Cookie Consent byPrivacyPolicies.comles tontons flingueurs - Eugenol

les tontons flingueurs

elje

09/10/2015 à 15h57

RookMoot écrivait:
------------------
> Il faut donc que l'on croit que vous souhaitez vous associer dans la négociation
> avec un syndicat qui pense que la FSDL est un "syndicat d'opposition,
> contestataire sans projet ni programme qui se limite à exploiter le légitime
> mécontentement des consoeurs et confrères"
> tout en réglant vos compte par tous les média possibles avec le syndicat
> majoritaire ?
>
>
> Vous passez tous, aux yeux des confrères lambda, "couilles molles" beaucoup trop
> de votre précieux temps à vous bouffer le nez en public et à vous tirer dans les
> pattes plutôt qu'à tenter de faire un front commun face à l'adversité.
> Qu'il y ait des dissensions dans votre façon de voir l'avenir, cela est
> compréhensible et sain, mais comme dans un couple où il est infiniment
> préférable d'éviter de régler ses comptes devant les enfants, on aimerait tous
> que vous donniez l'impression d'être unis face aux instances dirigeantes et
> leurs réformes contre lesquelles vous devez nous défendre plutôt que dilapider
> votre énergie en querelles intestines contre productives.
> Tout comme on a tous compris que le protocole MGEN-MFP est le mal incarné pour
> certains, mais il est temps de passer à autre chose et de faire avec...
>
> Je ne fais aucune distinction entre les syndicats, Patatrasse, Yobi et les
> quelques représentants restant de l'UJCD, et c'est valable sur Nonol, SoS,
> FaceBook et tweeter, tous ces médias publics où vous vous écharpez à longueur de
> temps...
>
C'est exactement ce que j'essaie de dire depuis le début de ce post mais visiblement ils continuent sur leur diatribe anti CNSD et anti confrères couilles molles qui exacerbent leur frustration de ne pas y arriver, alors que comme tu le signales ils nous démontrent tous les jours avec quelle assiduité ils se mangent le nez.
Mon quotidien professionnel est tellement loin de ce qu'ils décrivent. Et c'est aussi le cas pour la majorité des confrères , j'imagine. J'ai eu un confrere et ami hier aux téléphone , je lui ai demandé ce qu'ils pensait de ces tontons fligueurs comme je les appele. Réponse, "ouais ils sont excessifs mais ils me font marrer"Les gars, ils font marrer les confrères qui viennent sur Nonol en douce comme ils liraient les potins de Voici et Gala, pour se fendre la poire. À méditer.


Capture d  cran 2015 03 12 12.28 - Eugenol
chicot29

09/10/2015 à 16h13

barbabapat écrivait:
--------------------

> Pourquoi, rien ne l'as invité à faire une surveillance régulière de ses dents.

Parce que elles ont plus de chance de rester sur l'arcade sans soins que soignées avec des soins opposables à un tarif de merde. C'est le syndrome iatrogène conventionnel. -))))


P2eqdh3csim6s7nb09ktdq3e7ev8 - Eugenol
barbabapat

09/10/2015 à 16h47

Pour ce qui est de la possibilité de manipuler une radio, un confrère c'est fait prendre au début de la généralisation de la RVG.

Modification;

" l'affaire est assez vielle puisque cela avait été découvert lors des demandes d'entente préalable par le fait que les radios étaient trop parfaite tout le temps ce qui avait éveillé à l'époque les dentistes conseils."




Quand à modifier un RAW sans que cela se voit, regarde du coté du photojournalisme et des prix de photographie de presse. C’était tellement compliqué à découvrir qu'au final il a fallut tolérer les modifications.

Canon avait produit un appareil photos pour l'expertise judiciaire qui devait interdire les modifications. La protection n'as pas duré plus d'une année sur un matériel pro et même pas vendu à des amateurs.


RookMoot

09/10/2015 à 17h29

Enki écrivait:
--------------

> "vu" comme dans une vision ? dans un rêve ?

Le projet initial de la CCAM était un voeu pieux, dénaturée au fil des années.
>
>
> "Et ne nous voilons pas la face, notre exercice est orienté par la CCAM. "
>
> Ca n'est ni la CCAM ni la NGAP, ni la CNSD ni la FSDL qui te dicte tes actes. Si
> ?
> La CCAM me dicte le prix d'une endo, pas la nécessité de la faire. Le prix peut
> éventuellement avoir une influence sur la méthode, même pas la qualité (Chicot29
> nous le prouve presque tous les jours).
>
> "Le jour où la sécu rembourse la pose de la digue et octroie un bonus pour le
> "puff" à l'apex la France deviendra le leader de l'endodontie...(avec peut être
> une augmentation du nombre de licences Photoshop...)"
>
> Là encore ce n'est pas la CCAM qui impose au praticien de faire de la merde,
> c'est lui qui choisi.
>

Certes sur Nonol où la dentisterie française brille par sa qualité
, mais les statistiques nationales ne semblent pas représenter ce microcosme d'excellence dont tu fais partie, comme moi cela va sans dire...

> La référence à photoshop est quant à elle parfaitement injurieuse et fausse.
> Je n'ai jamais entendu parler d'un confrère qui aurait manipulé une radio. C'est
> plus compliqué que ça en à l'air et, en cas de contrôle, le fichier ne serait
> plus "raw". Si ça c'est fait ce n'est le fait que d'un ou deux margoulins.
> Laissez penser que ça se généraliserait revient à dire que les chir-dent sont
> malhonnêtes par nature....sans commentaire.
>

Effectivement sans commentaire : rassure moi, tu en fais exprès ou c'est naturel.


Capture d  cran 2015 03 12 12.28 - Eugenol
chicot29

09/10/2015 à 17h53

Enki écrivait:
--------------


> Ca n'est ni la CCAM ni la NGAP, ni la CNSD ni la FSDL qui te dicte tes actes. Si
> ?
> La CCAM me dicte le prix d'une endo, pas la nécessité de la faire. Le prix peut
> éventuellement avoir une influence sur la méthode, même pas la qualité (Chicot29
> nous le prouve presque tous les jours).

Ah ? On peut faire des inlays cores systématiquement alors pas de soucis. -)))))
Et vu que mes endos sont de qualité je peux donc y aller gaiement ! -))))
C'est pareil avec les radios ? on peut y aller gaiement ?
Toi tu n'es pas encore passé au trapèze, les CDC s'appuient sur les recommandations HAS que ce soit en radios, en SC 33 VS inlay core mais bizarrement pas encore pour couronne VS onlay ou bridge VS implant car comme tu le sais il faut toujours privilégier l'acte le moins délabrant. Ils attendent que le "vieux CNSD" ait pris sa retraite ou quoi ? -))))



> "Le jour où la sécu rembourse la pose de la digue et octroie un bonus pour le
> "puff" à l'apex la France deviendra le leader de l'endodontie...(avec peut être
> une augmentation du nombre de licences Photoshop...)"
> Là encore ce n'est pas la CCAM qui impose au praticien de faire de la merde,
> c'est lui qui choisi.

Ben voyons. Ils sont trop cons à la sécu, ils devraient mettre tous les actes opposables à 0 comme ca ils seraient sur de ne pas avoir de la merde gratuite à rembourser vu que tout le monde se dé conventionnerait. Cependant ils laissent juste ce qui faut de longueur de laisse actes opposables sous rémunérés côtoyant des actes ED, HN, pour que ca ne soit pas le cas.
En outre vu les tonnes de merdes d'endos qui sont passées à travers les controles dentaires à l'époque des DEP ( ou le nombre de couples molaires et prémolaires et la présence d'une antagoniste étaient plus important que la qualité des endos) , on peut émettre de sérieux doutes quand à l'intransigeance qualitative de la sécu : c'est simple elle n'en a rien à foutre, les roumains peuvent se pointer ils vont etre comme des poissons dans l'eau, ca va etre un carnage.
Et vu que cette méthode de controle des honoraires a tellement bien marché au niveau qualitatif, les assureurs complémentaires s'y mettent aussi sur l'ED et le HN via leurs réseaux de soins.

Ca va forcément bien se passer.


Tumblr nbpd8ntwip1rsb3deo1 1280 hyinig - Eugenol
Enki

09/10/2015 à 18h21

"Effectivement sans commentaire : rassure moi, tu en fais exprès ou c'est naturel."

Non, je te rassure, c'est naturel. Je suis dyslexique-dysphonétique. C'est un calvaire depuis que j'ai 6 ans. Je fais déjà des efforts prodigieux pour vous proposer des textes lisibles. Ceci dit j'adore cet argument dans une discussion sur un forum, ça donne vraiment du poids à une démonstration.



"Ah ? On peut faire des inlays cores systématiquement alors pas de soucis. -)))))
Et vu que mes endos sont de qualité je peux donc y aller gaiement ! -)))).........."


Sois tu ne lis mal ce que j'écris, sois tu ne le lis même pas. Alors je vais répéter :

Le fait que l'endo soit mal remboursée ne t'incites pas à faire de la merde. Je me trompe ?

Ce n'est pas la CCAM qui te fais choisir l'endo plutôt que le coiffage. Me gour-je ?

C'est tout ce que je veux dire.


P2eqdh3csim6s7nb09ktdq3e7ev8 - Eugenol
barbabapat

09/10/2015 à 19h20

Enki écrivait:
--------------

>
> Le fait que l'endo soit mal remboursée ne t'incites pas à faire de la merde. Je
> me trompe ?
>
> Ce n'est pas la CCAM qui te fais choisir l'endo plutôt que le coiffage. Me
> gour-je ?


Oui tu te goure puisque tu confond estime et respect professionnel des praticiens avec respect de la sécu envers eux par l'indigence des tarifs de réalisation des actes.

Ce qui fait faire de la qualité, c'est le respect par la sécu des praticiens. Et ce respect passe par la possibilité de vivre correctement de leur pratique.

Arès si on va vers de la tarification au volume, puisque tous les modes de tarification autres qu'à l'acte ont toujours au final un rapport avec un volume d'acte à réaliser; le coiffage ne sera pas privilégié. Et puisqu'il faudra faire du volume, les deux dents seront dévitalisées et couronnées.

Mais je serai alors un saint puisqu'il n'y aura plus de reste à charge pour le patient.

Premo pp8aee - Eugenol

RookMoot

09/10/2015 à 19h53

Enki écrivait:
--------------
> "Effectivement sans commentaire : rassure moi, tu en fais exprès ou c'est
> naturel."
>
> Non, je te rassure, c'est naturel. Je suis dyslexique-dysphonétique. C'est un
> calvaire depuis que j'ai 6 ans. Je fais déjà des efforts prodigieux pour vous
> proposer des textes lisibles. Ceci dit j'adore cet argument dans une discussion
> sur un forum, ça donne vraiment du poids à une démonstration.
>

Ce n'est pas tant ta dyslexie que ton absence totale de 2° degré au sujet de ce qui n'était qu'une boutade faisant référence à certaines conférences aux photos et radio trop parfaites.
Tu as le droit de ne pas apprécier la boutade sans pour autant passer pour un pisse froid mal luné m'accusant d'injurier l'ensemble de la profession...

Mais tu fais bien de me rappeler les travers d'Eugénol,..


Tumblr nbpd8ntwip1rsb3deo1 1280 hyinig - Eugenol
Enki

09/10/2015 à 20h26

D'accord, désolé, je n'avais pas saisi l'humour. Il faut dire que l'absence complète de smileys sur le forum ne facilite pas les choses.

Il y a une certaine propension sur Eugénol à entretenir une image déplorable du dentiste : qui travaille comme un porc, ne s’intéresse qu'à l'argent, mutile ses patients pour favoriser les actes remboursés...

De même il y a une certaine naïveté à penser que les soins seraient mieux réaliser sans contrôle, juste en les payant mieux.

Sincèrement, je n'avais pas vu le second degré dans ton post et pour le coup je te rejoins sur les conférences ou ça ne saigne jamais, l'os est toujours parfait, la teinte de la céram impeccable....


Capture d  cran 2015 03 12 12.28 - Eugenol
chicot29

09/10/2015 à 21h05

Enki écrivait:
--------------

> Ce n'est pas la CCAM qui te fais choisir l'endo plutôt que le coiffage. Me
> gour-je ?
>
> C'est tout ce que je veux dire.

Bien sur bien sur.

Le fait que la CCAM autorise de bousiller un 2 ième plier sain pour faire un bridge au lieu d'un implant pas remboursé ca n'incite pas à faire un bridge non plus ?
Tu sais que des systèmes d'empreintes 3D ont été spécialement adaptés pour les inlay core pour la France ?


P2eqdh3csim6s7nb09ktdq3e7ev8 - Eugenol
barbabapat

09/10/2015 à 21h15

Enki écrivait:
--------------

>
> Il y a une certaine propension sur Eugénol à entretenir une image déplorable du
> dentiste : qui travaille comme un porc, ne s’intéresse qu'à l'argent, mutile
> ses patients pour favoriser les actes remboursés...
>
> De même il y a une certaine naïveté à penser que les soins seraient mieux
> réaliser sans contrôle, juste en les payant mieux.
>


Le problème enki, c'est que la qualité, tu la fais pour toi principalement. Car nombre de patients ne la voient pas et que pour ce qui est des contrôles, c'est plus la statistique qui compte devant la qualité. Pour rappel, ce qui a choqué les dentistes conseil dans l'affaire que je te cite, c'est la trop grande qualité des endos sur les radios envoyées.

Après pour ce qui est de décrédibiliser les dentistes dans les médias, il suffit de voir les interventions d'une certaine C M dans la presse pour se poser des questions sur le travail d'un syndicat dentaire.

Enfin, continuer à faire croire une absurdité comme faire travailler les dentistes à perte avec des contrôles inefficaces est sans danger pour les patients ne sert ni les dentistes ni les patients.
Revaloriser les tarifs de soins, c'est bénéfique en premier lieu pour les patients qui ont le droit à ce que tout soit mis en œuvre pour qu'ils soient soignés correctement. Et non au rabais ou au kilo.


Capture d  cran 2015 03 12 12.28 - Eugenol
chicot29

09/10/2015 à 21h17

Enki écrivait:
--------------

> Il y a une certaine propension sur Eugénol à entretenir une image déplorable du
> dentiste : qui travaille comme un porc, ne s’intéresse qu'à l'argent, mutile
> ses patients pour favoriser les actes remboursés...

Moi je ne m'intéresse pas à l'argent je fais mes onlays ceram au tarif sécu. Tu me crois ? -)))

> De même il y a une certaine naïveté à penser que les soins seraient mieux
> réaliser sans contrôle, juste en les payant mieux.


Quelle image déplorable tu as de tes confrères ! -)))))
Et en les payant moins bien c'est pareil alors ? Si le directeur de la sécu te lit il va vite comprendre qu'il y a un gisement d'économies à faire dans le dentaire. C'est comme ca que tu entamerais des négociations avec la sécu, après un préambule auto satisfait,sur la moyenne de 90 000 euros de revenus de ta profession ?? -)))
je pense que ca te ferait chier les controles qualité, me gour-je ? -))))

Tu sais bien que si tu ne te fais pas payer ce que tu vaux tu vas finir par valoir ce qu'on te paie. Finalement tu es devenu un fonctionnaire de la sécu....... sans t'en apercevoir. .


P2eqdh3csim6s7nb09ktdq3e7ev8 - Eugenol
barbabapat

10/10/2015 à 13h27

Il est quand même bizarre qu'en ne récompensant pas la qualité par des tarifs permettant la réalisation de soins corrects, on ne se retrouve pas finalement avec des praticiens totalement démotivés par les soins qui multiplient les pains comme jésus.

Jesus wtxes8 - Eugenol

Capture d  cran 2015 03 12 12.28 - Eugenol
chicot29

10/10/2015 à 18h11

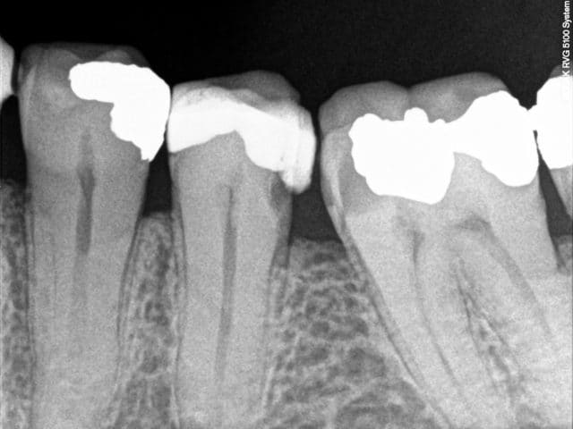
C'est très correct ca je trouve, j'ai beaucoup mieux en stock ! -)))


tictac

10/10/2015 à 19h51

Ce sont pas des soins particulierement immonde. Et si ca recidive, on peut se dire aussi que le patient doit avoir une hygiene degueu


P2eqdh3csim6s7nb09ktdq3e7ev8 - Eugenol
barbabapat

11/10/2015 à 00h01

tictac écrivait:
----------------
> Ce sont pas des soins particulierement immonde. Et si ca recidive, on peut se
> dire aussi que le patient doit avoir une hygiene degueu

Pas si degeux que ca. La patiente CMU qui à suivie elle avait un léger problème avec l'utilisation d'une brosse à dent et réellement un terrain polycarieux lié à l’hygiène.

Mais bon un petit becquet laissée par là à fait sont effet et a permis la multiplication des lésions carieuses.

.


1...45