Cookie Consent byPrivacyPolicies.comSi j'avais un marteau ... ho ..ho - Eugenol

Si j'avais un marteau ... ho ..ho

Hiboux72

29/09/2015 à 18h37

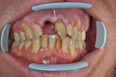
Ne jamais provoquer quelqu'un qui tient un marteau dans sa main !

P1010886 zzr2nm - Eugenol
P1010887 vfdhu7 - Eugenol

sousou

29/09/2015 à 18h58

Putain j'ai mal pour lui juste en regardant la photo.


olivier

29/09/2015 à 19h20

ne jamais faire chier Thor .....


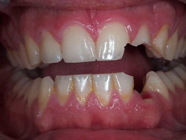
Dsc05680 medium aphmfg - Eugenol
BasArtDentaire

29/09/2015 à 19h31

La lèvre doit être dans un bel état.


Aube lwzlzd - Eugenol
Collaverdey

29/09/2015 à 19h43

La carrosserie doit avoir morflé aussi ! Non ?


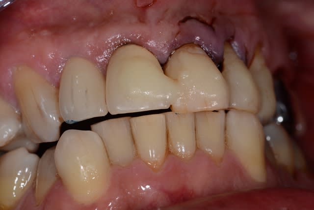
Bagheera tudzjy - Eugenol
bagheerra

29/09/2015 à 19h47

Et un escabeau, eau, eau, instable...

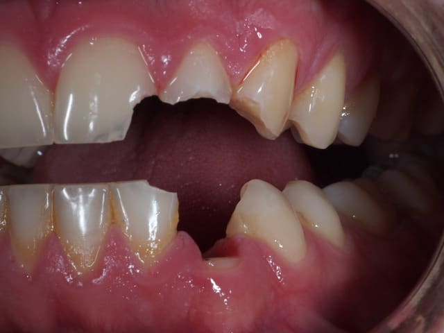
C1 cnorxk - Eugenol
C2 wgdbqh - Eugenol
Dsc 0387 kptx5p - Eugenol

Images jm2g2g - Eugenol
dr_0le

30/09/2015 à 12h42

une planche de paddle dans le museau.. fils d'une copine cet été..

--
You can't always get what you want..

Paddle1 nr0aik - Eugenol
Paddle2 x5swcs - Eugenol

dent2669

30/09/2015 à 13h09

Coup de coude pendant un match de handball...

Trauma nhdzdi - Eugenol

17082007 synnio - Eugenol
kalif

01/10/2015 à 11h09

rixe routière

2014 06 15 21.19 - Eugenol
2014 06 15 21.30 - Eugenol
2014 06 15 21.46 - Eugenol

benswich

01/10/2015 à 14h03

Kalif, je t'avais averti, fallait pas me doubler.


17082007 synnio - Eugenol
kalif

01/10/2015 à 14h30

ça m'a décoiffé les poils de la moustache. major

2015 04 28 09.14 - Eugenol