avaient pas tort, la vérité ne serait pas loin" Dac Pierre


G-P

24/07/2015 à 13h53

Je ferais une box technique pour recréer de l'os mais surement pas d'implant en même temps.


ad-hugo

24/07/2015 à 13h57

Mais même avec une box technique, on obtient pas toujours la quantité d'os qu'on aurait souhaité


ad-hugo

24/07/2015 à 13h57

et les délais sont longs


Photo pluton1b h9n4ea - Eugenol
pluton

24/07/2015 à 15h29

on est bien d'accord...;-)

dans un cas comme çà, pour moi c'est extraction, curetage méticuleux, éponge hémostatique, une petite suture en haut pour bien tout stabiliser sans trop de tension et un petit bridge prov collé fait au composite, pourquoi pas "armé" avec une tresse résine (que tu trouves en petites bobines chez les vendeurs de maquettes...)
j'aime pas les prothèses amovibles dans un secteur esthétique...jamais eu rien de bon avec...certainement les sollicitations de la prothèse...

2 à 3 mois plus tard, tu peux ré-intervenir pour faire ton aménagement osseux, selon les résultats du scan, de l'expansion avec pose de l'implant jusqu'à la greffe avec un bloc en passant par la ROG (avec ou sans box technique)...bref, tout dépend de la cicat...;-)


Toriko ucqp9i - Eugenol
Giantcoco

24/07/2015 à 15h36

pluton écrivait:
----------------
> on est bien d'accord...;-)
>
> dans un cas comme çà, pour moi c'est extraction, curetage méticuleux, éponge
> hémostatique, une petite suture en haut pour bien tout stabiliser sans trop de
> tension et un petit bridge prov collé fait au composite, pourquoi pas "armé"
> avec une tresse résine (que tu trouves en petites bobines chez les vendeurs de
> maquettes...)
> j'aime pas les prothèses amovibles dans un secteur esthétique...jamais eu rien
> de bon avec...certainement les sollicitations de la prothèse...
>
> 2 à 3 mois plus tard, tu peux ré-intervenir pour faire ton aménagement osseux,
> selon les résultats du scan, de l'expansion avec pose de l'implant jusqu'à la
> greffe avec un bloc en passant par la ROG (avec ou sans box technique)...bref,
> tout dépend de la cicat...;-)

tout pareil avec peut etre si la paroie vest est complètement perdue une membrane rigide corticale osteobiol


Little shop of horrors brzqjx - Eugenol
chatondecarte

24/07/2015 à 17h16

Bah moi je le tente....
J'ai fait un cas similaire tout récemment.


--
Mon book de chirurgie :
http://facebook.fr/drbbenichou

Bourdon scan avant ejcfy6 - Eugenol

Image r6habu - Eugenol
Thomas Crown

24/07/2015 à 17h27

chatondecarte écrivait:
-----------------------
> Bah moi je le tente....
> J'ai fait un cas similaire tout récemment.
>
>
> --
> Mon book de chirurgie :
> http://facebook.fr/drbbenichou

La classe.. génial de repousser les limites des acquis!
Tu as une planche post op ou une photo de la cicat?
Ou as tu appris à faire ce protocole? quel recul sur ces chir?


ad-hugo

24/07/2015 à 17h36

moi aussi, je veux voir

je n'ai pas trouvé sur ton book de chirurgie chatondecarte


Little shop of horrors brzqjx - Eugenol
chatondecarte

24/07/2015 à 18h50

ad-hugo écrivait:
-----------------
> moi aussi, je veux voir
>
> je n'ai pas trouvé sur ton book de chirurgie chatondecarte

Je le mettrais plus tard sur mon book quand j'aurai fait la découverture . Je veux faire 2 publi par semaine alors je vais pas tirer toutes les cartouches tout de suite.

Je poste le cas en avant premiere ici.
C'est tout frais du mois dernier.





--
Mon book de chirurgie :
http://facebook.fr/drbbenichou

Dsc 0964 qivimn - Eugenol
Bourdon scan avant qxy44n - Eugenol
Dsc 0936 e8bl2k - Eugenol
Dsc 0945 thnkyf - Eugenol
Dsc 0947 iegdot - Eugenol
Dsc 0952 h6fydk - Eugenol
Dsc 0953 oxlmkb - Eugenol
Dsc 0954 fcxmez - Eugenol
Dsc 0955 bz9tga - Eugenol
Dsc 0967 dr54to - Eugenol
Bourdon 3d smbqqr - Eugenol
Bourdon scan apres xgacpr - Eugenol

G-P

24/07/2015 à 19h03

Le problème de faire comme ça c'est que tu positionnes ton implant au hasard. Tu fais une estimation de la position verticale de ton rebord osseux après cicatrisation.
Un coup ça marche, un coup ça marche pas. Tu peux très bien te retrouver avec un feston gingival absolument hideux.
La photo #4 montre l'implant en position finale ?


Toriko ucqp9i - Eugenol
Giantcoco

24/07/2015 à 19h30

beau travail, mais

les 2 cas ne me semblent pas comparable dans la mesure ou tu as réussi à préserver un bandeau d'os vestibulaire presque au niveau des collets. Il permet un effet piquet de tente incomparable et évite les mauvaises surprises de perte importante de volume de biomat a la cicatrisation.

Dans l'autre cas la table vestibulaire est manquante, le résultat d'une EII beaucoup moins prévisible et dans un secteur esthétique j'aime pas jouer a la roulette russe.


levm

24/07/2015 à 22h41

Moi ce qui me choque , c est de greffer "en milieu infecté".


S2y2o1v7q53ws4r5wy6ou8czrpom - Eugenol
pxav

24/07/2015 à 22h53

levm écrivait:
--------------
> Moi ce qui me choque , c est de greffer "en milieu infecté".

moi ce qui me fait marrer, c'est de voir la digue pour le provisoire et la chir (bien faite au demeurant)avec la moustache du patient qui flirte avec la plaie...

tu devrais passer à l'optragate, pour être en accord avec la digue.

l'axe de l'implant? pas sur que la prothèse soit cool, avec une implantation différée, il était possible d’être plus palatin, je crois.

--
xbk
"Si tous ceux qui croient avoir raison n'avaient pas tort, la vérité ne serait pas loin" Dac Pierre


Little shop of horrors brzqjx - Eugenol
chatondecarte

25/07/2015 à 04h35

G-P écrivait:
-------------
> Le problème de faire comme ça c'est que tu positionnes ton implant au hasard. Tu
> fais une estimation de la position verticale de ton rebord osseux après
> cicatrisation.
> Un coup ça marche, un coup ça marche pas. Tu peux très bien te retrouver avec un
> feston gingival absolument hideux.
> La photo #4 montre l'implant en position finale ?


Oui, l'implant est en position finale sur la photo 4.

--
Mon book de chirurgie :
http://facebook.fr/drbbenichou


Little shop of horrors brzqjx - Eugenol
chatondecarte

25/07/2015 à 04h38

levm écrivait:
--------------
> Moi ce qui me choque , c est de greffer "en milieu infecté".

J'ai bien cureté. Je considère que j'ai suffisamment diminué la charge bactérienne pour éviter une infection. Je mets quand même sous antibio : ceinture et bretelles.
--
Mon book de chirurgie :
http://facebook.fr/drbbenichou


Little shop of horrors brzqjx - Eugenol
chatondecarte

25/07/2015 à 04h51

pxav écrivait:
--------------
> levm écrivait:
> --------------
> > Moi ce qui me choque , c est de greffer "en milieu infecté".
>
> moi ce qui me fait marrer, c'est de voir la digue pour le provisoire et la chir
> (bien faite au demeurant)avec la moustache du patient qui flirte avec la
> plaie...
>
> tu devrais passer à l'optragate, pour être en accord avec la digue.
>
> l'axe de l'implant? pas sur que la prothèse soit cool, avec une implantation
> différée, il était possible d’être plus palatin, je crois.
>
> --
> xbk
> "Si tous ceux qui croient avoir raison n'avaient pas tort, la vérité ne
> serait pas loin" Dac Pierre

J'ai pas fait de collage pendant la chir, alors c est moins indispensable.
La digue me permet d'éviter le sang pdt le collage après la chir. J'ai pas envi de le revoir avant 4 mois pour la découverture alors autant perdre 5 min a mettre la digue et éviter que le patient galère à chercher un dentiste sur son lieu de vacances pour bricoler...
Je pense que je suis ok pour l axe prothétique transvissé. De toute façon je ne me voyais pas me mettre plus palatin.
--
Mon book de chirurgie :
http://facebook.fr/drbbenichou


3f3boxni50k58rq7e9ce9ddqrxgk - Eugenol
dentiste57

26/07/2015 à 21h26

voici un cas qui aurait fort bien pu mal tourner.
j’étais prêt à déposer l'implant car je ne trouvais pas le résultat satisfaisant à j+20 jours.
finalement on a quand même gardé l'implant et l'ancienne couronne qui a servi de provisoire lors de l'EMCI.

Dsc 0402 zabp1z - Eugenol
Dsc 0410 ew3re4 - Eugenol
Dsc 0415 d8nuvk - Eugenol
Dsc 0999 nxusmi - Eugenol
Dsc 1305c zyphbc - Eugenol
Dsc 1308 zcebis - Eugenol
Dsc 1352 ezf85b - Eugenol
Dsc 0403 kjizd3 - Eugenol
Dsc 0404 rpwg7o - Eugenol
Dsc 0405 hpnp8x - Eugenol
Dsc 0409 qayl5k - Eugenol
Dsc 0411 t3wmyk - Eugenol
Dsc 0413 cn7ue3 - Eugenol
Dsc 1354 wfknjo - Eugenol

Little shop of horrors brzqjx - Eugenol
chatondecarte

27/07/2015 à 00h23

Tu aurais un scan?
Y avait un granulome à l apex?

--
Mon book de chirurgie :
http://facebook.fr/drbbenichou


3f3boxni50k58rq7e9ce9ddqrxgk - Eugenol
dentiste57

27/07/2015 à 14h47

vue la photo de la dent, je crois bien


12