Cookie Consent byPrivacyPolicies.comPlancher 46 atteint ou pas? - Eugenol

Plancher 46 atteint ou pas?

mgc

13/10/2015 à 18h37

Bonjour,
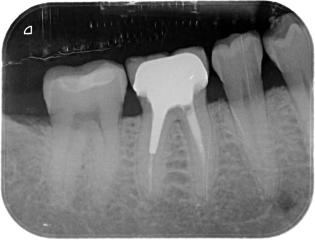
Mon patient se plaint de douleur intermittente au niveau de la 46. pas d'abcès pour l'instant .
Je soupçonne un problème au niveau du plancher.
Etes-vous d'accord avec moi?
Comment abordez vous la dépose d'une telle coiffe qui semble être une Richmond ?
Merci pour vos avis ...

3462 x 2015 08 28 11 10 45 3 fari03 - Eugenol

lachmar

13/10/2015 à 19h20



pas beaucoup d'éléments

une douleur intermittente signe en général une pulpite et non pas un problème paro/desmodontal (il y a une légère atteinte de la furcation)

fais des tests thermiques un peu partout et a la percussion

maintenant on ne peut pas ecarter un canal oublié : fais des radios en incidence obliques


JUAN

13/10/2015 à 19h22

pour moi il doit y avoir un bourrage entre 45 et 46 vu que le point de contact est inexistant. il a mal et quand la bouffe part ça va mieux. Ton plancher est nickel.
ps: pense à changer ton capteur il est rayé...


Morgan ztbb1b - Eugenol
BONNET jc

13/10/2015 à 19h25

Pour la dépose: Anesthésie pour le confort, fraise(s) trans métal et tu coupes au milieu. Quelques fois, avec les vibrations, cela sort tout seul.


paradoxe

13/10/2015 à 19h36

A la radio, ya un truc pas net.
ta question est "est-ce bien cela qui gêne ?"
Je crois que personne ne le sait d'avance.
Pour la dépose, comme Bonnet JC.
Préviens bien ta patiente que ça peux durer 1 heure ou 2 séances, et que c'est pas simple, et qu'il n'y a aucune garantie de guérison .


eusebius

13/10/2015 à 19h57

jamais de bourrage entre 45/46?

tu l'as constaté au cabinet?


Morgan ztbb1b - Eugenol
BONNET jc

13/10/2015 à 20h01

paradoxe écrivait:
------------------
> A la radio, ya un truc pas net.
> ta question est "est-ce bien cela qui gêne ?"
> Je crois que personne ne le sait d'avance.
> Pour la dépose, comme Bonnet JC.
> Préviens bien ta patiente que ça peux durer 1 heure ou 2 séances, et que c'est
> pas simple, et qu'il n'y a aucune garantie de guérison .

Ps: la dépose doit se faire en 1 séance car faire repartir ta patiente avec un moignon coupé en 2, c'est pas le top, car en général c'est coupant. Moi, je dis aux patients" quand je commence, je finis ,prévoyez 1h130". En général c'est plus rapide. Prévois plusieurs fraises pour aller vite.


lachmar

13/10/2015 à 20h48




avant d'indiquer la dépose il faut faire un diagnostic

pour moi ca ressemble à une pulpite : canal oublié ou 47 sous compo


Morgan ztbb1b - Eugenol
BONNET jc

13/10/2015 à 20h55

lachmar écrivait:
-----------------
>
>
>
> avant d'indiquer la dépose il faut faire un diagnostic
>
> pour moi ca ressemble à une pulpite : canal oublié ou 47 sous compo
...et ta bio, tu la fait à travers la couronne?...


paradoxe

13/10/2015 à 20h57

BONNET jc écrivait:
-------------------
> prévoyez 1h130".
euh.. 1H130" , c'est bien 3H10mn ? ;-)



Morgan ztbb1b - Eugenol
BONNET jc

13/10/2015 à 21h44

1h30, cela devrait suffire!


Blocperso talon jer3sl - Eugenol
mrquentin

13/10/2015 à 22h58

je suis d'accord avec toi, il y a, pour moi, une grosse reprise de carie au niveau du plancher. Mais ce n'est pas l'origine des douleurs


lachmar

13/10/2015 à 22h58

BONNET jc écrivait:
> ...et ta bio, tu la fait à travers la couronne?...

pourquoi être tout de suite désagréable ? rien ne dit que c'est la 46


Avatar eugenol pe0ymx - Eugenol
nicklebenou

13/10/2015 à 23h37

lachmar écrivait:
-----------------
>
>
>
> avant d'indiquer la dépose il faut faire un diagnostic
>
> pour moi ca ressemble à une pulpite : canal oublié ou 47 sous compo

lachmar a raison. on a aucun diagnostic ici...douleur intermittente..
sérieusement qui peut faire un diagnostic par rapport à ça... moi je ne peux pas.
test de sensiblité sur la 5 et 7. vérifier qu'il n'y a pas un syndrôme du septum entre la 5 et la 6 à cause du point de contact inexistant.
faire une 2 ème incidence car on ne voit la qualité du traitement des canaux mésiaux. il faut aussi faire des tests de percussion sur la dent causale, un test de sondage parodontal.
déjà avec ces infos là on en saura sûrement plus...


carident

14/10/2015 à 00h21

mrquentin écrivait:
-------------------
> je suis d'accord avec toi, il y a, pour moi, une grosse reprise de carie au
> niveau du plancher. Mais ce n'est pas l'origine des douleurs

il n'y a pas de reprise carieuse au niveau du plancher... Ce plancher n'a rien! Sur cette radio, c'est le niveau osseux qui donne à la dentine susjacente un aspect plus sombre que la dentine sous-jacente... Aucune carie, ni atteinte de la furcation!

Par contre le traitement canalaire m'a l'air insuffisant, et l'on peut distinguer une image radioclaire au niveau des racines M et D...

Il faut bien sûre faire des tests complémentaire afin de déterminer la dent causale et un diagnostic pour cette douleur intermittente...


Tjhpfpw1xwx56upo0wvm oxnhwm - Eugenol
CoffeeCooper

14/10/2015 à 00h31

de quand date grosso modo le traitement ? et à quel moment les douleurs sont-elles apparues ? As-tu fait un sondage parodontal ?


Avatar eugenol pe0ymx - Eugenol
nicklebenou

14/10/2015 à 00h36

carident écrivait:
------------------
> mrquentin écrivait:
> -------------------
> > je suis d'accord avec toi, il y a, pour moi, une grosse reprise de carie au
> > niveau du plancher. Mais ce n'est pas l'origine des douleurs
>
> il n'y a pas de reprise carieuse au niveau du plancher... Ce plancher n'a rien!
> Sur cette radio, c'est le niveau osseux qui donne à la dentine susjacente un
> aspect plus sombre que la dentine sous-jacente... Aucune carie, ni atteinte de
> la furcation!
>
> Par contre le traitement canalaire m'a l'air insuffisant, et l'on peut
> distinguer une image radioclaire au niveau des racines M et D...
>
> Il faut bien sûre faire des tests complémentaire afin de déterminer la dent
> causale et un diagnostic pour cette douleur intermittente...


tout à fait d'accord sur la non atteinte de la furcation d'après la radio mais juste la superposition osseuse.


Sierra Tango

14/10/2015 à 04h35

Pour moi, mais je me trompe peut etre ; il n'y a sans doute rien d'autre qu'un bourrage alimentaire entre 45/46. Ton plancher n'a rien, l'endo est nettement au dessus de la moyenne et les tissus durs adjacents semblent sains. La couronne a ete plutot bien realisee, avec des limites sans debordements, bref, moi, je ne toucherai pas ce truc la ! Encore que si les symptomes sont dus a un bourrage, demonter tout ce bin's va effectivement soulager ! ;-)
Un bourrage, ca a l'air bete, mais ca peut vraiment faire mal. J'ai eu moi-meme un petit truc coince entre ma 26/27 le mois dernier, et ca m'a cause une gene certaine, qui, si j'avais ete un patient lambda, m'aurait peut etre pousse a consulter et pourtant, je peux te dire qu'il n'y avait rien d'autre qu'un peu de debris partis au fil.
Bref, fil, brossette et brossage soigneux et ensuite, penser a comment ameliorer ce point de contact, ce qui n'est pas forcement le plus simple a realiser parfaitement...


Vw campersurfvan bmnk1q - Eugenol
enlaye

14/10/2015 à 04h55

Pas d affolo sur le tango comme dirait sierra .
Bien sur douleur desmodontale . points de contacts à la santé claire + certainement un pb occlusal :
Vu l epaisseur faible de ceram ca sent la sur occ
Et vu la forme des cretes proximales , il a certainement une interference .
C est quand meme bizarre une couronne entre 2dents neuves , non ?
Ben tiens tu lui fais 2 plombages devant et derrière pour refaire les poinys de contact , ca fidelise :-))))))))


lachmar

14/10/2015 à 10h35



il faut un diagnostic : tout ce que vous écrivez peut etre juste , mais ce ne sont que des hypothèses

et on ne fait pas un plan de traitement sur des hypothèses

combien de fois avez-vous reçu un patient qui vous dit "j'etais chez le dr X, il s'est tropmpé de dent , j'ai toujours aussi mal "

et bien, on s'expose à çà quand on travaille sur des hypothèses, et je ne veux pas m'exposer à çà . Quand je ne sais vraiment pas, je fais part au patient de mes doutes et je lui propose des options thérapeutiques rn fonction des hypothèses

ce que j'observe :
-douleur intermittente
-corne pulpaire distale de 46 retractée
-aspect diffus de pulpolithes dans la chambre pulpaire de 47
-canaux mésiaux très fins

et je vais sortir aussi une hypothèse : pulpite chronique sur 47 devenant subaigue


Morgan ztbb1b - Eugenol
BONNET jc

14/10/2015 à 10h49

lachmar écrivait:
-----------------
> BONNET jc écrivait:
> > ...et ta bio, tu la fait à travers la couronne?...
>
> pourquoi être tout de suite désagréable ? rien ne dit que c'est la 46
ça, c'est sur, on part du postulat que c'est la 46 qui est en cause.C'est simple à vérifier: percussion, froid, mobilité...


lachmar

14/10/2015 à 10h53

BONNET jc écrivait:
-------------------
> lachmar écrivait:
> -----------------
> > BONNET jc écrivait:
> > > ...et ta bio, tu la fait à travers la couronne?...
> >
> > pourquoi être tout de suite désagréable ? rien ne dit que c'est la 46
> ça, c'est sur, on part du postulat que c'est la 46 qui est en cause.C'est simple
> à vérifier: percussion, froid, mobilité...


"on" ne part pas du postulat .... "tu" pars du postulat que c'est 46 ... et ça ne doit pas t'autoriser à faire une telle réponse

et si ça n'est pas 46 ...; je suis sur que tu feras profil bas


Morgan ztbb1b - Eugenol
BONNET jc

14/10/2015 à 11h04

Ben, moi je lis:
Mon patient se plaint de douleur intermittente au niveau de la 46. pas d'abcès pour l'instant .
C'est sur, si tu n'es pas sur que c'est la 46 et si la douleur est intermittente, et si aucun diagnostic est évident, il faut attendre. Moi, j'ai répondu à la question: "comment enlever le pivot" pas "quel est votre diagnostic".
J'ai écrit "pour la dépose" signifiait que je répondais à la question sur la dépose, non pas que j'étais partisan de la dépose. Je me suis mal exprimé.


lachmar

14/10/2015 à 11h07

mgc écrivait:
-------------

> Je soupçonne un problème au niveau du plancher.
> Etes-vous d'accord avec moi?


cette habitude de ne lire qu'une partie du message !!!!!

tu serais pas journaliste toi pour ne citer que la partie qui t'arrange ? Pourquoi vouloir polemiquer ?

on est là pour aider notre confrère ; pas pour se tirer dessus


Vw campersurfvan bmnk1q - Eugenol
enlaye

14/10/2015 à 12h39

lachmar écrivait:
-----------------
"> ce que j'observe :
> -douleur intermittente
> -corne pulpaire distale de 46 retractée
> -aspect diffus de pulpolithes dans la chambre pulpaire de 47
> -canaux mésiaux très fins et je vais sortir aussi une hypothèse : pulpite chronique sur 47 devenant subaigue"



:-))))))))et qu'il n'y ait aucun point de contact , tu ne l'observes pas ,ça ?


12