Cookie Consent byPrivacyPolicies.comConduite à tenir patient allant recevoir des biphosphonates - Eugenol

Conduite à tenir patient allant recevoir des biphosphonates

P1 tasxso - Eugenol
chirdentoss

10/08/2015 à 19h51

Bonjour,

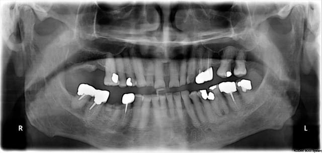
Je reçois ce patient de 80ans il y à 3 jours envoyé par son medecin generaliste pour bilan dentaire avant ttt par biphosphonate.

je lui fait une radiographie panoramique (cf pièce jointe) , et un examen clinique complet.

CAT : extraction de

racine 46
36 (nécrosé et début atteinte peri apicale)
bout de dent niveau 17


Mon soucis : Je me pose des question pour la conduite à tenir face à 16-17 : la pano et l'examen clinique montre 2 belles caries en miroir sous gingivales et avec une poche parodontale importante. Mais aucune douleurs ni mobilités.

extraire ou soigner ? je suis un peu perdu. Car si problème futur puis extraction sous BP ca va pas le faire...

Que feriez vous ?


P1 tasxso - Eugenol
chirdentoss

10/08/2015 à 20h00

Je n'arrive pas à inserer la pano en pièce jointe. Je l'ai mit en avatar si vous voulez la voir....

Merci pour vos réponses chers amis


P1 tasxso - Eugenol
chirdentoss

10/08/2015 à 20h07

Bon ... je n'arrive pas à inserer la photo et l'avatar est trop petit.


Avatar transparent iqadnc - Eugenol
adhoc

10/08/2015 à 21h08

>Je n'arrive pas à inserer la pano en pièce jointe. Je l'ai mit en avatar si vous voulez la voir....<

moredeurireu! (première fois que je vois cela!!!)

Mode serieux On
Ton image doit etre en jpg ou png et faire moins de 500 KO!
Si ta pano est en TIF, il faut la convertir.

si echec MP


41467 100000418256397 4215 n ypxyho - Eugenol
Blette

10/08/2015 à 23h37

Moi je dirais ... Tout foyer infectieux à éliminer .... Meme genre de conduite stricte qu avant un pontage cardiaque ....
Quand on connaît les risque d ´ONM dus aux traitements par bisphosphonates.... Mieux vaut extraire tout ce qui est douteux avant la mise en place du traitement qu apres donc si poches paro sur 16 et 17.... Extrais les avant ... Si tu es amené a les extraire l an prochain ca risque d etre lourd à gérer au niveau effets secondaires surtout sur patient âgé


Bonta mvdcrm - Eugenol
matt_clrvt

11/08/2015 à 00h23

Euh avant un pontage cardiaque(même un triple) il faut juste s'assurer qu'il n'y a pas de foyers actifs, voir faire les RTE, ou ils ont revu les recommandations à la hausse ? Pour une pose de valve on peut être plus radical, et encore.

Ensuite, la question des extractions de dents paro est à mettre en balance avec les lésions chroniques provoquées pas les prothèses amovibles allant remplacer ces dents. Alors qu'une fonte paro chronique allant jusqu'à l'expulsion éventuelle n'a pas encore déclenchée d'ONM.
--
- ping -t 127.0.0.brain
- ... sending packets ...
- délai d'attente de la demande dépassé
- délai d'attente de la demande dépassé


lachmar

11/08/2015 à 14h40



à mon avis il faut agir comme sur un patient devant être irradié ou porteur d'une pathologie à fort risque oslérien :

extraction de toutes les dents parodontales
extarction de toutes les dents dévitalisées
extraction de toutes les dents avec des obturations importantes
extraction evidement de toutes les dents porteuses de caries profondes ou de pathologies apicales

je me refuse à a voir a traiter des ostéo necroses ou des greffes bacteriennes majeures à cause de mon manque de précautions .

j'ai djà perdu des patients pour des plans de traitement trop radicaux, mais j'y ai gagné la tranquillité

parcequ'une ostéo necrose c'est l'horreur à gerer et dans la plupart des cas une procédure .


Image ik684g - Eugenol
chirphil

11/08/2015 à 15h57

Suppression de tous les foyers infectieux patents et latents .


P1 tasxso - Eugenol
chirdentoss

13/08/2015 à 12h13

c'est bon voici la panoramique !

problème de navigateur je n'avais pas le lien pour inserer les pièces jointes.

Donnez moi vos avis merci chers confrères!

P1 qbazqh - Eugenol

lachmar

13/08/2015 à 14h43



moi je degage tout

un bon complet vaut mieux qu'une mauvaise ostéo-necrose


Images mg2jvu - Eugenol
zorg

15/08/2015 à 17h00

heu faut peut être commencer par le commencement: quel type de bpp? Homme de 80 ans, je suppose que c'est à l'encontre de méta osseuses? Donc c'est en injectable? Quel est le pronostic du néo dont il est vraisemblablement atteint?


Canin

15/08/2015 à 22h34

zorg écrivait:
--------------
> heu faut peut être commencer par le commencement: quel type de bpp? Homme de 80
> ans, je suppose que c'est à l'encontre de méta osseuses? Donc c'est en
> injectable? Quel est le pronostic du néo dont il est vraisemblablement atteint?

Merci pour cette réponse et j'ajoute simplement dans quel délais vont être mis en place les BPs.

Edentation totale dans ce cas tout à fait inapproprié et inutile.

--
Canin


Canin

15/08/2015 à 22h36

zorg écrivait:
--------------
> heu faut peut être commencer par le commencement: quel type de bpp? Homme de 80
> ans, je suppose que c'est à l'encontre de méta osseuses? Donc c'est en
> injectable? Quel est le pronostic du néo dont il est vraisemblablement atteint?

Merci pour cette réponse et j'ajoute simplement dans quel délais vont être mis en place les BPs.

Edentation totale dans ce cas tout à fait inapproprié et inutile.

--
Canin