Tous les forums
Preparation couronne dent vivante.
09/08/2015 à 15h20
Bonjour à tous,
je me lance dans la réalisation de couronne sur dent vivante et j'aurai besoin de quelques conseils ou retour d'expérience.
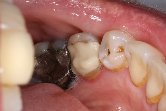
Je n'ai pas de radio de la dent concernée, mais en gros : fracture d'un ancien et gros amalgame MOD, dent asymptomatique, patient de 40 ans, chambre pulpaire rétractée (26)
Je comptais faire le protocole suivant :
- empreinte silicone pour automoulage (IRM en place)
- depose amalgame + verification si carie ou non
- reconstitution au Dentocore
- preparation pour une CCM (scellement prévu) (fraise neuve, spray eau++)
- automoulage avec resine dual au pistolet + spray
- empreinte sectorielle impregum
- scellement provisoire temp bond
Attente 1 semaine
et si tout est ok :
- scellement de la ccm au polycarboxylate ou totalcem
Mes questions sont :
- dois je faire une protection du moignon avant la réalisation de la provisoire, si oui que me conseillez vous? (etch+primer/bonding?, tubulicid?)
- d'autres conseils ??
10/08/2015 à 11h17
Je ne pense pas qu'il soit recommandé de faire l'empreinte dans la séance de préparation/provisoire. On peut avoir des surprises même sur les pulpes radiographiquement rétractées.
10/08/2015 à 11h32
Pour ma part aucune précaution particulière pour une dent vivante.
Empreinte pour isomoulage, préparation légèrement diminuée ou idem à CCM (souvent je fais en Emax dans ce cas là)
IDS après préparation (attention à vaseliner ++ la préparation sinon la provisoire ne sortira pas si tu la fait en composite (Protemp 4 ou autre du même genre)
Scellement temporaire seal temp
Collage classique
Je n'attends pas entre la taille et l'empreinte, les très rares cas ou j'ai un soucis je fait l'endo et refait la couronne, vu le temps que je gagne à chaque séance à faire en 1 fois je peux en perdre une séance de temps en temps...
11/08/2015 à 00h25
bagheerra écrivait:
-------------------
> On peut avoir des surprises même sur les pulpes
> radiographiquement rétractées.
Je dirais plutôt que l'on peut "avoir des surprises" SURTOUT avec les dents dont le parenchyme pulpaire est calcifié, même si leur seuil de perception de la douleur plus élevé (sensibilité moindre) pourrait faire croire le contraire...
En effet, leur potentiel de défense (ou de récupération) est très amoindri. Penser que l'on peut profiter de cette éloignement pulpaire pour faire une préparation périphérique plus classique (au lieu d'en faire une plus réduite) peut être une erreur fatale pour la vitalité pulpaire résiduelle...
11/08/2015 à 03h25
IDS + Emax y'a que ca de nos jours sur du vivant!
2015-07-01_10.23.31_ccafrk.jpg
2015-07-01_10.23.48_cwpal2.jpg
2015-07-01_10.42.47_kcobk5.jpg
2015-07-01_10.43.06_jj73bv.jpg
2015-07-01_10.43.53_fip5gt.jpg
2015-07-01_10.58.40_m5fgeg.jpg
2015-07-01_11.01.09_ddf2bn.jpg
2015-07-08_12.44.53_he8yqo.jpg
2015-07-08_12.45.19_y1pgza.jpg
2015-07-08_12.49.15_bodrze.jpg
2015-07-08_12.56.17_jv91xb.jpg
2015-07-08_13.03.23_d7ywft.jpg
2015-07-08_13.03.38_ikx814.jpg
2015-07-08_13.04.51_sqg15m.jpg
2015-07-08_13.05.11_pixe9x.jpg
2015-07-08_13.07.28_aepvvn.jpg
11/08/2015 à 10h35
Pour ma part pas de précaution particulière, non plus, pour les dents vivante.
Empreinte du wax up, pour la provisoire, préparation idem à CCC (uniquement Emax )
Collage classique
Je n'attends pas entre la taille et l'empreinte, de mémoire 2 cas cas ou j'ai eu un soucis (1 incisive et une pm mandibulaire) j'ai fait l'endo à travers la couronne, que je changerais si besoin.
--
xbk
"Si tous ceux qui croient avoir raison n'avaient pas tort, la vérité ne serait pas loin" Dac Pierre
11/08/2015 à 10h43
Pour aider, voici un lien sur le sujet de la préparation des dents vivantes de notre ami The Dentalist.
http://thedentalist.fr/la-preparation-des-dents-vivantes/
hodina
--
😁😁😁😁😁😁
Le Blog dentaire.
www.arcad-dentaire.fr
((-----Vivre le sourire Hollywoodien-----))
12/08/2015 à 04h43
youn écrivait:
--------------
> IDS + Emax y'a que ca de nos jours sur du vivant!
>
Salut, a quoi sert le "compo" placé sous cette "couronne" ?
C'est pour l'IDS ?
--
Céramik
12/08/2015 à 16h18
Merci a tous pour vos retour,
pour l'instant pas de retour du patient apres la préparation. C'est encourageant :)
12/08/2015 à 16h20
Céramik écrivait:
-----------------
> youn écrivait:
> --------------
> > IDS + Emax y'a que ca de nos jours sur du vivant!
> >
>
> Salut, a quoi sert le "compo" placé sous cette "couronne" ?
> C'est pour l'IDS ?
>
> --
> Céramik
AMA c'est un compo avec une gorge de repositionnement ?
En tout cas joli cas, le collage est fait via un compo rechauffé?
13/08/2015 à 06h07
Céramik écrivait:
-----------------
>
> Salut, a quoi sert le "compo" placé sous cette "couronne" ?
> C'est pour l'IDS ?
>
> --
> Céramik
Oui exactement, tu recouvres la dentine par du compo en laissant l'émail tranquille, ça te donne une belle forme bien plate, beaucoup plus facile a gérer je trouve, et j'ai noté beaucoup moins de sensibilités.
https://www.bisco.com/catalog/IDS%20Procedure.pdf
Dans cet article de Magne il dit d'utiliser du flow, mais je n'aime pas ça comme substitut dentinaire, j'utilise donc du flow (en faible quantité) recouvert de compo "normal", le flow servant juste d'agent de mouillage ( ils appellent ça "injection moulding" si je ne m'abuse). Ça me permet de tomber sur une forme simple et je peux me faire un joli box/gorge de repositionnement, simple a gérer.
13/08/2015 à 06h16
Autre cas (je ne fais quasiment plus que ça sur dent vivante) sur un confrère. Onlay emax. Injection moulding en substitut dentinaire.
Je pense qu'a terme j’essaierai de remplacer la dentine par du compo et l'émail par de l'emax, mais la gestion des volumes n'est pas si évidente, donc je commence par de petits cas.
Peut-être que je me plante complètement, mais je pense que la mimétique est la bonne solution.
Désolé je suis un peu nul en teinte...et en photos.
13/08/2015 à 06h17
La recommandation de Magne est de réaliser l'IDS avec l'Optibond FL de chez Kerr. L'état de surface est vraiment impeccable. Attention à bien protéger l'adhésif sous verre orange, ou à le sortir au dernier moment car il prend vraiment en 20 secondes sous un plafonnier, et surtout finir la polymérisation sous glycérine car il arrache trop facilement l'impregum ou empêche la prise de silicone.
13/08/2015 à 06h51
Ouais c'est fort comme truc, il m'est arrivé de pas réussir a virer des pros...
14/08/2015 à 02h52
youn écrivait:
--------------
> Oui exactement, tu recouvres la dentine par du compo en laissant l'émail
> tranquille, ça te donne une belle forme bien plate, beaucoup plus facile a gérer
> je trouve, et j'ai noté beaucoup moins de sensibilités.
>
>
Je faisais déjà de l' "IDS" il y a + de 15 ans ;-)
Enfin, un mini base de compo (flow souvent) pour protéger la dentine et adoucir la préparation ;-)
Ensuite j'ai appris que ça s'appelait l'IDS (Magne) ;-)
Je trouvais la compo avec le puit central, disons, un peu inutile dans ce cas précis. J'aurais préparé en vestibulaire pour faire plus joli (et virer l'amalgame sur la 6 ;-) )
Joli cas, tu as bcp de succès avec des préparations aussi plates ? Quand j'en avait montré, ça avait attiré pas mal de critiques...les gens sont en vacances, alors ça passe mieux.
--
Céramik
14/08/2015 à 11h51
Siouplait m'sieur-dames, j'ai pas compris
Vous mettez du compo au fond de votre préparation puis vous faites un petit trou à la fraise pour aider au repositionnement, c'est ça? Me trompe-je???
14/08/2015 à 21h07
Céramik écrivait:
-----------------
> Je faisais déjà de l' "IDS" il y a + de 15 ans ;-)
> Enfin, un mini base de compo (flow souvent) pour protéger la dentine et adoucir
> la préparation ;-)
>
> Ensuite j'ai appris que ça s'appelait l'IDS (Magne) ;-)
>
> Je trouvais la compo avec le puit central, disons, un peu inutile dans ce cas
> précis. J'aurais préparé en vestibulaire pour faire plus joli (et virer
> l'amalgame sur la 6 ;-) )
>
> Joli cas, tu as bcp de succès avec des préparations aussi plates ? Quand j'en
> avait montré, ça avait attiré pas mal de critiques...les gens sont en vacances,
> alors ça passe mieux.
>
>
>
>
> --
> Céramik
J'avais suivi a l'époque, mais je n'y connaissais rien du tout, ça sort du cadre de ce qu'on nous enseigne a la fac. Le puits aide quand même pas mal pour repositionner bien et éviter les glissements. Je n'avais pas besoin ici de faire plus joli, la dame ne découvre pas a cet endroit la.
Je n'ai eu aucun souci a ce jour mais bon on me rétorquera que je n'ai pas assez de recul... Les valeurs d'adhésion avec un tel protocole et autant d'émail sont très bonnes, et les forces sont plutôt perpendiculaires, si ça tient pour des facettes, je ne vois pas pourquoi il y aurait un souci ici...
Je t'avoues que je pensais me faire lyncher un peu plus que ça
:-)
14/08/2015 à 21h10
pâtesaubeurre écrivait:
-----------------------
> Siouplait m'sieur-dames, j'ai pas compris
> Vous mettez du compo au fond de votre préparation puis vous faites un petit trou
> à la fraise pour aider au repositionnement, c'est ça? Me trompe-je???
Le compo sert de substitut dentinaire et rend la préparation plus simple et plus lisse, notamment pour le prothésiste. Le puits sert au repositionnement. Ca permet aussi au moment du collage d'avoir une épaisseur plus faible de Ceram et donc de pouvoir utiliser un compo photo, qui aurait, semblerait-il, de meilleures propriétés.
L'idéal étant pour moi dentine remplacée par du compo et émail par de la céram. L'avenir me dira si j'ai tort.
15/08/2015 à 03h45
Je reconnais cette digue sans latex de chez Roeko, très sympa à utiliser. En alternative la Nic Tone heavy, capable de merveilles et qui fait même le café.
15/08/2015 à 04h28
David B écrivait:
-----------------
> Youn tu utilises toujours cette digue maxi épaisse de la mort qui tue?
Ben elle est pas super épaisse, et elle est super élastique, et sans latex... Que demande le peuple? (Roeko au passage).
Edit. PopHip avait tout dit!
15/08/2015 à 13h01
Je sais je l'avais reconnue mais je n'avais pas aimé. je préfère largement la dermadam ou l'elastidam car bien souvent pour coller un onlay, je peux clamper en unitaire.