Cookie Consent byPrivacyPolicies.comDes conseils SVP - Eugenol

Des conseils SVP

charles976

08/09/2015 à 18h55


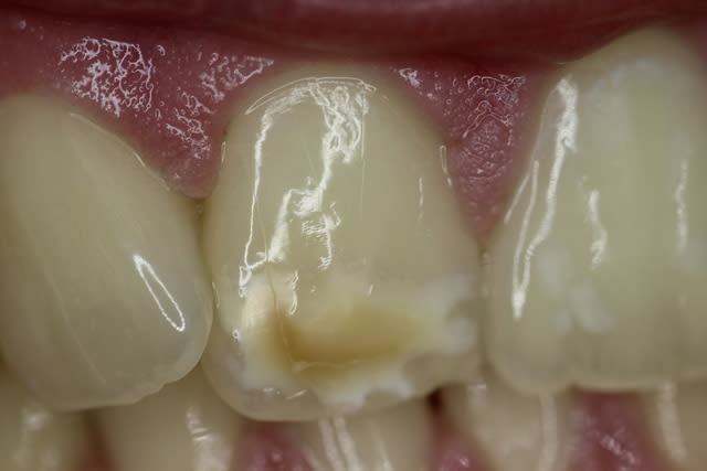
Bonjour à tous,

que feriez vous pour traiter ce genre de lésion?

il me semble avoir lu dans un article que l'application d’un topique pouvait diminuer ce genre de taches...
Merci pour vos idées!!
--
charles976

Img 0093 l3rbd4 - Eugenol
Img 0091 ixxorf - Eugenol

paradoxe

08/09/2015 à 20h41

Aucune chance...
composite spécial, pas besoin d'anesthésie, à la demande insistante du patient, évidemment.


Image saznoz - Eugenol
Hodina

08/09/2015 à 22h44

Et l'ICON ne pourrait pas Faire disparaître ou amoindrir le côté blanc crayeux??
Je ne parle bien sur pas de la tâche marron...
Solution de la facette sinon?


--
😁😁😁😁😁😁
Le Blog dentaire.
www.arcad-dentaire.fr
((-----Vivre le sourire Hollywoodien-----))


Aiguille cyboyt - Eugenol
fatboy

09/09/2015 à 12h13

compo a renouveler ou facette


Images 3 nesubi - Eugenol
zizine78

09/09/2015 à 13h38

Consulte l'algorithme de Jean Pierre Attal dans son blog.


17082007 synnio - Eugenol
kalif

10/09/2015 à 00h19

Eclaircissement , micro-abrasion, si favorable après icon , sinon macro-abrasion (facette)