Cookie Consent byPrivacyPolicies.comcas clinique - Eugenol

cas clinique

djinn

19/02/2005 à 16h02

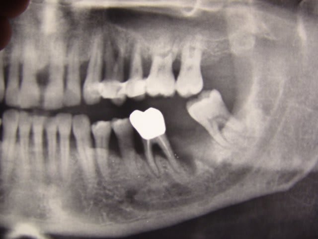
Le patient est le pere d'un pote a moi. C'est un cas de paro relativement classique je pense. Mais j'aimerais vos avis sur les possiblité de conservations eventuelles (quand il s'agit de proches, on est mal a l'aise avec les mauvaises nouvelles). Et l'avis des utilisateurs de microscope: vous qui me faites de plus en plus reflechir a cette solution, ce type de cas vous est il familier et facile a traiter ???

1 oze9sl - Eugenol
2 wjhve0 - Eugenol
4 u979kb - Eugenol

djinn

19/02/2005 à 16h09

pour continuer, le fils du patient (donc mon pote si vous avez suivit) est dentite tout juste thésé, il a extrait la 37 en decembre (juste avant les radios). Pas de materiau de comblement mis en place post extraction...


Amibien

19/02/2005 à 19h55

apparemment, il y a un énorme problème...

tu peux être sûr que la flore infragingivale est pathogène à souhait...

c'est un cas pour Capbreton...

une approche médicale à grand renfort de soins locaux est requise...

quel âge? fumeur? pathologie cardiaque ou autre systémique? douleurs à la mastication? indice de saignement? Halitose? il y a certainement des mobilités...!!!

tu as un très beau cas en mains mais il te faut un microscope pour piloter ton approche...


danxe

19/02/2005 à 20h03

Amibien
J’aimerai bien s'il te plait que tu nous commente ce cas
Malheureusement je ne serais pas à cap breton
Et pour tout ceux qui, comme n’y seront pas, je pense qu'un peu de ton savoir distillé sur ce post nous consolera


alhoun

19/02/2005 à 20h06

acharnement thérapeutique!! ton copain doit vite fait faire un cours d'implanto, et de sinus lift, et arrêter les dégâts le plus vite possible. foi d'alhoun.


Squash u44zd8 - Eugenol
steph

19/02/2005 à 20h34

D'après l'hémi-radio, le père de ton pote semble avoir des dents plutôt indemnes de caries et de soins, son extraction est donc due à de sérieux pbs paro (abcès, mobilité)à priori.
La perte osseuse est généralisée mais plus sévère sur les premières molaires ce qui me laisserait penser à une parodontite chronique, peut-être en activité si je me réfère à l'extraction récente.
Faudrait connaitre l'age du patient et ses facteurs de risque ; fumeur, maladie systémique (diabète ou maladie respi ou autre...), stress, eventuelles médications!!!
Mais effectivement le microscope permettrait de confirmer ou non l'activité de sa maladie et d'adapter le traitement selon les bactéries présentes.
Quoiqu'il en soit même avec une perte osseuse de 60 à 75% comme chez ton patient, ça se soigne et ça se stabilise mais le tableau est incomplet.
Amibien a raison, soins locaux en priorité pour stopper l'infection et le plus vite possible.


Amibien

19/02/2005 à 21h42

alhoun a écrit:
-------------------------------------------------------
> acharnement thérapeutique!! ton copain doit vite
> fait faire un cours d'implanto, et de sinus lift,
> et arrêter les dégâts le plus vite possible. foi
> d'alhoun.
>
> alhoun



Alhoun,

Danxe nous soumet ce cas pour recevoir des conseils et non pour se faire rabrouer...

Je reconnais que tu as raison sur le fond mais la forme n'y est pas...

Je propose que nous pardonnions tes écarts de langage, nous connaissons tous ton caractère trempé dans le vitriol et dont les lames aiguisées n'épargnent personne

Avant même de penser à greffer et à reconstruire, il faut penser à éradiquer complètement l'infection paropathogène...

C'est la priorité, et sans le microscope et une approche médicale soutenue, vraiment adaptée c'est impossible et tout le reste sera voué à l'échec...

donc PRIMO "éradiquer l'infection"

ce qui va suivre comme reconstruction n'a pas d'intérêt ici, puisque l'infection est toujours là....

le succès d'un traitement parodontal n'est pas dans la stabilisation de la maladie, dans la disparition des symptômes, car si tu reconstruis sur un parodonte où "le feu couve sous les cendres" tu cours à la catastrophe...

tu ne peux pas moralement proposer de reconstruire sur des piliers dentaires menacés à moyen terme par une parodontose chronique...

il faut que TOUS LES GERMES PAROPATHOGENES s'en aillent et que tous les signes microscopiques d'une réponse inflammatoire disparaissent également, seulement là tu feras du bon travail...

il est inutile de chercher à faire des reconstructions implanto-portées super esthétiques si les AA, les BF, les PG, les TD, les amibes, etc rôdent dans le coin et si le patient ne modifie pas durablement ses habitudes d'hygiène buccale...

cela doit être expliqué au patient et il faut naturellement estimer à combien reviendra le traitement global, à titre indicatif pour le patient qui s'imagine peut-être que tu vas sortir une baguette magique...

rassure-toi, j'ai des cas semblables où le patient n'a eu l'argent que pour le traitement parodontal, c'est stabilisé mais financièrement il ne peut suivre pour la reconstruction, il manque une ou deux dents et il vient en maintenance tous les quatre à six mois...

avec un traitement parodontal bien mené, il est possible d'aider ton patient et de rendre une vigeur aux organes dentaires malades...

maintenant si tu vois que ton patient ne veut pas ou rechigne à prendre le train de l'hygiène parodontale efficace, laisse choir et ne t'active pas à faire plus qu'une prescription de soins locaux, tout en restant gentil et compréhensif...





alhoun

19/02/2005 à 21h48

"Danxe nous soumet ce cas pour recevoir des conseils et non pour se faire rabrouer... "
je n'ai qu'exprimer ce que je ferai, et en aucun cas je ne voulais rabrouer danxe, s'il l'a perçu comme ça, je le prie de m'en excuser.


alhoun

19/02/2005 à 21h49

et arrête de me parler pognon, c'est son fiston qui va lui faire.


Squash u44zd8 - Eugenol
steph

19/02/2005 à 22h13

Je vois pas où les implants se justifient, le traitement paro apportera effectivement une stabilité aux dents qui permettra de les conserver....bon exception faite de 36 et feu 37 c'est vrai.


alhoun

19/02/2005 à 22h33

moi je dirais tout le secteur postérieur. mais après tout ce n'est qu'une radio. et après tout , ce n'est pas ma bouche. (pas encore)


phil

19/02/2005 à 22h41

moi cela me herisse que l'on parle implanto avant même d'avoir un bilan complet precis du patient . Comme le dit amibien tu ne peux rien envisager de serieux si le feux couve en dessous .
l'implant n'est que la finalité d'un traitement qui doit d'abord etre etiologique .Le meilleurs implant que je sache est la dent naturelle donc avant de condamner les dents il faut comprende pourquoi le patient en est la . Ensuite controle microbio réevaluation après traitement de l'infectiion et plan de réhabilition seulement alors . en attendant tu peux toujours trouver des solutions de temporisation et prevoir tes plans de traitements les plus complexes. le problème est au niveau des molaires ou effectivement il faudra tenir compte des sinus quoi qu'il se passe à mon avis . Pourquoi se precipiter alors .
Par contre si ce patient envisage des implants il faudra en complément du reste faire des tests bactériens voire adn plus poussés que le microscope ( bien que le microscope soit indispensable car il donnera la température en permanence de la parodontite et de sa guerison qui manifestement ne date pas d'aujourd'hui )
selon tous les examens et tests tu auras une idée du caractère aggressifs de la pathologie et de la conservation ou non de certaines dents .
ton approche sera alors plus sure.

moi je suis très respectueux de ce qu'a fait la nature et de ses potentialités incroyables de cicatrisation.


alhoun

19/02/2005 à 22h53

vous arrêtez de me prendre deux minutes pour un blaireau, s'il vous plait, vous serez gentils! voilà, comme ça c'est bien , merci.
arrêtez d'enfoncer des portes ouvertes en disant bactério gnangnan, infection glilnglin, l'implant n'est pas la finalité pouët pouët. tout ça, excusez-moi, mais je le sais comme vous. je dis simplement qu'à la vue de ces atteintes , notamment de furcation, QUE NOUS NE SAVONS PAS TRAITER, de manière efficace, le meilleur moyen de débarasser le patient de sa charge infectieuse, c'est de le débarasser le plus vite possible des dents trop galère à maintenir. après, me balancer à la figure que la dent naturelle est le meilleur implant ne va pas vous aider à régler le problème de ce patient dans le secteur postérieur.


gül

19/02/2005 à 23h00

"Le meilleurs implant que je sache est la dent naturelle donc avant de condamner les dents il faut comprende"

... et NON: entre une dent désinfectée mais complètement alvéolysée et mobile qui ne permet que de macher le GERVITA parfum fraise et des implants immobiles avec lesquels le patient retrouve une fonction qu'il avait oubliée, une nutrition correcte et la santé qui va avec (et le visage se transforme et mème les masséters gonflent) il n'y a pas photo.


Etiologie ou pas tout dépend du degré d'évolution de la paro. Ton os, je l'ai jamais vu repousser.
Alhoun tu vois, plus il y a de patients charonisés à mort et plus le domaine de l'implanto basale s'étend, parce que quand on les récupère, la mandibule est en guidon de vélo, le sinus en coquille d'oeuf..
A+


Squash u44zd8 - Eugenol
steph

19/02/2005 à 23h35

Je comprends pas bien, je suis pas un as de l'implanto mais les patients charonisés comme tu dis sont pris en charge pour garder leurs dents et donc leur os, tout ça est stable....
Si tu extrais d'emblée tu diminues la charge bactérienne c'est sûr mais au revoir l'os, et là tu peux faire de l'implanto basale.
Il n'a jamais été question de faire de l'acharnement thérapeutique, de réussir des miracles sur des dents condamnées à l'avance mais on recule nos limites, en paro comme en implanto d'ailleurs.
"Ton os, je l'ai jamais vu repousser.", regarde de plus près....chez Charon notamment, y a des radios qui laissent reveur et c'est un sacré coup de pouce même pour les implanto.
D'ailleurs pas de querelles d'églises, l'un+l'autre=bénéfice pour le patient!!!


Avatar eex0qq - Eugenol
Pépé

19/02/2005 à 23h57

Tout le monde est d'accord pour dire la même chose mais chacun le dit différemment.
En résumé:
1° toute la thérapeutique Paro
quand tout est stable sur le plan paro et que le patient a bien compris l'importance de la maintenance:
2° Implanto 37 et peut-être (voir sûrement) 36

Ais-je mis tout le monde d'accord ?


alhoun

20/02/2005 à 00h07

et 24? 25? 26? 27?


phil

20/02/2005 à 00h08

steph . 100 % d'accord avec toi .....c'est excatement ma position...
gul l'os ne repousse pas d'accord ( dailleurs c'est pas l'os mais le parodonte ) mais une lésion paro se reminéralise bien au dela de ce que l'on peut penser parfois mais ca il faut savoir faire sachant qu'il y a des cas ou tu ne peux tenter c'est évident
je suis totalement d'accord avec alhoun avec les atteintes interadic et les molaires .Je pense comme toi qu'une solution implantaire dans ces secteurs sera la solution mais pourquoi se precipiter.
quelle que soit le degré d'alvéolyse ta dent te posera un problème parce que tu n'as plus de parodonte et restera instable mais ne mettra pas en danger le reste si tu maitrise cette infection ( alhoun tu me fait marrer avec ta charge infectieuse car si les molaires posent un problème les autres dents dont certaines semblent conservables representent une charge infectieuse plus importante à mon avis )
La maitrise du terrain et le rétablissement d'une flore compatible me semblent donc prioritaires avant d'envisager autre chose charon ou pas charon


alhoun

20/02/2005 à 00h15

"( alhoun tu me fait marrer avec ta charge infectieuse car si les molaires posent un problème les autres dents dont certaines semblent conservables representent une charge infectieuse plus importante à mon avis )"

c'est le fait quon soit d'accord qui te fait marrer? je peux te dilater la rate tout les soirs à ce prix là.


phil

20/02/2005 à 00h31

alors la c'est sympa ... la rate j'adore 15 minutes par jour .....qui disent .Le problème à cette heure ci c'est que ca empêche de dormir ....


Avatar eex0qq - Eugenol
Pépé

20/02/2005 à 00h32

alhoun a écrit:
-------------------------------------------------------
> et 24? 25? 26? 27?
>
> alhoun

Evaluer après stabilisation paro, si extraction moi je ferais PAP. Pas assez d'os pour faire des implants (en tout cas pour moi)


phil

20/02/2005 à 01h00

24 à 27 tout dépend de ce que veux le patient ....
pap pourquoi pas
implants pourquoi pas en tenant compte du sinus...


gül

20/02/2005 à 02h50

steph:
tu dis que la situation est stable: on pourrait en discuter, peu importe. Ce que je te dis c'est que de toute façon des dents mobiles ne sont plus fonctionnelles. Ces pauvres patients ne machent plus, terrorisés d'en laisser une dans la purée: ce sont des dents à seul but esthétique.
Pas d'accord aussi pour la suite mais ce serait trop long.
Enfin la "reminéralisation" sur les radios du livre à charon, excuse moi mais tout le monde a ça ds sa clientèle, c'est une phénomène bien connu, vraiment rien de miraculeux qui tient plus de l'artefact radiologique.
et pour phil, non l'OS ne repousse pas quelque soient les termes que tu emploies et dont je te laisse la responsabilité.
Et puis vous nous bassinez avec votre MAITRISE de l'infection.
Je parie que aprés qq cogitations ça finira par bétadine, par exemple, et bicarbonate, pourquoi pas, et H2O2, ça je le subodore aussi auquel on ajoutera peut être le métrodidazole, hein, et les 3 ou 4 formules de qui vous savez, améliorées par vos soins.
Ben ça alhoun et moi pourquoi on serait contre? Est-ce que nous aussi on peut devenir MASTER of INFECTION?
A+


Amibien

20/02/2005 à 05h57

Gül, Alhoun,

vous savez bien que si vous commencer le travail chez un patient non motivé vous allez vous planter...

l'approche médicale sert à jauger le patient et à éviter de rentrer dans une galère...

quant aux dents alvéolysées qui se refixent suffisamment après éradication de l'infection, quoique vous en disiez, j'en ai vu des tas...

il est possible de maîtriser une infection, eh oui c'est possible mais cela relève plus du patient que de nous...

les cas où nous ne pouvons le faire montrent toujours une motivation faible du patient, toujours, toujours, sauf les cas malheureux où le système immunitaire déconne...

pourquoi vouloir foncer avant d'avoir vraiment évalué le patient ? ce n'est pas loin de la faute professionnelle...

c'est bien d'avoir des couilles mais personnellement je ne rentre plus dans des traitements foireux, j'ai donné assez de ce côté-là...

et j'engage notre ami Danxe à réfléchir au bien-fondé de ce que disent Phil, Steph, Pépé et compagnie !

à vouloir prendre le taureau par les cornes trop vite on peut prendre aussi une corne dans le cul ! et ça fait mal...

et j'en ai rien à foutre de Charon et de Bonner...


alhoun

20/02/2005 à 09h57

bis dat, qui cito dat.


12...