Cookie Consent byPrivacyPolicies.comAngle MV - Eugenol

Angle MV

Avatar eex0qq - Eugenol
Pépé

19/02/2005 à 12h35

J'aurais aimé savoir ce que les uns les autres vous faites dans ce cas là.
Comparons nos méthodes.
Composite, Amalgame, Inlay, CCM ....
sachant que la limite est juxta gingivale, la gencive n'est pas inflammatoire bien que l'hygiène soit à revoir
patient 25 ans
antagoniste valable
Merci de vos avis.

A1 lkf83i - Eugenol
A3 jleh5f - Eugenol

Avatar transparent iqadnc - Eugenol
adhoc

19/02/2005 à 12h46

Cerec 3D?
Rigolo, j'ai la meme 25 dans cet état depuis 6 ans. Rien mis dedans , ca ne tient pas.Va bien. Ai eu marre de faire recoller mon onlay ceram. ts les 3 mois!!!


dentifrix

19/02/2005 à 13h29

tt depend de la symptomatologie:si la dent n'est pas sensible, je ferais une tite anesthesie, petite gingivectomie,matrice et amalgame. si dent sensible, on s'oriente vers la pulpec et la ,screw post et ccm


ben

19/02/2005 à 13h33

C'est vrai que c'est ce qu'on faisait, éventuellement, dans le passé.


dentropik2

19/02/2005 à 14h12

Pour moi...si pas de symptomatologie:

soit : fond de cavité plus amalgame devrait passer sans trop de problémes. Moi perso , si le patient en a déjà plein la bouche avec hygiène-- , c'est ce que je choisirais...

soit : compo , mais tout va se jouer sur la mise en place de la matrice et son adaptation dans la zone en juxta-gingivale....Tiens la digue , d'ailleur , c'est le cas type où je passe encore une heure à trouver le bon truc pour bien l'adapter sans qu'elle remonte dans la cavité...ET VOUS???

soit : inlay...mais bon , on commence à faire des bons compos maintenant. Non???

Dans tous les cas , petit discour au patient comme quoi si çà fait mal , et bien qu'y revienne et que là ce sera "dévitalisation" et CCM , mais qu'on aura au moins d'abord essayé plus simple et moins cher...

D'ailleur , si ccm , un truc pareil , j'aurais tendance à me passer de l'encrage radiculaire..


alhoun

19/02/2005 à 14h39

dentifrix, tu es visiblement installé en Mauritanie. ça va le climat?
dentropik: la digue ne pose pas de souci, tu la glisse bien dans les sulcus avec un fil dentaire, et en douceur, et t'auras pas de souci.
-fond de cavité: AUCUN interêt, une bonne couche hybride est le meilleur fond de cavité.
-amalgame: d'abord c'est moche (oui, je sais), ensuite pour faire un amalgame convenable, dans un cas comme celui là, il faut réssusciter Black, franchement, vaut mieux le laisser ou il est.
-compo ou inlay: ce n'est pas l'un ou l'autre mon grand, il y a des situations ou c'est l'un, et d'autres ou c'est l'autre. une cavité volumineuse comme celle-ci, avec toute la partie proximale à reconstruire doit être faite par technique indirecte, ou à la rigueur semi-directe.
-tu as raison de te passer de l'encrage, il paraît que ça tache.


ben

19/02/2005 à 15h32

Franchement alhoun, j'aime pas dire du mal des gens, mais je dois admettre que sur ce coup-ci je suis d'accord avec toi, avec une variante : couche hybride puis Fuji IX condensé (ou II LC)(l'apport d'un matériau fluoré dans une zone où le collage est délicat (cément), me rassure). En cas de doute sur l'évolution des symptomes, taille ultérieure pour inlay compo ou compo direct (dans les règles de l'art, en sandwich ouvert)


19/02/2005 à 16h50

Comme je ferais pour moi-même si j'avais des caries: un amalgame en explosant bien l'attache épithéliale avec ma Nyström en réssuscitant Black s'il le faut, le tout accompagné d'une surveillance radio régulière; et je n'habite pas en Mauritanie...
Pas de résine dans ma bouche, le mercure c'est meilleur.


dentifrix

19/02/2005 à 19h19

mon vieu alhoun des kartier chic tu propose koi a part la ramenee.tu fou ton cavit et oups allez voir votre dentiste meme si c est censee etre toi?...............


alhoun

19/02/2005 à 19h32

tu ferais plutôt mieux d'apprendre des grandes personnes. ta tite anesth et ta petite gingivectomie: tu rigoles, c'est un lambeau que tu dois faire,coco. et, entre nous, le mot symptomatologie, tu l'as trouvé dans une pochette surprise? tu l'as tapé avec combien de doigts? ne viens pas me chercher avec ta lutte des classes, tu auras affaire à un client.


Image19 iebot6 - Eugenol
athos

19/02/2005 à 19h32

.


dentifrix

19/02/2005 à 19h44

on voit bien k t un tit jeuno ki veut se lancer dans des lambeaux qui ne servent a rien.en sa chant kune mise a nu de l'os provoque une resorption .bien tu fai systematiquement des lambeau quand tu detartre ?trop fort toi.
jai une carie sous gingivale.d'apres alhoun lambeaux +suture + obturation .
t dentiste ou boucher ?ou gardien d' immeuble ?...


alhoun

19/02/2005 à 20h10

eh bien, je vois qu'on a affaire à un sacré pistolet...


Image19 iebot6 - Eugenol
athos

19/02/2005 à 20h20

pff...dentifrix frise le ridicule!
s'en rend il compte?


19/02/2005 à 20h22

Troll inside...à mon avis.


Squash u44zd8 - Eugenol
steph

19/02/2005 à 21h56

Inlay ceram, la question se pose même pas!!!
Plus de crête marginale, et en plus la cuspide vestibulaire ne sera plus du tout soutenue par de l'émail sain en quantité suffisante une fois le nettoyage de la cavité effectuée!!!
Dentifrix le roi de la provoc ou retard à l'allumage ?
Ma p'tite dame, le 'tit plomb que je vous ai mis après ma 'tite anesthésie, ben finalement y a fait des gros dégâts...


Avatar eex0qq - Eugenol
Pépé

19/02/2005 à 23h31

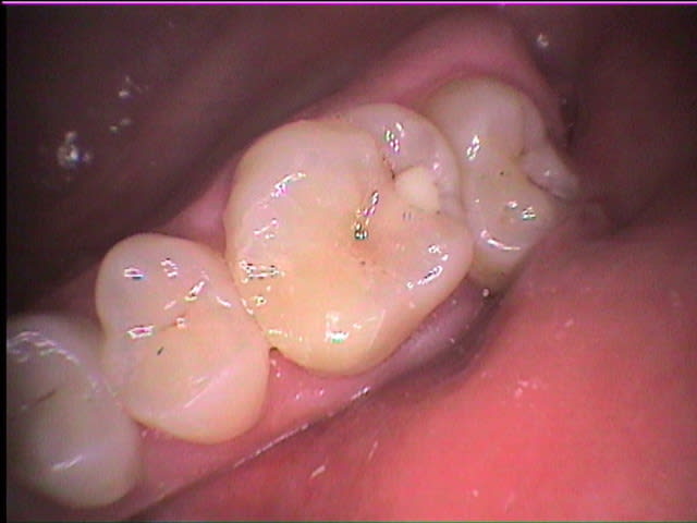
Je vois que mon cas clinique suscite des réactions.
Cela permet de voir les différentes façons de travailler de chacun.
Je précise qu'il n'y avait aucune sensibilité, le patient consultait car son amalgame était parti il y avait une reprise de carie en dessous (première fois que je voyais le patient)
Je ne donnerais pas de leçon, j'en suis bien incapable.
En fait, j'ai fait un composite en technique sandwitch avec un automatrix (je ne me sens pas encore assez doué pour mettre la digue et un automatrix en même temps).
Avantage (je trouve) par rapport à un inlay c'est qu'on est plus économe de tissus d'une part et d'autre part la limite juxta-gingivale (moi j'ai toujours appris qu'un inlay onlay se faisait pour des cavités supra-gingivales, mais je peux me tromper)
Inconvénient: on ne reconstitue pas de façon optimum la cuspide MV (en tout cas je trouve ça difficile), d'où une occlusion imparfaite (n'est-ce pas Isaïe).
J'ai de toutes façons prévenu le patient que si cela ne tenait pas je ferais différemment.
D'autre part, j'avoue mon incompétence à préparer une cavité pour Inlay pour ce genre de cavité.
Comment faites vous ?
Je pense au message d'adhoc qui dit que son onlay ceram se descelle tous les 3 mois c'est ce qui me fait un peu peur.

A5 ayzd6c - Eugenol

Squash u44zd8 - Eugenol
steph

19/02/2005 à 23h46

Tu t'en es bien sorti avec le composite, bravo!!!
Mais la taille pour un onlay dans ce cas est d'une facilité enfantine, il suffit de mettre de dépouille tes parois, d'avoir un fond de cavité plat et c'est tout.
Tout est offert pour l'onlay ; une limite juxta-gingivale (fait partie des indications), une limite vestibulaire masquée au regard, une cuspide à reconstruire, indice de le Huche favorable (pas de porte à faux), occlusion favorable si j'ai bien lu.
Pour éviter la mésaventure d'adhoc, évite un contact occlusal sur le joint onlay/dent en statique, sinon il va s'ouvrir et l'onlay se désceller....et surtout colle sous DIGUE!!!


alhoun

19/02/2005 à 23h52

justement, la digue, tu la fixe sur la dent postérieure, et tu mets ta matrice comme si de rien n'était. pour le reste, je partage l'avis de jeff.


Avatar eex0qq - Eugenol
Pépé

20/02/2005 à 00h07

Merci Jeff (euh! Steph) pour tes indications, avec quoi colles-tu ?
Alhoun tu veux dire le crampon sur 17 ? j'essaierai.


alhoun

20/02/2005 à 00h08

Alhoun tu veux dire le crampon sur 17?
oui, c'est ça.


Squash u44zd8 - Eugenol
steph

20/02/2005 à 12h15

Je colle au variolink II, choix de teinte et de fluidité, élimination des excès facile...
Bon 3 cas de pulpites suite au collage, mais sur des dizaines et dizaines de cas (pas le chiffre en tête)!!!
Signé un jeff refoulé.


marc

20/02/2005 à 15h30

Pour que la mise de dépouille de la cavité d'onlay ne soit pas trop délabrante, je fais un verre ionomère qui me permet de combler certaines contre dépouilles et également de resituer ma limite en supra gingivale.
Le plus délicat , c'est de bien ajuster la matrice pour que le joint CVI/dent soit correct.
je ne met pas la digue pour obturer au CVI car la matrice bien plaquée me semble efficace et vu que l'on est sous gingival, la feuille remonte et gêne parfois.Il me semble qu'un CVI est plus tolèrent d'un point de vue manip qu'un composite.
je remplit ma cavité au 3/4 et je retaille dans le cvi avec une fraise de dépouille.
Résultat : fond plat , limite supra gingivale, contre dépouilles comblées si besoin.
Ensuite, je colle avec la digue.
avant, je clampais plusieurs dents et c'était parfois galère pour passer la feuille entre les points de contact. Maintenant, je clampe la dent concernée et j'utilise des feuilles de digue trés fines qui ne gênent plus pour insérer l'onlay. (ultradent couleur bleue, digue fabuleuse en restau et endo).
j'ai essayé récement le rely X unicem pour coller (ou sceller)sans digue et c'est assez satisfaisant niveau manipulation et élimination des excès.
j'attends les avis des spécialistes pour voir ce que vous en pensez.


alhoun

20/02/2005 à 15h34

les feuilles fines, je les utilise pour coller individuellement des facettes. en postérieur, je préfère mesurer mon point de contact avec précision. n'abandonne pas la digue.


dentifrix

20/02/2005 à 15h37

marc demandait l' avis d' un specialsite alhoun mais c gentil de ta part :)


12