Cookie Consent byPrivacyPolicies.comLésions buccales - Eugenol

Lésions buccales

flicflac

13/08/2015 à 20h17

Qu.est-ce que c'est? quel traitement?

Patiente mi-cinquantaine , prend anti-hypertenseur (amilodipine et apo-hydro) ainsi que supplément calcium et vit D..
Médication stable depuis plus de 2 ans sans complications.

Depuis une semaine sens rugeux bout de la langue et intérieurs des lèvres. Dit avoir plus de salive (flot salivaire augmenté)
Aucun autre symptòmes.

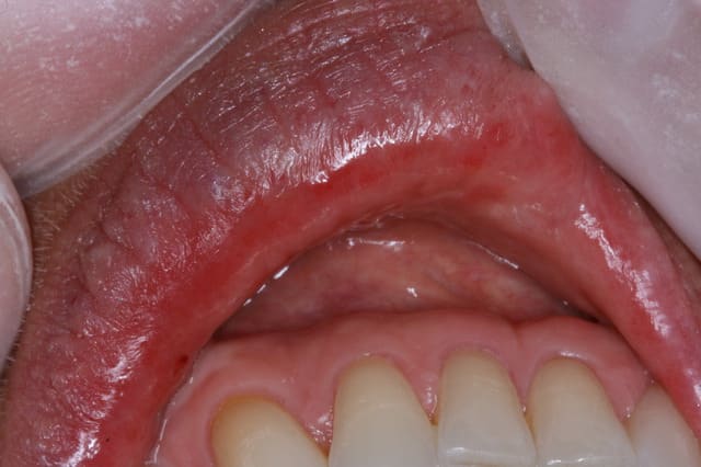
Rougeur intérieur des lèvres

L sions 001 o0qmfi - Eugenol
L sions 002 ntchrm - Eugenol
L sions 003 jtfjfk - Eugenol

G-P

13/08/2015 à 21h37

Allergie à son nouveau rouge à lèvres ?


flicflac

13/08/2015 à 22h56

rien en périphérie peau vermillon de la lèvre, seulement muqueuse interne


flicflac

19/08/2015 à 00h35

pas de réponses...


rat

19/08/2015 à 02h29

une piqûre d' insecte


rat

19/08/2015 à 02h29

une piqûre d' insecte


Hariboo uxvd6e - Eugenol
Harry Bo

19/08/2015 à 10h20

...seules lèvres touchées ?


flicflac

19/08/2015 à 22h40

un peu le bout de la langue...
augmentation du flot salivaire
plus assoiffé, boit plus