Cookie Consent byPrivacyPolicies.commésiodens- 21bis - Eugenol
Kev

05/08/2015 à 18h58

Bonjour,
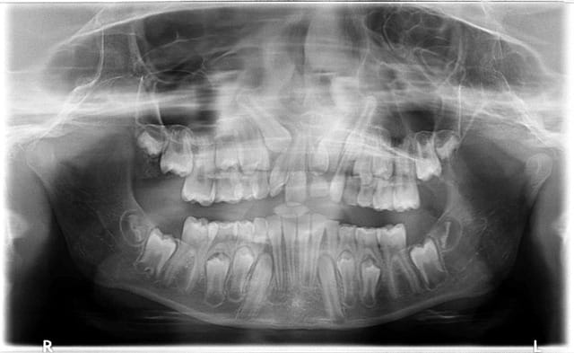
Besoin d'avis sur la prise en charge pour cette petite fille de 10 ans .
Sa 61 est toujours présente, rhisalysée. C'est au dessus que ça bloque, à la radio on peut voir une sorte de mésiodens qui bloquerai la 21.
Vos avis ? Stomato puis ortho ou l'inverse ?

Radios en pièces jointes.

Merci .

P10 zboabz - Eugenol
R1 rf7xqs - Eugenol
R3 tlhvhd - Eugenol

Canin

05/08/2015 à 21h23

à 10 ans, 21 pas en place, c'est sûr, il faut déjà opérer retirer 61 et le mesiodens, l'ortho pourra être consulté dans la foulée car il y a un encombrement important dans le secteur antérieur



--
Canin


Img 5404 pmlzfi - Eugenol
Chicot44

06/08/2015 à 02h21

Une 3D pour faire un diagnostic précis... et de longues explications pour les parents... tout cela avant d'extraire cette 61....


1309531 ours brun n5iukf - Eugenol
seespan

06/08/2015 à 04h30

Chicot44 écrivait:
------------------
> Une 3D pour faire un diagnostic précis... et de longues explications pour les
> parents... tout cela avant d'extraire cette 61....

+1

On ne fait rien avant de voir la 3D.

Plus que le mesiodense c'est le rapport des canines avec les latérale qui m’inquiète
--
หมอจัดฟัน


Canin

06/08/2015 à 10h19

Chicot44 écrivait:
------------------
> Une 3D pour faire un diagnostic précis... et de longues explications pour les
> parents... tout cela avant d'extraire cette 61....


3D ou pas ça change par rapport à l'attitude vis-à-vis du mésiodens.

explications aux parents : "vous aviez pas remarqué que votre fille avait les dents en vrac ? Donc 2 possibilités : soit on lui refait le portrait à notre manière et elle aura un jour la chance de trouver un mari, soit on laisse et on peut rien vous assurer..."

moi je réponds aux questions, notre confrère est assez grand pour savoir qu'il faut un plan de traitement global et des radios adaptées je pense
--
Canin


1309531 ours brun n5iukf - Eugenol
seespan

06/08/2015 à 17h40

Canin écrivait:
---------------

>
> moi je réponds aux questions, notre confrère est assez grand pour savoir qu'il
> faut un plan de traitement global et des radios adaptées je pense
> --
> Canin

La réponse bref c'est d'envoyer a un ortho :-).

Le mesiodense c'est un problem pec citron (tu l’enlève et c'est régler).
Les canines par contre ça risque d’être longet.

C'est l'ortho qui va doit organiser le traitement ici et pas le stomato.

--
หมอจัดฟัน


Kev

06/08/2015 à 17h46

Merci pour vos réponses.
Bonne journée.


Img 5404 pmlzfi - Eugenol
Chicot44

06/08/2015 à 19h18

Canin écrivait:
---------------

> 3D ou pas ça change par rapport à l'attitude vis-à-vis du mésiodens.


ça change beaucoup pour le chirurgien qui va l'enlever!!!
Mais je suis d'accord avec toi pour dire que de toutes façons faut l'enlever.
Mais la 3D va nous permettre de préciser le rapport anatomique avec les dents définitives, la position des canines et donc le ou les plans de traitement possible.


> explications aux parents : "vous aviez pas remarqué que votre fille avait les
> dents en vrac ? Donc 2 possibilités : soit on lui refait le portrait à notre
> manière et elle aura un jour la chance de trouver un mari, soit on laisse et on
> peut rien vous assurer..."

C'est pour ça que je dis qu'il faut faire le plan de traitement avant d’ôter cette 61. Il faut obtenir l'accord avant et la 3D est vraiment un atout formidable dans ce cas.



>
> moi je réponds aux questions, notre confrère est assez grand pour savoir qu'il
> faut un plan de traitement global et des radios adaptées je pense



Moi je m'en fou des questions , y a que les réponses qui m’intéressent...

Canin a sorti les crocs... dommage... je vois pas trop l’intérêt de cette agressivité...


Canin

06/08/2015 à 21h58

seespan écrivait:
-----------------

> La réponse bref c'est d'envoyer a un ortho :-).

oui bien sûr mais moi je sais que extraire des dents et ce mésiodens il me fait mal aux yeux...


--
Canin


Images mg2jvu - Eugenol
zorg

07/08/2015 à 22h55

Chicot44 écrivait:
------------------

> Mais la 3D va nous permettre de préciser le rapport anatomique avec les dents
> définitives, la position des canines et donc le ou les plans de traitement
> possible.
>
oui, ce qui est intéressant ce sont les rapports des 13 et 23 avec les apex des 12 et 22 qui pour l'instant semblent encore intact.