Cookie Consent byPrivacyPolicies.comgencive et grossesse - Eugenol

gencive et grossesse

yoye

24/07/2015 à 16h40

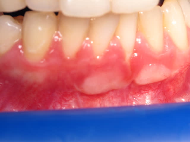
Bonjour à tous, une patiente en fin de premier trimestre de grossesse est venue me consulter pour des "taches " sur sa gencive vestibulaire en regard de son bloc incisif mandibulaire.
Elle me dit avoir subi une greffe gingivale il y a trois ans mais que cette zone vient d'apparaitre.
C'est indolore et asymptomatique on a l'impression que cela correspond au greffon mais pourquoi une modification trois ans après?
merci pour vos avis

Img 0746 zpobp2 - Eugenol
Img 0744 uvwkup - Eugenol

Img 5097 lxchd7 - Eugenol
Queixal

24/07/2015 à 19h49

Avec la grosesse la gencive est un peu plus inflamée et rouge, le geffon plus epais a moins changé de couleur et par contrast est plus visible.


Img 5097 lxchd7 - Eugenol
Queixal

24/07/2015 à 19h49

Avec la grosesse la gencive est un peu plus inflamée et rouge, le geffon plus epais a moins changé de couleur et par contrast est plus visible.


yoye

24/07/2015 à 19h58

Oui cela parait simple.
Je n'ai pas vu la patiente avant et ne sais pas comment elle était mais pourquoi pas.
Merci


Dsc05680 medium aphmfg - Eugenol
BasArtDentaire

24/07/2015 à 20h15

Queixal écrivait:
-----------------
> Avec la grosesse la gencive est un peu plus inflamée et rouge, le geffon plus
> epais a moins changé de couleur et par contrast est plus visible.

C'est également la première chose qui m'est venue à l'esprit.