Cookie Consent byPrivacyPolicies.comla technique d'obturation de chicot - Eugenol

la technique d'obturation de chicot

Capture d  cran 2015 03 12 12.28 - Eugenol
chicot29

29/07/2015 à 16h40

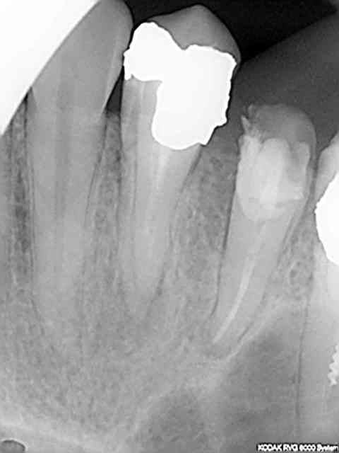
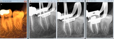
1 .Essayage cones en place, couper ce qui dépasse le cas échéant ( une sur instrumentation ca arrive)

2. scellement des cones.

3. couper les cones au friendo puis phase de descente au friendo ( qui est un heater plugger je le rappelle) et compactage au machtou.

4. coincer les chutes de gutta à l' entrée des canaux et les thermo-compacter au mac spadden.


C'est pret ! -))))

Capture d e cran 2015 07 29 14.32 - Eugenol

lachmar

29/07/2015 à 16h48


tu nous as habitué à plus difficile )

ce qui me blufferait c'est que fasses l'endo sur la 8 qui a une belle carie ))))

a suivre ?


Capture d  cran 2015 03 12 12.28 - Eugenol
chicot29

29/07/2015 à 16h50

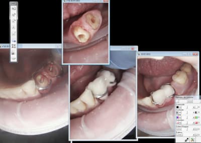
Par contre j'ai essayé le clip flow pour protéger l'entrée des canaux lors de la réalisation pré endo ( endo en 2 temps because urgence) autant ca marche bien pour les onlays autant c'est la galère à virer dans ce cas. -)))))

C'est à moitié mou le r25 passe à travers heureusement ! -))))

Capture d e cran 2015 07 29 14.47 - Eugenol
Capture d e cran 2015 07 29 14.44 - Eugenol

tictac

29/07/2015 à 23h37

faudrait passer a la vitesse superieure chicot et nous faire une video d'une de tes endos!


Cquenotte

30/07/2015 à 12h26

chicot29 écrivait:
------------------
> Par contre j'ai essayé le clip flow pour protéger l'entrée des canaux lors de
> la réalisation pré endo ( endo en 2 temps because urgence) autant ca marche
> bien pour les onlays autant c'est la galère à virer dans ce cas. -)))))
>
> C'est à moitié mou le r25 passe à travers heureusement ! -))))

Ta reconstitution pré endo tu l'as fait avec quel compo sur les 3 que tu montres ?
Moi la dernière fois j'ai utilisé un compo flow quelconque pas cher mais j’osai pas trop remonté donc mon crampon tenait pas et quand j'ai rajouté ça a pété !


Capture d  cran 2015 03 12 12.28 - Eugenol
chicot29

30/07/2015 à 14h34

Cquenotte écrivait:
-------------------

> Ta reconstitution pré endo tu l'as fait avec quel compo sur les 3 que tu montres
> ?

C'est la meme.

> Moi la dernière fois j'ai utilisé un compo flow quelconque pas cher mais j’osai
> pas trop remonté donc mon crampon tenait pas et quand j'ai rajouté ça a pété !

J'ai utilisé le peak universal bond ( coltène) seul ( sans etching en plus !) puis estelite flow quick pour la base et estelite posterior pour monter les parois. C'est le collage qui cède pas le compo tu fais ca avec un SAM 1 ca pète, pour te donner le niveau d'adhésion de ces merdes. -)))

Capture d e cran 2015 07 30 12.32 - Eugenol

Capture d  cran 2015 03 12 12.28 - Eugenol
chicot29

30/07/2015 à 14h53

Ca c'est pas mal non plus en 45 mn, on se demande pourquoi thermo compacer au mac spadden et j'ai perdu un morceau de crochet au passage ! -)))))

Capture d e cran 2015 07 30 12.41 - Eugenol
Capture d e cran 2015 07 30 12.49 - Eugenol
Capture d e cran 2015 07 30 12.52 - Eugenol
Capture d e cran 2015 07 30 12.48 - Eugenol

Cquenotte

30/07/2015 à 16h47

chicot29 écrivait:
------------------

>
> J'ai utilisé le peak universal bond ( coltène) seul ( sans etching en plus !)
> puis estelite flow quick pour la base et estelite posterior pour monter les
> parois. C'est le collage qui cède pas le compo tu fais ca avec un SAM 1 ca
> pète, pour te donner le niveau d'adhésion de ces merdes. -)))

Ah oui OK ! Tu monte les parois avec un compo normal en fait et pas un flow ! Merci.
T'arrive à le faire sauter facilement ensuite ?


Capture d  cran 2015 03 12 12.28 - Eugenol
chicot29

30/07/2015 à 17h06

Cquenotte écrivait:
-------------------
> chicot29 écrivait:
> ------------------
>
> >
> > J'ai utilisé le peak universal bond ( coltène) seul ( sans etching en plus !)
> > puis estelite flow quick pour la base et estelite posterior pour monter les
> > parois. C'est le collage qui cède pas le compo tu fais ca avec un SAM 1 ca
> > pète, pour te donner le niveau d'adhésion de ces merdes. -)))
>
> Ah oui OK ! Tu monte les parois avec un compo normal en fait et pas un flow !
> Merci.
> T'arrive à le faire sauter facilement ensuite ?

je le fait aussi tout en flow quand c'est pas trop abimé comme ci dessus, le flow c'est moins pratique quand c'est trop délabré. Et ca ne saute pas facilement. -))))


youn

30/07/2015 à 17h08


C'est quoi ton ciment?


Cquenotte

30/07/2015 à 17h27

Merci.
Au fait sur un autre sujet on avait parlé des linguafix que tu m'avais dit trouver sur mega dental mais perso j'trouve pô ! ??


Capture d  cran 2015 03 12 12.28 - Eugenol
chicot29

30/07/2015 à 17h30

Faut leur demander par tel, ils arrivent a avoir des produits hors catalogue.


Capture d  cran 2015 03 12 12.28 - Eugenol
chicot29

30/07/2015 à 17h36

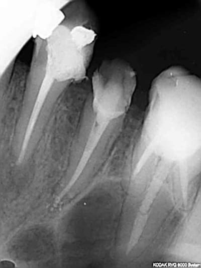
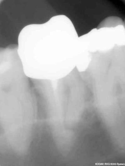
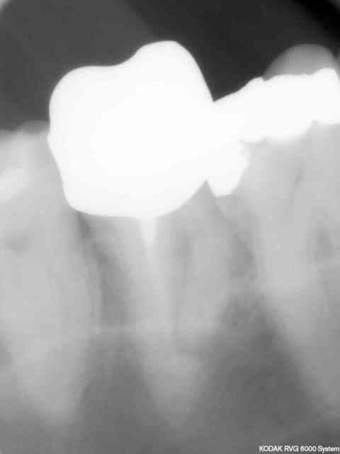
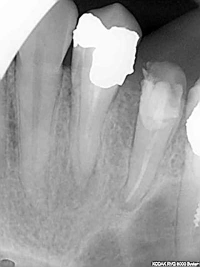
Endo 16 + sc 33. Costeaude la racine DV.

Capture d e cran 2015 07 30 15.33 - Eugenol

Cquenotte

30/07/2015 à 17h51

chicot29 écrivait:
------------------
> Faut leur demander par tel, ils arrivent a avoir des produits hors catalogue.

Merci.


olivier

30/07/2015 à 17h57

en tout cas très très beau boulot d'omnipratique ....je suis admiratif .


Capture d  cran 2015 03 12 12.28 - Eugenol
chicot29

30/07/2015 à 18h23

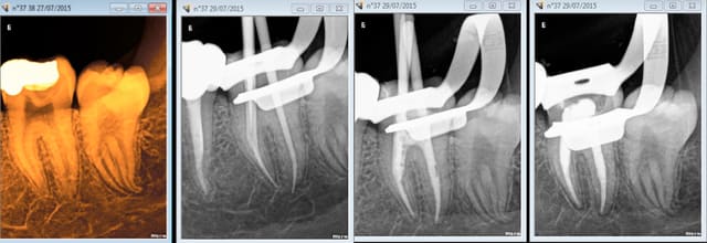
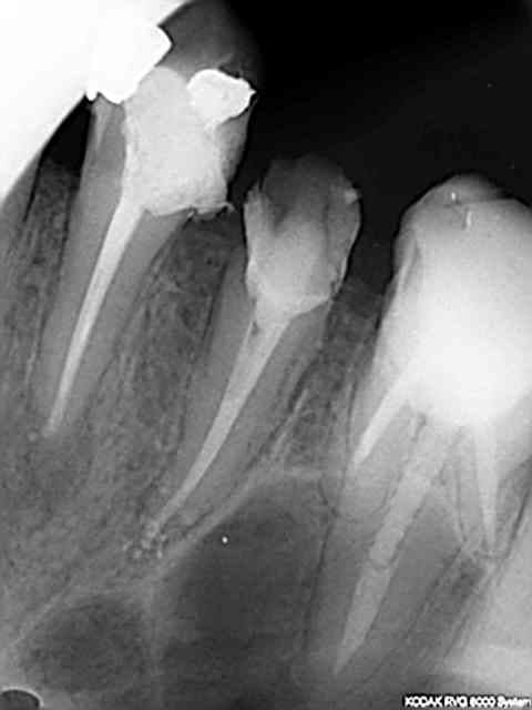
une 37 .......

Capture d e cran 2015 07 30 16.22 - Eugenol

Capture d  cran 2015 03 12 12.28 - Eugenol
chicot29

30/07/2015 à 18h32

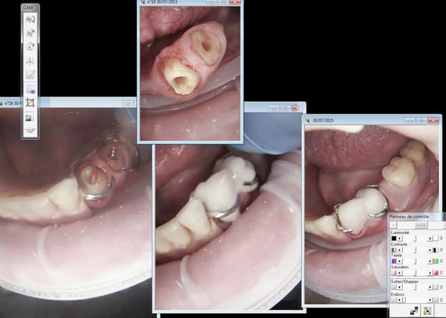
olivier écrivait:
-----------------
> en tout cas très très beau boulot d'omnipratique ....je suis admiratif .

merci.
Ca m'arrive de foirer mais rarement, ici racine distale de 16 manque 2 mm. je n'essaie pas de forcer outre mesure et d'arriver à tout prix à l'apex.

Capture d e cran 2015 07 30 16.30 - Eugenol

malaire

30/07/2015 à 18h36

T'es fâché avec les racines DV des 1ères molaires sup ?
:)))


lachmar

30/07/2015 à 18h52



tu as essayé endo magic quand ca coince omme çà ?


malaire

30/07/2015 à 19h04

J'en étais resté au thermocompactage: simple, rapide et pas cher et utilisable avec de la gutta "low cost" genre R&S.
L'idéal en dentisterie sécu.
L'irrigation alternée avec Salvizol et hypochlorite permet en plus d'avoir très souvent des puffs comme les pros ...
Inconvénient: il faut impérativement faire un cône d'arrêt à LT-1 et avoir un bon tug back à cette longueur sinon c'est le dépassement assuré.

Il y a parfois des casses de pointes de Mc Spadden comme sur la radio de la 14 mais comme c'est un instrument stérile noyé dans de la gutta ça ne (me) pose pas de problème.

Endo2 nryenb - Eugenol
Endo1 upafhx - Eugenol
Endo3 frh2mx - Eugenol
Endo4 ewzixh - Eugenol

Capture d  cran 2015 03 12 12.28 - Eugenol
chicot29

30/07/2015 à 19h35

malaire écrivait:
-----------------
> J'en étais resté au thermocompactage: simple, rapide et pas cher et utilisable
> avec de la gutta "low cost" genre R&S.
> L'idéal en dentisterie sécu.

Joli.
La dentisterie sécu c'est tes radios pré op . Ce qui m'énerve c'est que c'est au meme tarif que les tiennes. D'un autre coté on a moins d'urgences à gérer qu'avec ces endos de merde. .


lachmar

30/07/2015 à 20h21



joli en mésial et palatin
mais short short short en distal sur la molaire


malaire

31/07/2015 à 01h07

lachmar écrivait:
-----------------
>
>
> joli en mésial et palatin
> mais short short short en distal sur la molaire

Si le canal n'est pas perméable jusqu'au bout, je n'utilise jamais d'EDTA pour essayer de forcer: si ça passe pas avec le protaper violet et avec une lime 06 ou 08 je n'insiste pas.


Ratata

31/07/2015 à 11h15

chicot29 écrivait:
------------------
> 1 .Essayage cones en place, couper ce qui dépasse le cas échéant ( une sur
> instrumentation ca arrive)
>
> 2. scellement des cones.
>
> 3. couper les cones au friendo puis phase de descente au friendo ( qui est un
> heater plugger je le rappelle) et compactage au machtou.
>
> 4. coincer les chutes de gutta à l' entrée des canaux et les thermo-compacter
> au mac spadden.
>
>
> C'est pret ! -))))

Merci Chicot, je trouve tes endos tres belles.

pourrais tu me dire exactement ou je peux trouver et quel est ton materiel ? les friendo ? les mcspadden ? les machtou, je vois, c' est les fouloirs...

merci !!


Capture d  cran 2015 03 12 12.28 - Eugenol
chicot29

31/07/2015 à 17h47

le friendo je l'ai eu par pred.
Les mac spadden voir gutta condensors dans n'importe quel catalogue.


12