Cookie Consent byPrivacyPolicies.comLacunes osseuses .. - Eugenol

Lacunes osseuses ..

RicoChico

15/10/2015 à 01h15

Bonjour à tous,

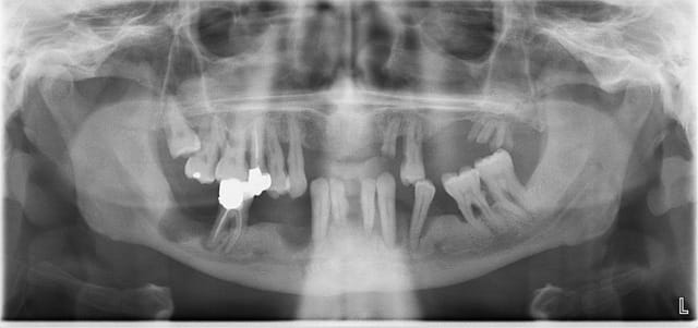
Ci-joint la pano d'un patient, 45 ans, bonne santé, fumeur, qui consulte suite à une bagarre et un choc frontal, bref, état de délabrement important comme vous pouvez le voir, j'ai deja extrait quelques restes radiculaires et dents mobiles,

Cependant je me pose des questions sur les grosses lacunes osseuses surtout en secteur 4, non douloureux, les dents de se secteur ont été extraites depuis de nombreuses années.. Je me pose des questions sur la conduite à tenir, j'ai monté un dossier pour l'adresser chez un stomato mais je ne trouve pas les causes de telles lacunes,

Je me tourne donc vers vous si vous avez déjà été confronté à un tel cas.

D'avance merci,

Mr l mlilje - Eugenol

Spix4ever

15/10/2015 à 02h46

elles ont du être extraites pk grosse paro terminale cratérisée ces dents secteur 4. (si elles ont été extraites ... pas impossible qu'elles soient tombées d'elle même...)
Donc y avait déjà de gros trou avant les exos et l'os alvéolaire ne repousse pas dans ce cas ^^


Rape p0as4f - Eugenol
rapelapente

15/10/2015 à 13h42

RicoChico écrivait:
-------------------
> Bonjour à tous,
>
> Ci-joint la pano d'un patient, 45 ans, bonne santé,

Bonne santé ? :-))


Images mg2jvu - Eugenol
zorg

20/10/2015 à 23h29

ben le cratère en 44 était comme celui de 34. Mais çà c'était avant... lol