Cookie Consent byPrivacyPolicies.comQuel traitement pour cette tâche blanche - Eugenol

Quel traitement pour cette tâche blanche

Samo62

23/08/2015 à 20h38

Bonjour à tous,

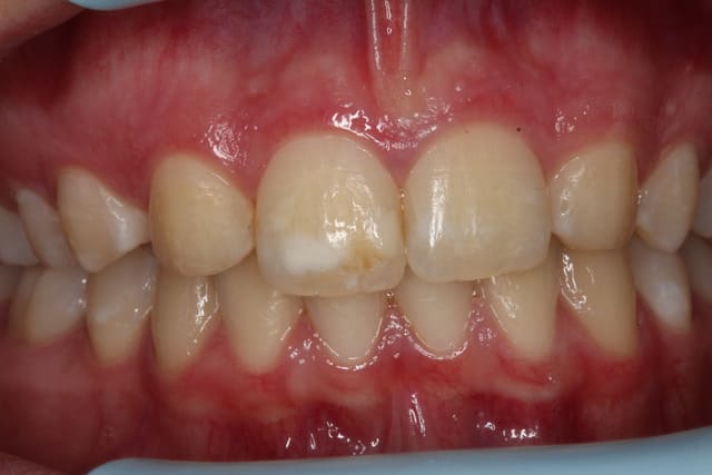
Patiente jeune (16ans) que je dois revoir pour des soins.

Que feriez-vous si elle vous demandait en montrant la tâche blanche sur l'incisive : "est-il possible de faire quelque chose pour çà Docteur ?"

Je ne suis pas chaud pour le composite, encore moins pour la facette. Je pensais à l'ICON de DMG mais j'aimerais vos avis.

Merci

Img 7365 cb6hpd - Eugenol

David B

23/08/2015 à 22h01

Je dirais Icon voire micro-abrasion. la tâche a l'air profonde.


studydent

24/08/2015 à 02h08

amha Eclaircissement externe général pour uniformiser + ICON

--
Etudiant passionné


Rape p0as4f - Eugenol
rapelapente

25/08/2015 à 03h17

Ta jeune patiente a une hygiène de chacal.
Déjà, qu'elle se brosse les dents.
Ensuite détartrage / polissage.
On verra moins sa tache.
J'ai la même sur une latérale, j'ai survécu ;-)