Cookie Consent byPrivacyPolicies.comAvis concernant cette centrale - Eugenol

Avis concernant cette centrale

Chicoman

19/10/2015 à 20h59

Patient vu au cabinet en urgence suite à descellement provisoire.

Celle ci comprenait un fragment de dent vestibulaire. Donc descellement dû à fracture.

Historique de cette centrale :
Trauma il y a plus de 15 ans.

Endo. Puis traitements d'éclaircissements internes.

Puis couronne sans ancrage radiculaire.

Puis passage à provisoire suite à fracture de l'ancienne couronne.

Comme vous pouvez le voir contexte occlusal très défavorable avec la 42 en linguo-version.


La question est quoi faire de cette dent ?

Essayer de temporiser avec sa provisoire en faisant une gingivoplastie en espérant que je retrouve une limite périphérique complète le temps que le patient fasse un traitement ortho à la mandibule.

(Patient OK pour le faire ).


Si limite vestibulaire infra-osseuse: traitement de traction orthodontique de cette 11?
Option souvent évoquée mais dans les faits je n'en ai jamais vus chez aucun patient.


Ou bien implant (avec ortho préalable à la mandibule ) connaissant l'historique déjà bien conséquent de cette dent ? Mais avec toujours un risque de ne pas pouvoir prévoir la gestion de l'esthétique de cette dent.

Merci d'avance pour vos avis


Img 0273  1  en5d6f - Eugenol
Img 0275  1  zlkhsu - Eugenol
Img 0276 tbwmnj - Eugenol

FujiRock91

19/10/2015 à 21h26

En plus de l'occlusion défavorable, la hauteur de couronne clinique de cette dent semble être importante...

ça serait pas pour une antérieure de t'aurais dis implant, mais vu la finesse du parodonte en vestibulaire, ça me parait chaud d'obtenir un bon résultat esthétique avec un implant. Sauf si tu as une bonne expérience à ce niveau là.

Pourquoi ne pas tenter un tenon fibré et une provisoire, le temps de la cicatrisation de la plastie gingivale ?


paradoxe

19/10/2015 à 23h13

tenon large, cylindro-conique 2/3 à 3/4 de la racine
coiffe avec bon recouvrement du moignon en lingual, pour bloquer les forces mécanique de vestibulation.


Photo pluton1b h9n4ea - Eugenol
pluton

19/10/2015 à 23h42

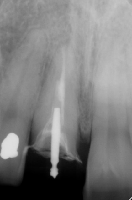
c'est quoi le petit trait noir en vestibulaire? une fêlure?

si oui=> implant


carident

20/10/2015 à 00h05

paradoxe écrivait:
------------------
> tenon large, cylindro-conique 2/3 à 3/4 de la racine
> coiffe avec bon recouvrement du moignon en lingual, pour bloquer les forces
> mécanique de vestibulation.

+1

Et tant qu'à faire, je referais peut être aussi le traitement canalaire... (l'apex ne m'a pas l'air bien obturé)

La couronne dentaire est peut être longue, mais la racine l'est aussi, et a l'air plutôt robuste!

Admettons qu'on extrait cette belle racine... Quand la couronne sur implant se descellera, ce sera quoi l'étape d'après? :-)


Smile beach jgh0a1 - Eugenol
Céramik

20/10/2015 à 00h50

Implant ou implant , à toi de voir...

--
Céramik


chipoundine

20/10/2015 à 00h52

Le cas qui sent pas bon.....

Indication pour ORTHO puis extraction / bridge Collé en cantilever sur 21 (cf tirlet / attal)


Vw campersurfvan bmnk1q - Eugenol
enlaye

20/10/2015 à 01h01

Chicoman écrivait:
------------------
" Comme vous pouvez le voir contexte occlusal très défavorable avec la 42 en linguo-version."

on s'en fout un peu de la 42 en linguo-version , ç est surtout la 41 qui est en vestibulo-version :-))
aller hop , on commence par un coup de fraise sur l'angle distal et vestibulaire de la 41 .
ç ette occlusion fait penser à un ttt d'ortho :
tout le maxillaire est trop verouillant .


Chicoman

20/10/2015 à 09h34

Merci pour vos avis j'avoue que moi aussi j'étais plutôt partant pour tenter de la conserver ;-)


olivier

20/10/2015 à 09h49

On est pas tous pour la conserver .Sur des cas comme cela si tu ne corrige pas l'occlusion tu risque d avoir des descellement a répétitions en plus il n'y a pas d'espace biologique en vestibulaire .
Tu va faire quoi ? Un inlay core , un tenon fibré ? Comment vas tu retrouver l effet férule sur toute la circonférence de la racine ? Tant de questions à te poser ...
L'implant c'est aussi assez d'os mais aussi assez de "rose"

tu peux aussi dire au patient que tu "prends le risque" avec lui de faire une couronne sur sa dent mais qu'au vu de son "jeune" age cette dernière ne sera pas éternelle et qu'il faudra envisager un implant...voila, voila


G-P

20/10/2015 à 12h33

Si tu fais une "gingivoplastie" tu auras forcément un résultat esthétique déplorable avec une ligne des collets asymétrique.

Ici, extraction et implantation immédiate, provisoire immédiate.

Si tu ne sais pas faire, adresse.


lachmar

20/10/2015 à 13h07


pour ma part je vois une fracture:fêlure vestibulaire qui regle la question