Cookie Consent byPrivacyPolicies.comqui y retourne? - Eugenol

qui y retourne?

JUAN

05/10/2015 à 17h16

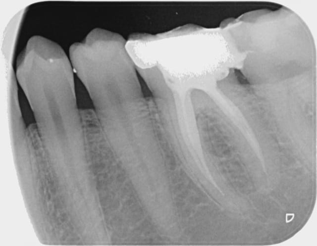
En ce moment j'ai pas vraiment le feu sacré en endo. que pensez vous de cette 36? Est ce que je retourne dans les canaux distaux pour gagner le dernier millimètre? vu que c'est un pote j'ai pas trop le choix...

36 snjozv - Eugenol

Spix4ever

05/10/2015 à 19h04

Perso je n'y retournerai que si il y a une sympto.
Si RAS à surveiller.

Ne pas réveiller l'endo qui dort !


Capture d  cran 2015 03 12 12.28 - Eugenol
chicot29

05/10/2015 à 19h39

Des fois on ne se pose pas de questions. Les 2 mésiaux hard, un R 25 de pété en mv mais j'y étais presque !
Enfin soupçon de Y en retournant dans le ml j'ai entendu crouic crouic ! -))))

En manuel le cathétérisme ( lime 10) ca ne marche pas.

Capture d e cran 2015 10 05 17.33 - Eugenol

JUAN

05/10/2015 à 19h57

scuse moi spix4ever mais je précise que l'endo est fraiche c'est moi qui l'ai faite la semaine dernière du coup je veux pas attendre la sympto je perds toujours à ce jeu là


Capture d  cran 2015 03 12 12.28 - Eugenol
chicot29

05/10/2015 à 20h04

Radios cones en place, ciment en place et finale après thermo compaction, toujours.

Pourquoi as tu terminé alors ?


tictac

05/10/2015 à 20h07

"En manuel le cathétérisme ( lime 10) ca ne marche pas."

Pourquoi t'achetes pas des vrais limes de catheterisme chicot genre pathfile, oneg, proglider...Le s1 n'est pas top pour ca


Spix4ever

05/10/2015 à 20h10

tu as instrumenté jusqu'au bout et c'est juste l'obtu qui a foiré ou est ce que tu n'as jamais atteint le bout?

Si t'as instrumenté jusqu'au bout bien irrigué et que ce sont justes tes cônes de gutta qui te l'ont fait à l'envers (ça m'arrive aussi des fois, radio maitre cône impec, radio final il manque 1mm...) ben le pronostique reste bon et retrouver ta longueur sera facile si tu veux retraiter.

Si t'as pas réussi à aller au bout la première fois, ça risque pas d'être plus simple en retraitant... mais tu peux tjrs essayé si t'as la patate :D
Au pire il reste la résec :D


Capture d  cran 2015 03 12 12.28 - Eugenol
chicot29

05/10/2015 à 20h38

Sur une molaire du bas c'est simple re D. -))))