Cookie Consent byPrivacyPolicies.comcas clinique - Eugenol

cas clinique

Empreinte algiperf gvdesm - Eugenol
alGinette

31/10/2015 à 00h03

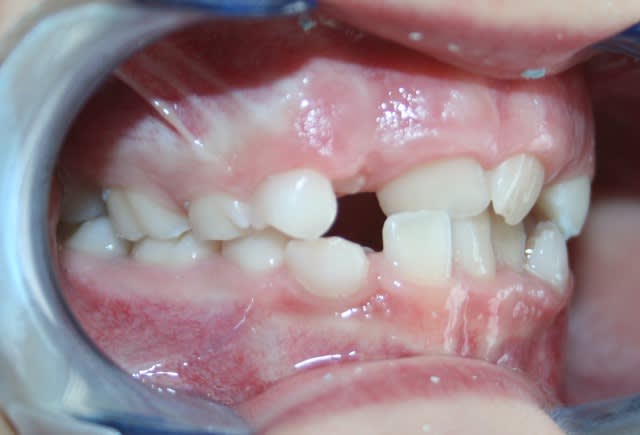
Bonjour à tous

Voici une petite patiente de 8 ans
beaucoup de problèmes de santé depuis la naissance
elle est dans le service de recherche génétique depuis 2 ans car ses symptômes s apparentent à une maladie de marfan
à savoir probleme cardiaque (dilatation de l aorte)
troubles squelettiques et ophtalmologiques
et palais en ogive...

Pouvez vous me donner votre avis..

voici mon raisonnement:

mon but étant de creer la place necessaire pour recevoir 12 et 22 et retablir l articulé de 11
evidemment tout ceci en corrigeant l endoalveolie maxillaire

je propose donc un disjoncteur ; dans un premier temps seul
si les incisives ne s alignent pas toutes seules; 4 brackets pour les aligner.
et puis je surveille la mandibule en esperant que ca lui donne plus d espace pour s épanouir?

qu en pensez vous?
je m inquiete de l axe des premolaires maxillaires à la pano; pas vous?

Img 3647 bta2o3 - Eugenol
Img 3648 y5crdt - Eugenol
Img 3649 ett2qm - Eugenol
Img 3649 rripoi - Eugenol
Img 3650 jdbkfs - Eugenol
Img 3651 wp7ztc - Eugenol

Empreinte algiperf gvdesm - Eugenol
alGinette

31/10/2015 à 00h21

suite

merci d avance pour votre aide

 1  dkwzpj - Eugenol
2 sspxdk - Eugenol
Img 3653 j3ojno - Eugenol
Img 3654 obqehu - Eugenol

120 81 mdkvjo - Eugenol
Monaco

01/11/2015 à 07h55

Disjoncteur fixe sur bagues molaires.
brackets antérieurs pour saut du cross bite.
En bas arc lingual ou lip bumper (attention à la proclinaison excessive).
Réévaluer ensuite plus tard exos.


1309531 ours brun n5iukf - Eugenol
seespan

01/11/2015 à 10h45

Patiente avec terrain atypique à envoyer à un praticien expérimenté.

--
หมอจัดฟัน


Icon poker h4nm2d - Eugenol
jeff

01/11/2015 à 14h18

bien sur le palais est creux et profonds, mais je ne vois pas vraiment d'endo maxillaire ??

tu vas etre tres vite en exo, avec un disjoncteur. et si c'est juste pour elargir de 2 mm...

Il semble en fait que l'on soit en endo bi-maxillaire . Peut etre des plaques a piste, alors , qui vont donner de l'expansion en haut et en bas.

Pour l'inversé 11 : un simple compo d'inversé d'articulé suffit.


1309531 ours brun n5iukf - Eugenol
seespan

01/11/2015 à 16h37

Au risque de me répéter un patient syndromique n'est pas un cas approprié pour débuter en orthodontie.

Passez la main.

--
หมอจัดฟัน


Images jm2g2g - Eugenol
dr_0le

01/11/2015 à 19h10

seespan écrivait:
-----------------
> Au risque de me répéter un patient syndromique n'est pas un cas approprié pour
> débuter en orthodontie.
>
> Passez la main.
>
> --
> หมอจัดฟัน


--
You can't always get what you want..

Je ne vois pas à quel moment aginette dit qu'il débute..
Je pense juste qu'il rencontre un cas particulier. Si on doit adresser tous les cas atypiques.. On risque de s'ennuyer dans le boulot!!

Peut être qu'un peu d'eau à son moulin serait plus intéressant.. M'enfin... Eugenol 2015..


Picture1111 zburnd - Eugenol
saidkholoki

01/11/2015 à 20h16

alGinette écrivait:
-------------------
> suite
>
> merci d avance pour votre aide

Il s'agit d'un cas qui représente un déficit transversal avec constriction maxillaire et mandibulaire importante. Il y a probablement une déviation fonctionnelle mandibulaire due au problème transversal et à l'articulé croisé antérieure. Les condyles sur la radio ne sont pas au centre de la cavité glénoïde.
C'est un cas simple! Le problème orthodontique n'a pas de rapport avec son état général.
Pour moi un Quad hélix au maxillaire avec ou sans fouets antérieurs, suivi trois mois plu tard par un bihelix mandibulaire et on ré évalue le cas après avoir corrigé le sens transversal.
En ce qui concerne l'articulé inversé antérieure il y a plusieurs manières pour la corriger.. La plus simple c'est de mettre des cales molaire et le travail transversal fera l'affaire spontanément..
--
A suivre...
Said


120 81 mdkvjo - Eugenol
Monaco

01/11/2015 à 20h25

saidkholoki écrivait:
---------------------
> alGinette écrivait:
> -------------------
>
> C'est un cas simple! Le problème orthodontique n'a pas de rapport avec son état
> général.

> --
> A suivre...
> Said


Je n'osais pas le dire ..


Picture1111 zburnd - Eugenol
saidkholoki

01/11/2015 à 20h37

Monaco écrivait:
----------------
> saidkholoki écrivait:
> ---------------------
> > alGinette écrivait:
> > -------------------
> >
> > C'est un cas simple! Le problème orthodontique n'a pas de rapport avec son
> état
> > général.
>
> > --
> > A suivre...
> > Said
>
>
> Je n'osais pas le dire ..

La difficulté du cas ne vient pas de son problème orthodontique.. C'est son état général qui demande des soins particuliers.. Mais "orthodontiquement" parlant c'est assez simple. Je suis certain qu'elle présente des problèmes respiratoires et toute expansion sera bénéfique pour elle.
--
A suivre...
Said


Alar2

02/11/2015 à 00h15

Effectivement, syndromique ou pas , au niveau orthopedique et orthodontique le cas ne semble pas presenter pas de complexitè particulière, et toute interception sera benefique.
a reevaluer en deuxieme phase.


Darmon - Eugenol
latin

02/11/2015 à 01h40

Si je puis me permettre, il y a visiblement des aficionados du quad, mais je pense que le disjoncteur c'est bien (aussi).
Une télé de face peut être utile quand on s'intéresse au sens transversal.

Edit : doublé par Monaco sur un autre fil de discussion ;-)

--
`·.¸¸.·´¯`·.¸¸.·´¯`·.¸¸.·´¯`·.¸ ><((((((º>


Picture1111 zburnd - Eugenol
saidkholoki

02/11/2015 à 02h35

latin écrivait:
---------------
> Si je puis me permettre, il y a visiblement des aficionados du quad, mais je
> pense que le disjoncteur c'est bien (aussi).
> Une télé de face peut être utile quand on s'intéresse au sens transversal.
>
> Edit : doublé par Monaco sur un autre fil de discussion ;-)
>
> --
> `·.¸¸.·´¯`·.¸¸.·´¯`·.¸¸.·´¯`·.¸ ><((((((º>

Je suis tout à fait d'accord pour la radio de face... Elle nous permet également de voir la perméabilité des fosses nasales, en plus des vrais besoins dans le sens transversal: orthopédique, orthodontique ou bien mixte.

--
A suivre...
Said


1309531 ours brun n5iukf - Eugenol
seespan

02/11/2015 à 02h35

dr_0le écrivait:
----------------

> Je ne vois pas à quel moment aginette dit qu'il débute..
> Je pense juste qu'il rencontre un cas particulier. Si on doit adresser tous les
> cas atypiques.. On risque de s'ennuyer dans le boulot!!

Vue les post d'alginette il est évident que l'on a affaire à un débutant.

--
หมอจัดฟัน


Darmon - Eugenol
latin

02/11/2015 à 02h43

saidkholoki écrivait:
---------------------
> Je suis tout à fait d'accord pour la radio de face... Elle nous permet également
> de voir la perméabilité des fosses nasales, en plus des vrais besoins dans le
> sens transversal: orthodontique, orthodontique ou bien mixte.
>
> --
> A suivre...
> Said

Je pense qu'il faut lire orthodontique, "orthopédique", ou mixte.
--
`·.¸¸.·´¯`·.¸¸.·´¯`·.¸¸.·´¯`·.¸ ><((((((º>


1309531 ours brun n5iukf - Eugenol
seespan

02/11/2015 à 02h46

Monaco écrivait:
----------------
> saidkholoki écrivait:
> ---------------------
> > alGinette écrivait:
> > -------------------


XXXXXXXXXXXXXXXXXXXXXXXXXXXXXXXXXXXXXXXXXXXXXXXXXXXXXXXXXXXXXXXXXXXX
> > C'est un cas simple! Le problème orthodontique n'a pas de rapport avec son
> état
> > général.
>
XXXXXXXXXXXXXXXXXXXXXXXXXXXXXXXXXXXXXXXXXXXXXXXXXXXXXXXXXXXXXXXXXXXX
> > A suivre...
> > Said
>
>
> Je n'osais pas le dire ..

Monaco je dois dire tu me déçois sur ce coup là. Il ne t'on pas appris a faire une recherche biblio a NYU ?

Des patients syndromique j'ai due en prendre en charge durant mon master et je continue à en traiter au Cambodge en bénévolat pour une NGO.

La règle de base face a ce type de patient c'est de commencer par voir ce que dit la littérature.


--
หมอจัดฟัน


1309531 ours brun n5iukf - Eugenol
seespan

02/11/2015 à 02h50

Perso la radio de face je ne fais que pour les cas chir.
Pour l'ortho le cliché est illisible au possible et je n'ai a ce jour pas vue un cas clinique ou une publication scientifique démontrant une utilisation concréte et utile de ce cliché. Par contre j'en ai quelque une montrant que ce n'est pas vraiment utile.

En cas de besoin d'analyse du sens transveral je recommanderais un CBCT histoire de voir vraiment ce qui se passe.

--
หมอจัดฟัน


Picture1111 zburnd - Eugenol
saidkholoki

02/11/2015 à 02h51

latin écrivait:
---------------
> saidkholoki écrivait:
> ---------------------
> > Je suis tout à fait d'accord pour la radio de face... Elle nous permet
> également
> > de voir la perméabilité des fosses nasales, en plus des vrais besoins dans le
> > sens transversal: orthodontique, orthodontique ou bien mixte.
> >
> > --
> > A suivre...
> > Said
>
> Je pense qu'il faut lire orthodontique, "orthopédique", ou mixte.
> --
> `·.¸¸.·´¯`·.¸¸.·´¯`·.¸¸.·´¯`·.¸ ><((((((º>

Tu as tout à fait raison... Merci, j'ai rectifié mon erreur de frappe.
--
A suivre...
Said


120 81 mdkvjo - Eugenol
Monaco

02/11/2015 à 06h06

seespan écrivait:
-----------------
> Monaco écrivait:
> ----------------
> > saidkholoki écrivait:
> > ---------------------
> > > alGinette écrivait:
> > > -------------------
>
>
> XXXXXXXXXXXXXXXXXXXXXXXXXXXXXXXXXXXXXXXXXXXXXXXXXXXXXXXXXXXXXXXXXXXX
> > > C'est un cas simple! Le problème orthodontique n'a pas de rapport avec son
> > état
> > > général.
> >
> XXXXXXXXXXXXXXXXXXXXXXXXXXXXXXXXXXXXXXXXXXXXXXXXXXXXXXXXXXXXXXXXXXXX
> > > A suivre...
> > > Said
> >
> >
> > Je n'osais pas le dire ..
>
> Monaco je dois dire tu me déçois sur ce coup là. Il ne t'on pas appris a faire
> une recherche biblio a NYU ?
>
> Des patients syndromique j'ai due en prendre en charge durant mon master et je
> continue à en traiter au Cambodge en bénévolat pour une NGO.
>
> La règle de base face a ce type de patient c'est de commencer par voir ce que
> dit la littérature.
>
>
> --
> หมอจัดฟัน


Pour moi la regle de base dans ce cas là est t adresser un courrier préalable au praticien qui la suit pour le syndrome.


RépondreCiter
1309531 ours brun n5iukf - Eugenol
seespan

02/11/2015 à 10h21

Monaco écrivait:
----------------

>
> Pour moi la regle de base dans ce cas là est t adresser un courrier préalable au
> praticien qui la suit pour le syndrome.

1 c'est une patiente syndromique donc elle est pas suivie par un praticien mais par des praticiens. C'est un cas pluridisciplinaire au niveau médical, comme une patient trisomique ou avec une fente palatine.

2 Et tu lui dit quoi au docteur ? Est ce que je peut faire le traitement ? Fait une recherche sur pubmed ( ce qui aurait due être ton premier reflex ) et tu vas t’apercevoir que la lecture des articles devraient t'aider pour savoir un a quel spécialiste t'adressé dans l'équipe et quelle type de question posée. Impossible de dialogué sans un minimum de connaissance.

Sinon je le répète ce n'est pas un cas pour un/e débutant/e

--
หมอจัดฟัน


RépondreCiter
120 81 mdkvjo - Eugenol
Monaco

02/11/2015 à 10h41

seespan écrivait:
-----------------
> Monaco écrivait:
> ----------------
>
> >
> > Pour moi la regle de base dans ce cas là est t adresser un courrier préalable
> au
> > praticien qui la suit pour le syndrome.
>
> 1 c'est une patiente syndromique donc elle est pas suivie par un praticien mais
> par des praticiens. C'est un cas pluridisciplinaire au niveau médical, comme une
> patient trisomique ou avec une fente palatine.
>
> 2 Et tu lui dit quoi au docteur ? Est ce que je peut faire le traitement ? Fait
> une recherche sur pubmed ( ce qui aurait due être ton premier reflex ) et tu vas
> t’apercevoir que la lecture des articles devraient t'aider pour savoir un a quel
> spécialiste t'adressé dans l'équipe et quelle type de question posée. Impossible
> de dialogué sans un minimum de connaissance.
>
> Sinon je le répète ce n'est pas un cas pour un/e débutant/e
>
> --
> หมอจัดฟัน


La certitude.. tant de certitudes, trop de certitudes.
Oui à tout. Bravo, clap clap.


Images jm2g2g - Eugenol
dr_0le

02/11/2015 à 14h48

Monaco écrivait:
----------------
> seespan écrivait:
> -----------------
> > Monaco écrivait:
> > ----------------
> >
> > >
> > > Pour moi la regle de base dans ce cas là est t adresser un courrier
> préalable
> > au
> > > praticien qui la suit pour le syndrome.
> >
> > 1 c'est une patiente syndromique donc elle est pas suivie par un praticien
> mais
> > par des praticiens. C'est un cas pluridisciplinaire au niveau médical, comme
> une
> > patient trisomique ou avec une fente palatine.
> >
> > 2 Et tu lui dit quoi au docteur ? Est ce que je peut faire le traitement ?
> Fait
> > une recherche sur pubmed ( ce qui aurait due être ton premier reflex ) et tu
> vas
> > t’apercevoir que la lecture des articles devraient t'aider pour savoir un a
> quel
> > spécialiste t'adressé dans l'équipe et quelle type de question posée.
> Impossible
> > de dialogué sans un minimum de connaissance.
> >
> > Sinon je le répète ce n'est pas un cas pour un/e débutant/e
> >
> > --
> > หมอจัดฟัน
>
>
> La certitude.. tant de certitudes, trop de certitudes.
> Oui à tout. Bravo, clap clap.


--
You can't always get what you want..


édifiant.. je crois qu'on tient notre champion 2015...
les chaussettes doivent serrer les chevilles..


1309531 ours brun n5iukf - Eugenol
seespan

02/11/2015 à 15h45

Certitude certitude certitude .....

Dite les gars l'obligation de moyen vous connaissez ?

http://www.marfan.org/download/file/fid/242/Teeth%20in%20Marfan%20Syndrome.pdf

It is important to consult with your orthodontist to determine the timing that is best for your situation
and, if there is any question, get a second opinion from another orthodontist who has treated people
with Marfan syndrome.


Sur le cas particulier de ce syndrome une lecture même rapide de quelque publication vous apprend que vous avez une structure cranio facial atypique et une courbe de croissance aussi atypique, le tout sur un patient a risque d'endocardite infectieuse.

Perso il me semble que c'est le genre d'information a connaitre avant de penser a élaborer un plan de traitement. Ca me fait aussi dire qu'il vaut mieux que le cas soit traiter par une personne ayant déjà une bonne expérience et capable de s'adapter a ce terrain atypique.

Dans le cas hypothétique ou il s'agirait d'un de mes patients ma démarche serait

1 lecture des publication disponible
2 contacte avec un orthodontiste ayant l'expérience de ce type de cas ( contacter la fondation Marfan est une option si vous n'en connaissez pas ) pour évaluation du cas et élaboration du plan de traitement en concertation avec l'équipe soignante.
3 élaboration des différentes option possible, explication au parent et consentement éclairé.


C'est le problème avec les gars qui ont le melon, tellement sur d'eux qu'il se renseigne et demande leur avis a des personnes plus compétente. Je te jure ils ont peur de rien.


Le gros avantage avec ce type de démarche c'est que dans le cas ou il n'y a aucun soucie vous le savez aussi. Et si les parents ou un fâcheux vous demande de justifier vos choix et ben vous pouvez le faire.

Les certitude evidence based il n'y a rien de mieux en dentaire; ça vous évite aussi potentiellement de gros soucis .

--
หมอจัดฟัน


RépondreCiter
120 81 mdkvjo - Eugenol
Monaco

02/11/2015 à 17h30

dr_0le écrivait:

>
>
> édifiant.. je crois qu'on tient notre champion 2015...
> les chaussettes doivent serrer les chevilles..


Tu parles de moi là ?
Ou de seespan ?


Bref pour le reste, je vois pas en quoi appeler le praticien qui suit pour le marfan, ou l'équipe comme tu veux c'est mal ?
M'enfin si on ne jure que par pubmed ..


120 81 mdkvjo - Eugenol
Monaco

02/11/2015 à 17h35

tu vas me dire que c'est pas relevant ça ?


http://www.angle.org/doi/pdf/10.2319/112707-558.1

Patients with Marfan syndrome can undergo ortho-
dontic treatment, just as their healthy counterparts do.


12