Cookie Consent byPrivacyPolicies.comImplants inconnus - Eugenol

Implants inconnus

DSplash

01/09/2015 à 16h34

Bonjour à tous,

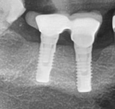
L'un d'entre vous reconnaîtrait-il ces implants? Ils ont été posés il y a une dizaine d'années par un confrère aujourd'hui décédé (qui exerçait à Bagnolet). Je sais qu'il a posé du IDI pendant un temps d'après son ancien prothésiste que j'ai retrouvé mais ce n'en est pas.
La connectique est un hexagone interne avec des vis très larges (compatibles tournevis hexagonal 1.2mm

J'ai déposé les piliers dont voici un exemple. Il s'agit du pilier d'origine, non retaillé.

Merci

Eugenol owhyuo - Eugenol
Img 5119 bjtrwh - Eugenol
Img 5118 rj6rio - Eugenol

Photo pluton1b h9n4ea - Eugenol
pluton

01/09/2015 à 19h50

très facile çà...;-)
il s’agit de SERF EVL
tu trouveras tout chez GlobalD qui regroupe maintenant SERF et TEKKA
petit conseil: refait une radio sans pilier prothétique pour vérifier la présence ou non de la bague d'extension car il y a une différence au niveau des références et dimensions de pilier/transferts, analogues, etc....


DSplash

03/09/2015 à 18h22

Merci!
Ca a été confirmé par SERF, c'est bien un EVL (avec bague à priori)

Et au passage, on a adressé une patiente à mon associé avec un implant en bouche (le praticien qui a posé l'implant est parti du jour au lendemain à l'étranger sans donner d'adresse, bref personne ne connait son système implantaire). Si qq'un a une idée ça serait top, en espérant que ce soit un transgingival. Merci d'avance.


DSplash

03/09/2015 à 18h23

avec l'implant...


DrPoulish

03/09/2015 à 23h22

ankylos ?


Photo pluton1b h9n4ea - Eugenol
pluton

04/09/2015 à 00h17

DrPoulish écrivait:
-------------------
> ankylos ?

non....du tout...;-))

allez, un billet que c'est un safe implant tornade (ex implant discount)

http://www.safe-implant.fr/10-safe-tornade-implant

par contre c'est pas censé être un tissue level mais un bone level....:-(