Cookie Consent byPrivacyPolicies.comQuelle est cette marque d'implant ? - Eugenol

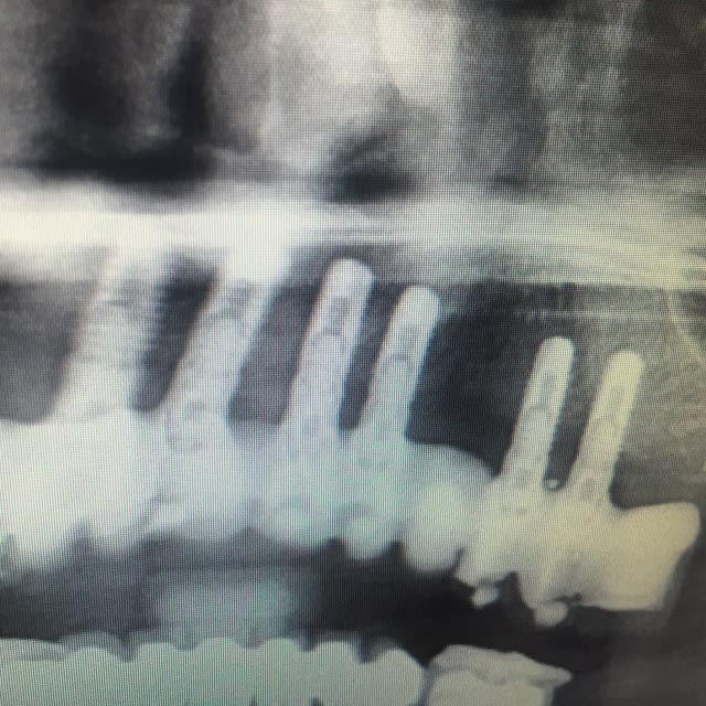
Quelle est cette marque d'implant ?

DrPoulish

10/08/2015 à 21h07

au maxillaire surtout !
et désolé pour la qualité des photos

camlog ?

Img 0283 ylnz1a - Eugenol
Img 0284 s4mthj - Eugenol
Img 0285 dmhfgl - Eugenol
Img 0286 cfzc3j - Eugenol

Photo pluton1b h9n4ea - Eugenol
pluton

10/08/2015 à 21h21

oui, camelog...;-)


DrPoulish

10/08/2015 à 22h23

mon tournevis astra fera-t-il l'affaire ?


Photo pluton1b h9n4ea - Eugenol
pluton

10/08/2015 à 22h35

de mémoire c'est un hex standard...donc normalement oui, çà devrait marcher....


DrPoulish

11/08/2015 à 16h26

Merci Mr PLuton ;-)