Cookie Consent byPrivacyPolicies.combridge et diastème - Eugenol

bridge et diastème

burnax

08/10/2015 à 20h54

Bonjour, j'ai extrait une 21 chez un patient cmu présentant un diastème.La 11 et 22 ,avec des bonnes racines, sont dévitalisées + béance.L'hygiène est nickel.

L'implant n'est pas envisageable.

J'imaginai, je sais , peut-être farfelu, l'idée suivant:un bridge avec appui sur 11, une barre palatine( le pb serait l'hygiène), qui contournerai la papille et couronner la 22.

Ne crier pas trop fort , ce n'est qu'une idée!!!

merci


Morgan ztbb1b - Eugenol
BONNET jc

08/10/2015 à 21h04

2 problèmes : carie future sur la 11 et résistance de la 22. Les inc latérales sont très fragiles. Pourquoi ne pas couronner la 11 et faire ton attelle palatine entre 21 et 11?


burnax

08/10/2015 à 22h53

Mauvaise description de ma part.Pardon
Quand je dis ,appui sur 11 , je parlai de couronner la 11, bras palatin, qui contoureneraila papille et couronne sur 22.


Photo pluton1b h9n4ea - Eugenol
pluton

09/10/2015 à 00h05

amha:
- çà sera moche
- problèmes mécaniques
- çà sera moche
- problèmes pour l'hygiène
- çà sera moche
- c'est "irréversible"

bref: pas d'implant possible actuellement? oui mais dans un an, deux ans....

donc: stellite, pris en charge, esthétique correcte du moins pas pire, et il te sera possible de passer à l'implant le moment venu

enfin c'est comme çà que je vois les choses...


BucaR

09/10/2015 à 00h32

.


Photo pluton1b h9n4ea - Eugenol
pluton

09/10/2015 à 00h36

BucaR écrivait:
---------------
si l'occlusion est favorable avec pas trop de recouvrement,
> je ferais un bridge en extension 22-21.

sauf qu'en CCAM, le bridge en extension....nada...

> Dans le cas contraire, un stellite.

retour case départ...;-)


6szjws718sv1jksw54v4mpj3a6cu - Eugenol
vulpi

09/10/2015 à 00h41

pluton écrivait:
----------------
> amha:
> - çà sera moche
> - problèmes mécaniques
> - çà sera moche
> - problèmes pour l'hygiène
> - çà sera moche
> - c'est "irréversible"
>
> bref: pas d'implant possible actuellement? oui mais dans un an, deux ans....
>
> donc: stellite, pris en charge, esthétique correcte du moins pas pire, et il te
> sera possible de passer à l'implant le moment venu
>
> enfin c'est comme çà que je vois les choses...

Et oui, diastème des centrales sup c'est PAP ou implant.


Mentos

09/10/2015 à 00h57

Bonjour ! Ne serait il pas possible de faire un bridge collé avec l'intermédiaire idéal puis de l'ortho pour réduire l'espace, et ensuite faire le bridge
A voir avec la motivation du patient ?


Blocperso talon jer3sl - Eugenol
mrquentin

09/10/2015 à 01h02

tu fais une ailette sur 22. c'est tout. la 21 est en extention sur la simple ailette. marche très bien, faut juste bien coller.

http://www.lefildentaire.com/images/stories/articles2/clinic-step-by-step-bridge/clinic-step-by-step-bridge.pdf


Photo pluton1b h9n4ea - Eugenol
pluton

09/10/2015 à 01h10

ortho adulte et CMU....;-))
c'est un festival ce soir....;-)

et puis il ne faut pas oublier: il y a CMU et CMU...

certain n'ont pas le sou...c'est clair, donc c'est PAP, c'est pris en charge et tu verras, ils sont content...

d'autres ont la CMU, mais c'est pas pareil, là ils ont les moyens car officiellement ils ne gagnent pas d'argent, mais en vrai, ils gagnent mieux leur vie que toi...j'en ai eu un cette année comme çà, CMU, venant des pays de l'Est, mais avec le VW Touareg tout neuf full option sur le parking...
ah bah lui, il voulait que du fixe sur implants...
il baragouinait pas beaucoup de mots en français, mais le langage de la liasse de billets en rouleau est universel...;-))


carident

09/10/2015 à 01h12

Tu fais un bridge ccm 11 à 22, avec un diastème factice en céramique noir... façon Didier l'embrouille :-)))

Didier l embrouille bmewym - Eugenol

merlin31000

09/10/2015 à 10h24

Je t'ai envoyé un mail privé

burnax écrivait:
----------------
> Bonjour, j'ai extrait une 21 chez un patient cmu présentant un diastème.La 11 et
> 22 ,avec des bonnes racines, sont dévitalisées + béance.L'hygiène est nickel.
>
> L'implant n'est pas envisageable.
>
> J'imaginai, je sais , peut-être farfelu, l'idée suivant:un bridge avec appui sur
> 11, une barre palatine( le pb serait l'hygiène), qui contournerai la papille et
> couronner la 22.
>
> Ne crier pas trop fort , ce n'est qu'une idée!!!
>
> merci


merlin31000

09/10/2015 à 10h24

Je t'ai envoyé un mail privé

burnax écrivait:
----------------
> Bonjour, j'ai extrait une 21 chez un patient cmu présentant un diastème.La 11 et
> 22 ,avec des bonnes racines, sont dévitalisées + béance.L'hygiène est nickel.
>
> L'implant n'est pas envisageable.
>
> J'imaginai, je sais , peut-être farfelu, l'idée suivant:un bridge avec appui sur
> 11, une barre palatine( le pb serait l'hygiène), qui contournerai la papille et
> couronner la 22.
>
> Ne crier pas trop fort , ce n'est qu'une idée!!!
>
> merci


Kon nx3ojp - Eugenol
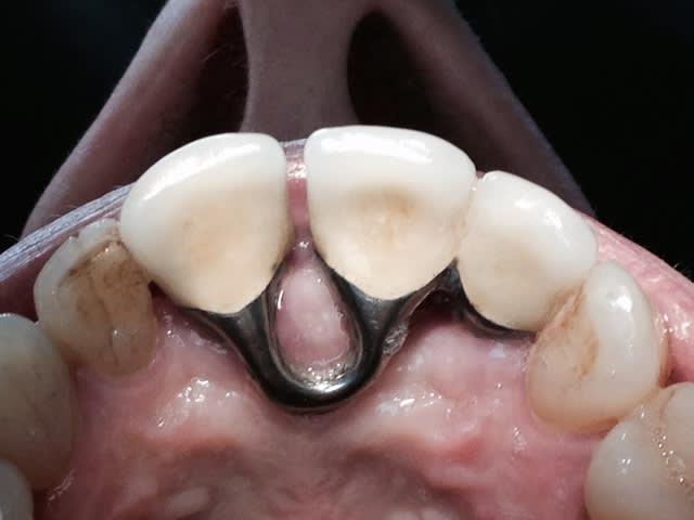
Kon

09/10/2015 à 11h18

j'ai vu exactement ce que tu décrit pas plus tard qu'hier.
ça avait 20 ans. 11 et 21 couronnées et solidarisées par une grosse boucle en métal coulée qui passe derrière la papille en palatin.
je crois que je revois la patiente bientôt je te prendrai une photo :)


Bbpanda vyfmu4 - Eugenol
kung fu panda

09/10/2015 à 11h51

Kon écrivait:
-------------
> j'ai vu exactement ce que tu décrit pas plus tard qu'hier.
> ça avait 20 ans. 11 et 21 couronnées et solidarisées par une grosse boucle en
> métal coulée qui passe derrière la papille en palatin.

Tout pareil, j'ai vu ça sur un patient une fois : en place depuis presque 30 ans. La boucle ressemble à une barre de stellite.

Comme quoi...


Index vakr2r - Eugenol
pgc

10/10/2015 à 13h43

J'en ai vu un moi aussi avec une grosse boucle métallique en palatin. C'était un travail déjà ancien et qui fonctionnait très bien. Pas d'inflammation, pas de préjudice esthétique.

--
Ne met pas tes doigts dans la Convention! Tu risques de te faire pincer très fort.


Kon nx3ojp - Eugenol
Kon

15/10/2015 à 18h09

voila

Bridge b3ibux - Eugenol