Cookie Consent byPrivacyPolicies.comcas clinique - Eugenol

cas clinique

alhoun

21/02/2005 à 12h09

le piano est une image, djinn, ne le prends pas pour toi.


djinn

21/02/2005 à 12h25

Amibien a écrit:
-------------------------------------------------------

>
> si tu veux mon avis, envoie le à un implantologue
> averti car les médecin pensent savoir tout sur
> tout et il va très certainement n'en faire qu'à sa
> tête...
Ce medecin la ne me parait pas aussi...hautain que ce que tu décris...et son fils (dentiste) devrait le motiver en core plus, dumoins j'espere. Il etait en tout cas tres ouvert a toute proposition.

> si tu étais plus habitué à traiter ce genre de cas
> je ne te dirais pas cela..

Je ne me sens pas de le faire à priori donc en accord avec toi...(d'autant que je connais le patient et son fils)
>
>

> une dernière pensée, ta réflexion :
> "je suis tenté de voir comment ca marche sur un
> cas comme celui là pour finir de me convaincre sur
> vos théorie attirantes"...
> je la trouve ... je ne trouve pas de mots, ...
> je pense que cela est inutile de se prouver que
> cela aide, et puis ce n'est pas ton microscope qui
> va changer l'affaire de ton patient, c'est la
> lecture de la flore infragingivale qui va orienter
> ta thérapie...


Oula, j'ai du mal m'exprimer. Un patient n'est pas un cobaye pour moi, on se calme. Je voulais seulement dire que je suis attiré par une vue qui ne fait pas appel directement a la chirurgie (lambeaux et apres on discute...) et pourtant j'aime bien pratiquer en soit toute chirurgie. Mais la chirurgie doit etre pour moi considérée comme l'echec de toute autre tentative plus medicale et donc non invasive.


> le microscope n'est pas le traitement !!!!!
>
Ah bon, je ne prescrit pas un microscope matin midi et soir pendant 6 jours? J'avais compris;) Question subsidiaire, le microscope donne un resultat direct et rapide, je le concois, mais est ce un pour toi surtout un instrument de communication avec le patient ou bel et bien pour adapter en temps reel les traitements d'hygiene? Est ce que des prelevements envoyes en labo pourraient suffire?


>
> arrête donc de penser que le microscope pourrait
> ne pas servir, arrête de faire l'Alhoun...
>
Eh, moi je suis ouvert a tout, je l'ai dit. Je demande a comprendre avant, et je suis tres lent a la compréhesion, mais en lisant doucement les reponses je penses y arriver.






alhoun

21/02/2005 à 12h33

arrête de faire l'Alhoun... façon comme une autre de mettre les galopins sur le droit chemin.


Amibien

21/02/2005 à 12h45

Alhoun,

deux adresses pour ce qui est des livres écrits par Niklaus P.LANG

http://www.bookfinder.us/review0/1405102365.html

http://www.blackwellpublishing.com/editors.asp?ref=0905-7161

une présentation du gaillard en question sur une photo jointe...

je ne retrouve pas l'étude, mais elle montrait que la présence de microbes paropathogènes autour d'implants endo-osseux est hautement nuisible...

maintenant je n'ai jamais soutenu que les implants ne peuvent pas fonctionner dans une bouche anciennement parodontopathique...

sinon, nous ne ferions des implants qu'aux patients qui ont perdu les dents par accident...

Niklaus P.LANG a montré de belle façon que les implants foirent assez vite si les paropathogènes majeurs sont de la partie...



Niklaus p - Eugenol

alhoun

21/02/2005 à 13h02

je connais Lang, c'est de l'ITI, gül t'as déjà parlé de l'état de surface, on va quand même pas revenir la dessus. je suis entrain de scanner de vieilles diapos: rien ne vaut la clinique.


alhoun

21/02/2005 à 13h15

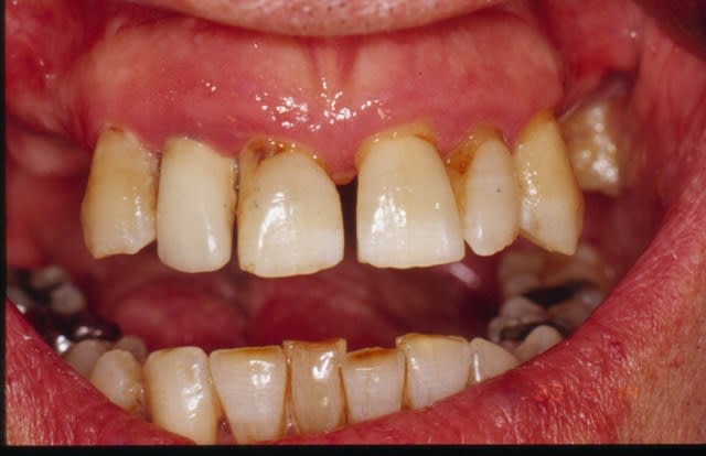
et voilà le cas: un copain arrivé chez moi après extractions suite à paro terminale, équipé de PAP résine.je vous passe les sondages et compagnie: il est évident sur les photos avant traitement que l'hygiène chez ce patient, c'est comme un bon bouquin d'Alexandre Jardin: ça n'existe pas. traitement initial et tout le toutim. pose des implants et réhabilitation prothétique. on peut voire le jour de la pose des prothèses l'état de l'entretien: médiocre. et le clou de l'histoire? vous avez des radios le jour de la pose, et des radios à 3 ans. calculez la perte osseuse, extrapolez-là sur 25 ans, et adressez-moi vos plates excuses en public.

Paro 1 ysbl5g - Eugenol
Paro2 amstvl - Eugenol
Paro3 ow0ank - Eugenol
Paro4 znm6xf - Eugenol

alhoun

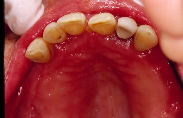
21/02/2005 à 13h17

et la suite

Guide urzd87 - Eugenol
Paro5 mppqyx - Eugenol
Paro6 su7lnu - Eugenol
Paro7 z4vf46 - Eugenol

alhoun

21/02/2005 à 13h19

et la fin.


alhoun

21/02/2005 à 13h19

oups, fausse sortie.

Paro8 xtc889 - Eugenol
Radios 1 qa6pyh - Eugenol
Radios2 to1mbi - Eugenol

Amibien

21/02/2005 à 13h52

Alhoun, tu ne parles pas de la flore infragingivale présente avant l'intervention, ni celle d'avant la pose des prothèses, ni celle actuelle... tu ne dis rien de ce que fait le patient pour nettoyer actuellement...
et les piliers dentaires résiduels, les radios avant après, on y a pas droit ? ... tu ne parles pas de l'antibiothérapie qui a été prescrite ?
Ne me dis pas que tu n'as pas traité le parodonte des six antérieures, je ne te croirai pas... Tes photos ne démontrent rien si ce n'est que tu as fait un beau travail, mais de là à extrapoler qu'on peut se foutre des paropathogènes, je préfère me fier aux travaux du vieux Suisse plutôt qu'à des démonstrations incomplètes et tendancieuses...
Pour moi la discussion est close.


phil

21/02/2005 à 14h13

100% d'accord avec l'amibe . Tu sais manies le tournevis et le foret . c'est un beau travail on ne dira pas le contraire et on n'a jamais douté de tes capacités . Par contre ce patient etait - il à risque ?
pathogène paro lesquels sur quel terrain .( j'ai pas encore eu le temps de regarder les références que tu as donné avec beaucoup de gentillesse et d'à propos)
un bridge posé dans le cadre d'un parodontite de l'adulte avec un brossage moyen cela passe aussi ( on le sait depuis longtemps (. La flore est déséquilibrée mais sans plus car le système de défense fonctionne bien ) mais dans le cadre d'une parodontite agressive aurais-tu agi de la même facon . Quelle aurait été ton approche?


alhoun

21/02/2005 à 14h49

bien sûr que j'ai fait un traitement paro, vous faites exprès ou quoi? le message est le suivant: ce patient, APRES traitement paro, a très très très moyennement suivi les instructions d'hygiène et de maintenance. je suppose donc et j'affirme que ce patient a continué à vivre avec le même type de pathogènes dans sa bouche. et que ces pathogènes, qui ont conduit à la perte des dents semblent le plus souvent (pas toujours) moins actifs sur les implants Branemark usinés. je le répète, c'est documenté, et c'est basé sur mon experience clinique. ce patient était-il à risque? tu veux vraiment une réponse, phil?
ce que j'ai essayé de dire sans trop de succès dans cette discussion:
1- il faut admettre qu'une dent est condamnée quand c'est le cas, et L'EXTRAIRE.
2-des cas à la Algi, vous savez ce que j'en pense.
3- une fois l'extraction réalisée, la solution de remplacement se pose. je suis ouvert à tout, mais je privilégie toujours la solution fixée.
4- ne vous encombrez pas de contre-indications toutes théoriques aux implants: les vrais contre-indications sont rares.
5-dire qu'il faille poser des implants sur un terrain assaini est l'évidence même, mais des évolutions parodontales défavorables ne se traduisent pas toujours (et même rarement)par des évolutions péri-implantaires défavorables.
6-une petite note cynique pour finir (qd même): il est parfois plus facile de motiver quelqu'un qui vient de vous faire un chèque de 15000€.
paro-implantairement votre.


djinn

21/02/2005 à 15h10

desolé d'en revenir a mon cas. Donc, selon toi, alhoun, tu irais apres traitement paro initial (EHO/ detartrages/ surfacages/lambeaux...) sur une extractions des dents dont les foyers ne paraissent pas regresser et vers un traitement (Bref, ce que je sais deja proposer)Ai je bien saisi?


alhoun

21/02/2005 à 15h21

non, non, j'extraie tout de suite les dents condamnées, en parallèle avec le traitement initial. des lambeaux dans ton cas n'apportent strictement rien.
concrètement:traitement initial- extraction dans la foulée. je n'attends certainement pas qu'il n'y ait plus de germes, les germes partent avec les dents. poursuite du traitement paro et, si l'option implantaire est choisie: pose d'implants le plus vite possible. et prothèses provisoires de partout. et là tu peux prendre ton temps à traiter, évaluer , jauger et finir ton traitement.
imagine ton patient à qui tu dois annoncer tout les 6 mois une extraction supplémentaire....


phil

21/02/2005 à 15h35

alhoun a écrit:
------------------------------------------------------> 1- il faut admettre qu'une dent est condamnée
> quand c'est le cas, et L'EXTRAIRE.

d'accord on est tous d'accord

> 2-des cas à la Algi, vous savez ce que j'en
> pense.

pas d'accord mais tu n'as pas du faire charon moi j'en ai des comme lui qui repondent bien et pour longtemps mais pas toujours et avant d'envisager implant je m'assure d'avoir un certain recul . J'ai surement tort dans certains cas .....

> 3- une fois l'extraction réalisée, la solution de
> remplacement se pose. je suis ouvert à tout, mais
> je privilégie toujours la solution fixée.

tu as tout à fait raison et on est tous d'accord. Le patient peut-il toujours suivre

> 4- ne vous encombrez pas de contre-indications
> toutes théoriques aux implants: les vrais
> contre-indications sont rares.

on ne parle pas forcemment de contrindication mais du rapport cout investissement risque et de l'évaluation de ce risque donc de la prise en charge ......

> 5-dire qu'il faille poser des implants sur un
> terrain assaini est l'évidence même, mais des
> évolutions parodontales défavorables ne se
> traduisent pas toujours (et même rarement)par des
> évolutions péri-implantaires défavorables.

j'ai tendance à le penser pour 90% des cas mais pour 15000 euros par rapport a certaines personnes à risque tu ne prend pas plus de précaution et de recul donc ? tu ne te pose pas de questions ?..

> 6-une petite note cynique pour finir (qd même): il
> est parfois plus facile de motiver quelqu'un qui
> vient de vous faire un chèque de 15000€.

surement mais pas toujours c'est trop facile d'agir et de penser comme cela .
Ton copain qui se lave pas toujours ses dents et qui n'est pas forcemment à risque au non de l'amitié tu n'as pas réussi a le convaincre.... cela ne te gêne pas et tu dis rien ...tu lui as fait ca gratos ???pour être cynique


salut l'artiste


alhoun

21/02/2005 à 16h25

Le patient peut-il toujours suivre ? j'en sais rien, mais je lui pose toujours la question. en tout cas, ce n'est pas l'objet de notre débat.

"rapport cout investissement risque et de l'évaluation de ce risque donc de la prise en charge ...... " certes. pour moi, le risque n'est pas très grand. c'est mon point de vue, et on va pas y passer la nuit.de toute manière, mon travail est garanti contractuellement.


"
j'ai tendance à le penser pour 90% des cas mais pour 15000 euros par rapport a certaines personnes à risque tu ne prend pas plus de précaution et de recul donc ? tu ne te pose pas de questions ?.. " question insultante. je risque de perdre mes implants,c'est tout. et alors?? le risque d'échec existe dans tous les traitements que nous faisons. j'ai dédramatisé la chose depuis des lustres.


"cela ne te gêne pas et tu dis rien " je ne savais pas que tu étais là aux consultations, je t'aurais offert un café.


phil

21/02/2005 à 16h50

alhoun a écrit:
-------------------------------------------------------
> j'ai tendance à le penser pour 90% des cas mais
> pour 15000 euros par rapport a certaines personnes
> à risque tu ne prend pas plus de précaution et de
> recul donc ? tu ne te pose pas de questions ?.. "
> question insultante. je risque de perdre mes
> implants,c'est tout. et alors?? le risque d'échec
> existe dans tous les traitements que nous faisons.
> j'ai dédramatisé la chose depuis des lustres.


et ben c'est bien .....donc tu ne poses pas de questions ! au moins à ce sujet.....moi j'ai toujours du mal à accepter .... les echecs même si l'on en a tous......pour cela je ne prends pas trops de risques moins que toi surement .... education sans doute

Merci pour le café .....
a la consult j'y étais pas parce que j'aurais pas prposé d'implants avec ce brossage ...


Ylfwcw979cz1jnx9gfqeaxndiuzk - Eugenol
Algi

21/02/2005 à 17h47

ben moi "mes" cas je les gére si ils sont motivés (mais ils sont prévenus que garder leurs dents sera pas forcément simple)par contre les "non brosseurs" "non respectueux de mes consignes", même à 15000€, je les vire!

On ne bâtit pas un palais, ni même un cabanon, sur des fondations pourries!

ps: va voir les bunker du mur de l'atlantique construits sur les dunes vers Bidart (côte Basque) et t'auras une petite idée de ce que deviendront tes implants....


gül

21/02/2005 à 20h18

Je voudrais m'excuser auprés de phil algi et coll. de les avoir privés aujourd'hui de mes propos acides et autres nom d'oiseaux dont ils sont coutumiers, je viens de sortir du boulot aprés avoir passé la journée à ce que vous pensez (ouais, poser des i. et j'ai fini par déjeuner à 17h, kaputt).
De toute façon je souscris totalement et sans réserve à tout ce que dit Alhoun, avec plus d'intelligence, de précision et de retenue que moi. C'est bizarre, en le lisant j'ai quelquefois l'impression de mieux comprendre ce que je pense. Puisqu'il ne nous écoute pas je peux dire qu'il est certainement un trés bon praticien.

Et pour finir :-), l'inévitable flèche du Parthe, modéle Sassanide homologué:
Algi, souhaiter du malheur aux autres, c'est surtout d'une banalité totale. Les prophètes dans ce genre, c'est à peu prés aussi fréquent que les jaloux, allez savoir pourquoi.
A+


danxe

21/02/2005 à 20h26

OUAHHHH...


Ce post de DJINN et les réponses qui ont suivie en même pas 2 jours pour 5 pages pleines ont été très intéressants.

Au fil des posts, j’ai tiré quelques enseignements :

Nous praticiens, curieusement parlons différents langages dentaires

Pour un même cas les approches sont totalement différentes selon le type de visions que l’on a de la parodontologie : (médical versus chirurgicale versus « un peu des deux »).

A l’instar de ce que nous enseigne nos pairs à la fac, les fondements d’une idée soutenue par des références biblio ne nous feraient pas de mal. L’étayage de références biblio tel que l’a fait alhoun est donc bienvenu.

Lorsque un chirurgien orthopédiste pose une prothèse de hanche en titane ou une prothèse du genou, il s’assure avant toute chose que la santé bucco-dentaire de son patient est compatible avec l’opération prévue (qu’est ce que je peut faire comme certificat dentaire en ce moment… !!!!!!!), après l’opération ce n’est plus son problème…

Vous voyez tous des patients âgés ou pas porteurs d’une superbe prothèse de hanche ou même d’un dispositif cardiaque en place (stens ou valve…). Et pourtant en bouche c’est la catastrophe : 7 cm carré d’infection comme dirait l’autre et malgré tout le patient est en vie et il vie bien !!!

Du parallèle avec la chirurgie médicale j’aimerai dégager une réflexion :
La médecine qu’elle soit générale ou dentaire ne doit elle pas faire abstraction du patient et de ses capacités à s’investir humainement dans sa propre thérapeutique ?

En gros : a quoi bon médicaliser la dentisterie si c’est pour en cas d’échec imputer une grande part de responsabilité au patient ?
Cela me semble facile dans notre domaine. Aujourd’hui nous n’avons pas besoin de l’aide du patient sous prétexte de lui sauver ses dents ; suggérer ou souhaiter son aide c’est avouer une incapacité à résoudre un problème très important dans notre métier, celui du choix de la bonne thérapeutique.

A mon sens « Deux problèmes fondamentaux » subsistent chez le patient : sa motivation et ses ressources financières.
Sa motivation :
Parce qu’elle m’excusera si en parallèle les finances ne suivent pas, de ne pas lui faire un traitement idéal compatible avec les données acquises et actuelles de la science
En gros comme les implants dentaires ne sont pas remboursés à la différence d’une prothèse de hanche…et bien je lui ferai un traitement paro dit de « sauvetage » et tant pis cette fois si le patient ne suit pas car je l’aurai prévenu….

Ses ressources financières :
S’il a de l’argent….dieu le bénisse, on va s’éclater lui et moi !!!! et je vais lui proposer ce qu’il y a de mieux pour 15 à 20 ans… on fera des implants etc.…. un peu comme le chirurgien orthopédiste je me dit que dans 15 20 ans je pourrai refaire une intervention et après cela fera toujours 30 de gagner
J’ai la trentaine, je sais que dans 15 20 ans j’aurai droit à cette foutue prothèse de hanche suite à une sur-médication de corticoïde pour un rhume et je me suis payé une osteo-nécrose
Au final je préfère être bancal et prendre des antalgiques opioïdes, me priver de presque tout les sports plutôt que de passer tout de suite à la « prothèse de compétition » comme l’aurait voulu LE CADOR en chirurgie de Paris

J’imagine donc à une autre échelle qu’il doit en être ainsi pour nos patients et leurs dents, par ce raisonnement, je comprends tout à fait le point de vue des confrères charonisé comme le disent certains.
Le paradoxe du médical c’est qu’il est au service de l’humain avec de moins en moins d’humanisme et plus de technicité

Les charonisés avec l’aide de toute leur quincaillerie et optique ont l’intelligente idée de tenter de communiquer entre eux et leur patient (à croire que 6 ans d’études rendent muet et robotise)
Alhoun ton plan de traitement me plait, tes références biblio aussi, tu proposes ce qu’il y a de mieux et c’est respectable.
Mais fais tu parfois des concessions, pas dans le sens où tu poses un implant sur un terrain paro moyen (les bliblio te soutiennent) mais plutôt dans le sens où tu t’engages plus vers la tendance charonisés qui n’est en rien non plus critiquable ???

Longue vie aux alhouns, amibiens, algis et compagnies et à tout les COMPROMIS du métier


Danxe dentiste névrosé ayant subi des erreurs médicales mais qui continue d’y croire…


Image19 iebot6 - Eugenol
athos

21/02/2005 à 20h43

hommage a toi Danxe


phil

21/02/2005 à 21h09

merci DANXE c'est bien résumé ....et je crois proche de ce qu'il fallait dire
Je n'ai rien contre l'implanto ce que fait alhoun qiu est à l'evidence un excellent clinicien . Il nous avec beaucoup d'honneteté un cas pour ou il estime avoir une flore patho parce qu'il y ade la plaque en disant que cela ne se comporte pas si mal que cela . C'est vrai qu'il y a peu de risque que cela se dégrade on le sait tous des bridges voire des implants avec des parodontites non traitées ( si si j'ai vu ) on en voit et il n'y a pas trop de soucis c'est vrai ...

mon propos disons de charonniste puisque l'on me classe ainsi ( et que je ne suis pas ) n'est pas du tout de remettre en cause l'implanto qui nous rend service tous les jours mais d'évaluer le risque dans certains cas ou les frais engagés sont conséquents et ou l'omnipraticien qui ne fait pas toujours d'implanto ou qui n'a tendance à penser qu'à en placer va oublier les plus élémentaires précautions .Pour moi l'implantologie doit avoir une approche stricte et j'ai des cas ou manifestement existe des patho à risque . La question simple que je posais était que dans ces cas quelle pouvait être l'approche d'un implantologiste distingué ....mais manifestement les patients à risque type parodontites à progression rapide ne l'inquiètent pas plus que cela .
perso le cas qu'alhoun m'a montré j'en ai en paro gentils mais pas très grands brosseurs . Ces cas sont pour moi éliminés d'office pour l'implanto même si j'estime le risque pas trop important.

il y a derrière cela un problème d'éducation et de vision comme tu dis DANXE .
ce qui me dérange souvent ce sont ces oppositions qui se mettent en place alors que tout ne devrait qu'être complémentaire et je ne vois pas en quoi la recherche d'un diagnostic paro ciblé et la prise en compte de facteurs de risque et la necessité d'avoir le maximum de feux verts au tableau de nos décisions thérapeutiques pourraient nuire à l'implantologie et surtout au patient .
`
ceci dit moi j'aime bien alhoun il a une grande gueule il est un peu rentre dedans mais il n'est pas hypocrite et ca c'est une sacrée qualité humaine !

quand à gûl et ses histoires d'artefacts radios et d'os honnetement j'ai pas compris le raisonnement ....


Ylfwcw979cz1jnx9gfqeaxndiuzk - Eugenol
Algi

21/02/2005 à 22h05

Qui a dit que je souhaite du malheur aux autres? Dans le mien de "malheur" j'ai la chance d'avoir trop de patients donc j'élague comme je peux et décider de garder ceux qui correspondent à mes actuelles orientations thérapeutiques et virer les autres est un moyen comme un autre de faire de la place sur le carnet de RDV et me réussit plutôt bien depuis quelques mois.

Ensuite Y'A PAS PLUS CASSE COUILLE ET A RISQUE PENALEMENT QUE LE GARS QUI RAQUE 15000€ ET QU'EST PAS CONTENT MAIS QUI S'EN FOUT DE SES DENTS, CUI LA C'EST JAMAIS SA FAUTE, IL EST TOUJOURS TOMBE SUR DE MAUVAIS DENTISTES, A L'ENTENDRE... donc si là aussi je peux eviter de prendre un parpaing sur le coin de la figure 3 ans aprés la pose de ses implants je préfére.... et donc si j'estime qu'il a pas une hygiène suffisante je fais pas car le juge me plantera à coup sûr!

Ensuite je suis pas non plus un ayatollah de l'eau oxygénée et du bicarbonate(je préfére le bourgogne personnellement) et je suis capable de faire la différence entre le gros porc qui n'aura ni implants ni même une PPA résine et le gars en relative bonne santé qui fait des efforts suffisemment corrects...

ps: maintenir "mes" cas est certainement plus casse gueule que d'extraire et poser des implants... mais j'ai pas encore réussi à trouver la formule pour selectionner "que" des patients avec une mise de base de 15000€ dans ma banlieue pourrie et j'essaie donc d'éviter les gamelles résine mobiles au maximum d'entre eux.

ps2: les "à 15000€" espérons que ça viendra ou nque je déménagerai, si algi vient pat-à toi:)


bledarito

21/02/2005 à 22h15

vous me donné l'envie de faire de l'implanto..allez demin j'enpose 4 gratis.qui en veut ?


gül

21/02/2005 à 22h38

Algi, je ne critique pas ta façon de faire pour la bonne raison que je sais (expèrience, tè) qu'il est plus difficile de faire de la dentisterie sociale correcte que de la dentisterie chère parfaite.
Now, est-ce que quand tu montres tes cas sur o ring je dis que ça va se casser la gueule, moi?
Moi je te dis que les implants de alhoun sont encore la ds 20 ans sauf cata imprévue (platane, maladie générale grave).
Juste une remarque: quand il y a eu le concours alhoun sur son cas à tartre, presque personne n'a voulu faire un pronostic (c'est fou ce qu'on tient à son amour propre sur ce forum).
Or moi des cas comme ça j'en vois tout le temps depuis 10 ans: ce n'est pas de la théorie, ce n'est que la simple constatation de la réalité.
Le cas mixte "parti ds la nature" qui revient avec une gingivite bien rouge sur les dents et rien sur les implants aussi c'est du classique.
D'accord ce serait bien mieux si tout le monde brossait parfaitement, ne fumait pas, je vous assure qu'on est pour...