Cookie Consent byPrivacyPolicies.comimpossible de régler mon nouveau Flash... - Eugenol

impossible de régler mon nouveau Flash...

Dentiste oa9i0v - Eugenol
DavierCrocket

03/11/2015 à 14h42

Bonjour,

je possède un boitier Canon eos 600d qui fonctionnait jusque là très bien avec un flash annulaire.

ce dernier m'ayant léché, j'ai acquis un flsh Metz 15MS-1 sans fil et depuis impossible de retrouver une qualité de photos équivalente: j'ai déposé mon appareil (révisé) chez le photographe pour qu'il étudie les réglages: les meilleurs résultats obtenus se font:
- en mode manuel
- vitesse 1/60
- ouverture F20
- iso 400.
- balance des blancs en mode Flash

je suis cependant loin du résultat habituel; c'est gris, manque de contraste,...

Y a til quelqu'un qui a la même configuration que moi avec de bons résultats?

merci d'avance

Jérôme

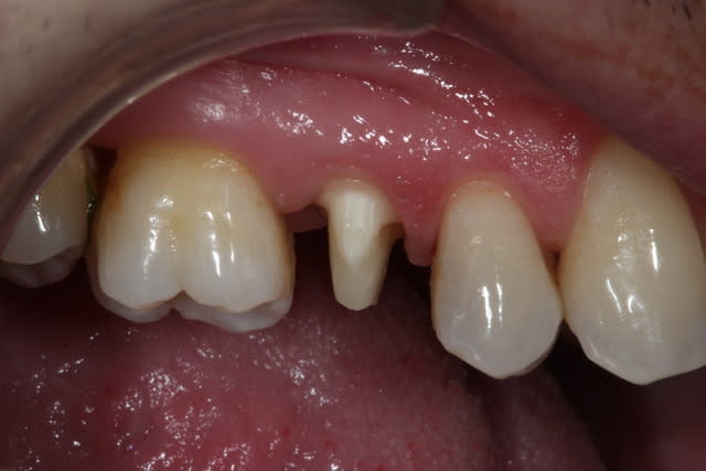
Img 4127 a0hcq1 - Eugenol
Img 4228 g7cdhe - Eugenol
Img 4250 ynbgus - Eugenol

Dentiste oa9i0v - Eugenol
DavierCrocket

03/11/2015 à 14h44

DavierCrocket écrivait:
-----------------------

> ce dernier m'ayant léché, j'ai acquis un flsh Metz 15MS-1 sans fil et depuis...

j'espère que ce fourchement de langue suscitera l'intérêt de mon sujet


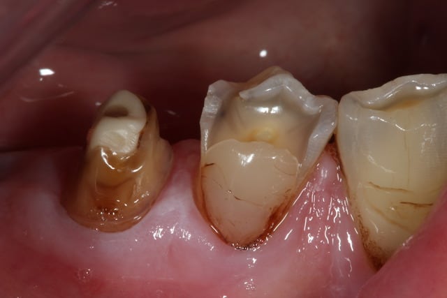
Dents t2cri9 - Eugenol
FGR

03/11/2015 à 15h12

question bete, le reglag sur flash est bien en ETTL ?


boskitos

03/11/2015 à 15h48

Y a pas, le MR14 de canon est meilleur

Il me semble que ce n'est pas un vrai flash annulaire, mais un éclairage bilatéral. Ca peut avoir ses avantages pour gérer les ombres mais à priori en bouche ce n'est pas top.

Perso j'utilise les réglages suivants sur le boitier : 1/100e F16 Iso 200 et au besoin j'augmente la correction d'expo sur la télécommande du flash à +1

Regarde aussi si une correction d'exposition du flash n'est pas active sur ton boitier (menu / onglet rouge / Cor expo flash sur mon 400D)


G-P

03/11/2015 à 16h02

Pas de E-TTL en sans fil avec ton flash, juste du TTL...


003 penrd2 - Eugenol
Cingulum

03/11/2015 à 16h51

Elles me plaisent bien tes photos.
Aprés changer de flash c'est changé la couleur de la lumière
Je regarderai pour deplacer la balance vers la teinte qui te plait le plus.

Tu peux aussi jouer sur la compensation du flash sur +0,5 ou +1 IL si elles te paraissent un peu sous exposé. C'est dans le menu flash du boitier

--
Dr Cingulum
-----Ancien interné----
----Attaché à l'apex----
http://www.clinic-all.fr/ formation par passion