Cookie Consent byPrivacyPolicies.comIdentification implant - Eugenol

Identification implant

rosalie

04/08/2015 à 17h48

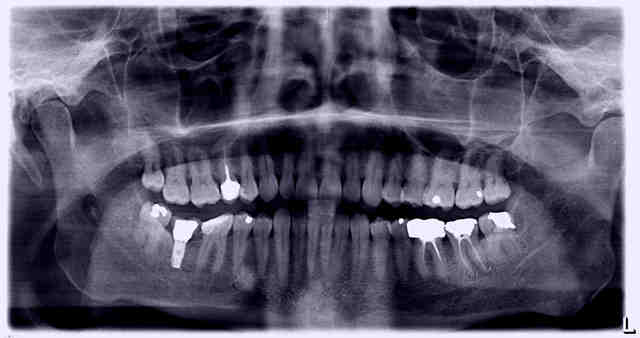
Bjr, je cherche à savoir quel est cet implant.
La CCM trans vissée est mobile, je vais dévisser et changer de vis.
Son ancien prat est parti en retraite et le successeur n'a pas la référence exacte.
A priori c'est du strauman WP ?, mais c'est un peu limite pour commander la nouvelle vis et trouver la clef qui va bien.
merci.

C1 p4ljw8 - Eugenol
R6 ymxanw - Eugenol

philoustre

05/08/2015 à 00h52

sur ce n'est pas du straumann. nobel hexagone externe rp ou wp. radio pas trop top


rosalie

06/08/2015 à 10h48

Je dirai même plus, radio pourrie. Il ne venait pas pour ça, c'est en contrôlant que j'ai remarqué qu'elle bougeait.
La radio a été faite à l'arrache. Le prat qui a repris la patientèle de l'implanto qui lui a posé refuse de lui donner son dossier.
Du coup c'est bibi qui galère pour lui rendre service.


Img 5404 pmlzfi - Eugenol
Chicot44

06/08/2015 à 20h57

rosalie écrivait:
--------
Le prat qui a repris la patientèle de
> l'implanto qui lui a posé refuse de lui donner son dossier.


Le con !!! En plus il a le droit contre lui... Le patient doit aller réclamer sont dû...