Cookie Consent byPrivacyPolicies.comreconstitution pré endo - Eugenol

reconstitution pré endo

3231500709 2 2 94jcbpqu h1bmap - Eugenol
T4xus

18/11/2015 à 15h18

chicot29 écrivait:
------------------

> Encore plus pratique, tu n'as pas besoin de les enlever si c'est bien collé (

Ben en fait quand tu fais une reconstitution pré-endo je ne pose pas la digue et je ne laisse pas un composite collé sans la digue. Mais la vraie raison (parce qu'effectivement je pourrai faire mes RPE sous digue) c'est qu'après une endo, je fais quasi-systématiquement une reconstitution partielle collée et j'évite de multiplier les interfaces, j'enlève donc tous le composite résiduel sur la dent.

> il suffit de faire ton tenon et
> ta RCR au milieu dans la cavité d'accès, a moins bien sur de faire un inlay core
> sous la couronne ......-))))

Je ne fais plus d'IC et assez peu de RCR car je trouve qu'il y a souvent assez de surface de collage sans avoir besoin d'aller en chercher dans un canal où d'ailleurs le collage est de moins bonne qualité (la dentine radiculaire ayant moins de tubuli).

> Et tout ceci dans la même séance que l'endo ca évite de poser la digue 2 fois en
> 2 rdv -))))

De toute façon je pose la digue une deuxième fois pour la mise en place de la restauration partielle collée. Dans le cas d'une endo sur incisive-canine avec beaucoup de tissu résiduel, effectivement je dépose la RPE, dépose la digue, et je repose la digue pour faire le composite...

Le Choixpeau magique écrivait:
------------------------------

> J'adore !
>
> Comme l'autre fois le gars qui prend 1200 euros la couronne et qui me fait "ce
> n'est pas une question de lieu d'installation", et qui est installé dans
> l'arrondissement le plus cher de Paris, mais non non, rien à voir....

Il y a de tout dans ma patientèle, des gens fortunés et d'autres beaucoup moins. Perso, ça me fait chier que tu compares avec un mec qui fait ses couronnes à 1200€ (ce que je trouve exagéré comme honoraires) avec moi qui prend au max 180€ pour en endo dont on sait tous que les honoraires sont largement sous évalués. 270€ pour une endo molaire de la manière dont je la fais, ce n'est absolument pas cher et ce n'est pas parce que tout le monde ne fais pas comme moi qu'il faut faire un parallèle avec un confrère qui pratique des honoraires élevés, parce que je ne me considère pas dans cette catégorie. Ça me fait rire, tout le monde gueule contre le système depuis des années, comme quoi les honoraires des soins sont honteusement bas, comme quoi on travaille à perte si on respecte les dernières données acquises de la science et quand un dentiste dit qu'il a trouvé le moyen de se faire honorer correctement sur les soins, on lui rentre dans le lard et on fait des comparaisons douteuses...
Et quand je dis que c'est question de choix je le pense réellement. De toute façon, vous allez faire quoi? Continuer à gueuler en pure perte pendant des années ou faire en sorte d'être rémunérés correctement et légalement sur les soins avec les outils que la CCAM vous donne?
Alors ok, je ne suis pas le dernier à gueuler, mais au moins j'agis pour essayer de ne plus faire un seul soin à perte et cela ne mérite pas d'être comparé à un mec qui a franchis la frontière du tact et mesure.

m4rco écrivait:
---------------

> Comment fais-tu pour remonter aussi bien tes parois et sans être gêné par la
> gencive ?

Tu peux faire comme quand tu fais une remontée de marge : éventuellement éviction gingivale avec laser ou fraise céramique + digue + matrice sectionnelle + coins de bois.


DentaMania

18/11/2015 à 15h20

Pour en revenir à la reconstitution pré-endo, peut-on la facturer lors d'une pulpotomie faite en urgence chez un patient qui n'est pas du cabinet et qui ne reviendra pas?
Parce qu'en théorie on n'a même pas le droit de coter la C pour une pulpo...
(Je sors tout juste de la fac!)


3231500709 2 2 94jcbpqu h1bmap - Eugenol
T4xus

18/11/2015 à 15h24

DentaMania écrivait:
--------------------
> Pour en revenir à la reconstitution pré-endo, peut-on la facturer lors d'une
> pulpotomie faite en urgence chez un patient qui n'est pas du cabinet et qui ne
> reviendra pas?
> Parce qu'en théorie on n'a même pas le droit de coter la C pour une pulpo...
> (Je sors tout juste de la fac!)

Ben théoriquement oui, si tu fais ta RPE lors de la pulpo, sauf que si tes honoraires sont > à 70€ tu devras faire un devis et attendre le délai de 15 jours qui va avec...


Capture d  cran 2015 03 12 12.28 - Eugenol
chicot29

18/11/2015 à 15h32

T4xus écrivait:
---------------

> > Comme l'autre fois le gars qui prend 1200 euros la couronne et qui me fait "ce
> > n'est pas une question de lieu d'installation", et qui est installé dans
> > l'arrondissement le plus cher de Paris, mais non non, rien à voir....
>
> Il y a de tout dans ma patientèle, des gens fortunés et d'autres beaucoup moins.
> Perso, ça me fait chier que tu compares avec un mec qui fait ses couronnes à
> 1200€ (ce que je trouve exagéré comme honoraires) avec moi qui prend au max 180€
> pour en endo dont on sait tous que les honoraires sont largement sous évalués.
> 270€ pour une endo molaire de la manière dont je la fais, ce n'est absolument
> pas cher et ce n'est pas parce que tout le monde ne fais pas comme moi qu'il
> faut faire un parallèle avec un confrère qui pratique des honoraires élevés;

270 euros l'endo tu es déconventionné ? Ou ta reconstitution pré endo est à 188,06 pour etre précis ? ( ce qui est un peu cher à mon avis lol !). Tu vois mon ic est à 367 ( dont 20 euros de reconstitution pré endo pas détaillé par contre lol !) euros et ma ceram à 320, ca évite de faire des phrases. On utilise les memes techniques de facturation finalement. -))))


3231500709 2 2 94jcbpqu h1bmap - Eugenol
T4xus

18/11/2015 à 15h53

270€ ce n'est pas cher vu l'acte. Si je m'écoutais, l'endo serait à 500€, comme dans un pays civilisé.
Après je ne fais pas d'IC et peu de couronnes, nos honoraires sont identiques mais répartis différemment.


sagito

18/11/2015 à 15h54

Le Choixpeau magique écrivait:
------------------------------
> Ou les mecs qui te disent qu'ils sont biomimétiques, qu'ils ne font que des
> onlays, et puis quand tu regardes leur fiche sur ameli direct tu vois que ce
> sont les champions des inlay core ;)


ou les mecs qui se disent les rois de la facette qu' ils cotent en fait comme des couronnes (ex spr50)
c'est sur que c'est plus facile d'en faire non ?


sagito

18/11/2015 à 15h57

chicot29 écrivait:
------------------
> Pour en revenir au sujet : peak universal bond sans etching et luxa core ca
> prend 2 mn. et je vais en chier pour la virer. -))))


et quand tu mets le clamp ça explose pas tout l'ensemble? (c'est juste une question pas une critique)


Capture d  cran 2015 03 12 12.28 - Eugenol
chicot29

18/11/2015 à 16h28

jamais. pas avec ces produits.


Image saznoz - Eugenol
Hodina

18/11/2015 à 17h33

Est ce que quelqu'un a des vidéos de reconstitution pre-endodontique?
Chicot, as tu une caméra et pourrais tu filmer ?
Ce serait intéressant


--
😁😁😁😁😁😁
Le Blog dentaire.
www.arcad-dentaire.fr
((-----Vivre le sourire Hollywoodien-----))


Little shop of horrors brzqjx - Eugenol
chatondecarte

18/11/2015 à 23h23

sagito écrivait:
----------------
>
> ou les mecs qui se disent les rois de la facette qu' ils cotent en fait comme
> des couronnes (ex spr50)
> c'est sur que c'est plus facile d'en faire non ?


Sauf qu une facette c'est plus long, plus compliqué et donc moins rentable. Alors faire une facette au lieu d'une couronne c'est déjà un bel effort.

--
Mon book de chirurgie :
http://facebook.fr/drbbenichou


1 pdnfdy - Eugenol
m4rco

20/11/2015 à 10h28

Hodina écrivait:
----------------
> Est ce que quelqu'un a des vidéos de reconstitution pre-endodontique?
> Chicot, as tu une caméra et pourrais tu filmer ?
> Ce serait intéressant
>
>
> --
> 😁😁😁😁😁😁
> Le Blog dentaire.
> www.arcad-dentaire.fr
> ((-----Vivre le sourire Hollywoodien-----))


J'osais pas le demander ! Ça m'intéresserait beaucoup aussi !

--
Si tu ne sais pas, demande.
Si tu sais, partage !


Capture d  cran 2015 03 12 12.28 - Eugenol
chicot29

20/11/2015 à 13h14

En fait il faut un matériau suffisamment fluide pour s'étaler mais pas trop pour pouvoir le monter. Et on s'en branle que ca déborde vu qu'on le retaille ou on le supprime après.
Cet acte est d'ailleurs un excellent moyen de vérifier la capacité d'adhésion de vos adhésifs. -)))


Capture d  cran 2015 03 12 12.28 - Eugenol
chicot29

23/11/2015 à 14h15

Bon évidemment dans certains cas ca déborde un peu. -))))
Ca dégage meme lors de l'extraction de la dent distale. -)))))

Capture d e cran 2015 11 23 13.13 - Eugenol

Capture d  cran 2015 03 12 12.28 - Eugenol
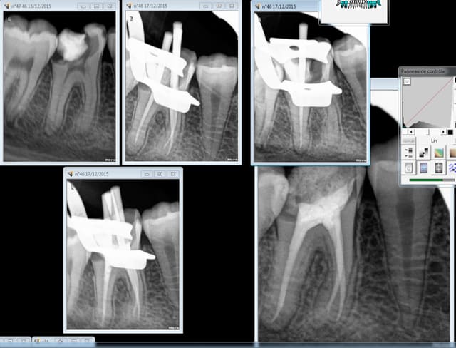
chicot29

17/12/2015 à 12h10

Bon là ca s'est barré à la fin. -)))))

Endo moyenne.

Capture d e cran 2015 12 17 11.04 - Eugenol
Capture d e cran 2015 12 17 11.04 - Eugenol
Capture d e cran 2015 12 17 11.07 - Eugenol

8tercecn7hisbbqbde2nil4nyxrw - Eugenol
Hanibalecter

25/02/2016 à 18h08

J'aimerai bien connaitre votre protocole opératoire pour faire la reconstitution pré endo

- Dans quel cas vous la faite ou vous ne la faite pas ?
- Vous gardez cette reconstitution meme pour la réalisation du faux moignon collé ? Vous utilisez le meme matériau ? avec ou sans tenon fibré/titane ?
- Comment faite vous pour que le matériau ne fuse pas dans les canaux ? boulette de coton ?
- Comment faite vous pour avoir un collage étanche si on ne peut pas poser la digue ?
- Comment expliquez vous au patient la facturation de cet acte ?


Capture d  cran 2015 03 12 12.28 - Eugenol
chicot29

25/02/2016 à 20h42

Hanibalecter écrivait:
----------------------
> J'aimerai bien connaitre votre protocole opératoire pour faire la reconstitution
> pré endo
>
> - Dans quel cas vous la faite ou vous ne la faite pas ?

Je la fais quand je ne peux pas mettre de crampon.

> - Vous gardez cette reconstitution meme pour la réalisation du faux moignon
> collé ?
Non , ca se termine en IC ( dent délabrée++++)

> - Comment faite vous pour que le matériau ne fuse pas dans les canaux ? boulette
> de coton ?

Je la fais avant d'ouvrir la chambre, curetage de la dentine ramollie puis reconstitution.

> - Comment faite vous pour avoir un collage étanche si on ne peut pas poser la
> digue ?

Optragate linguafix.

> - Comment expliquez vous au patient la facturation de cet acte ?

Ca passe en ED sur la couronne et l'ic dont le devis a été préalablement établi et accepté par le patient c'est plus prudent par ces temps de réseaux on est pas les larbins des signataires de ces merdes . -)


8tercecn7hisbbqbde2nil4nyxrw - Eugenol
Hanibalecter

26/02/2016 à 11h54

On ne peut pas se servir de la reconstitution pré endo pour ensuite faire notre HBMD042 (Restauration d'une dent par matériau inséré en phase plastique avec ancrage radiculaire) ?

Au fait ca arrive vous de faire un pilier (mais sans ancrage) avec un matériau plastique ? On cote quoi ? Dans quel cas c'est indiqué de ne pas mettre d'ancrage ?


Capture d  cran 2015 03 12 12.28 - Eugenol
chicot29

26/02/2016 à 16h17

tu comptes reconstitution x faces.


David B

27/02/2016 à 00h44

Hanibalecter écrivait:
----------------------
> J'aimerai bien connaitre votre protocole opératoire pour faire la reconstitution
> pré endo
>
> - Dans quel cas vous la faite ou vous ne la faite pas ?

quasiment à chaque fois

> - Vous gardez cette reconstitution meme pour la réalisation du faux moignon? collé ? Vous utilisez le meme matériau ? avec ou sans tenon fibré/titane ?

je ne la garde jamais, elle est juste là pour étanchéifier donc je la fait la plus fine possible. En général 0,5 MM d'épaisseur montée contre une matrice sectorielle.

> - Comment faite vous pour que le matériau ne fuse pas dans les canaux ? boulette de coton ?Comment faite vous pour avoir un collage étanche si on ne peut pas poser la
> digue ?

j'utilise du vertise de kerr, c'est du composite auto adhésif fluide en seringue. il ne me sert qu'à ça. Je le trouve très simple d'utilisation. Il n'y a pas besoin de protéger les entrées canalaires.

> - Comment expliquez vous au patient la facturation de cet acte ?

c'est nécessaire pour effectuer l'endo correctement. voilà ça ne sert à rien d'expliquer davantage à part perdre du temps


Kingsu

27/02/2016 à 10h51

T4xus écrivait:
---------------
> Pour les CMU c'est pareil. Il m'arrive d'adapter les honoraires en fonction des
> moyens du patient.
>
> Sinon un petit truc bien pratique : je fais mes reconstitutions pré-endo avec du
> compo bleu (je ne sais plus le nom mais à la base c'est fait pour les RCR),
> comme ça pas de prise de tête pour l'enlever à la fin, tu vois parfaitement la
> limite entre dent et composite.

Moi ce qui m'intéresse, c'est le nom de ce compo bleu?


Capture d  cran 2015 03 12 12.28 - Eugenol
chicot29

31/03/2016 à 21h02

je suis toujours surpris par la force des collages. Meme monté fin la paroi de la reconstitution pré endo tient le choc face au crampon. -)

C'est quand meme curieux cette zone radio claire entre le luxacore et la dent , excès d'agent de liaison ? Parce que espace il n'y a pas.

Capture d e cran 2016 03 31 18.54 - Eugenol
Capture d e cran 2016 03 31 18.59 - Eugenol

Capture d  cran 2015 03 12 12.28 - Eugenol
chicot29

31/03/2016 à 21h15

Alors ici ca a été simple de ne pas facturer la reconstitution pré endo HBMD006 remboursement 0 mais un IC à 500 % ( soit 612,75 euros lol !) ca laisse de la marge hein ? -)))
Qu'est ce que tu en pense de ton avancée en acte NPC de ta reconstitution pré endo , YOBI ? -))))

Question pour l'ic ou s'arrête le tact et mesure ? LOL ! -)

Capture d e cran 2016 03 31 19.11 - Eugenol

Hok 1b hgd3rj - Eugenol
Hokusai

31/03/2016 à 21h36

Kingsu écrivait:
----------------

> Moi ce qui m'intéresse, c'est le nom de ce compo bleu?

Moi j'utilise l'ultradent lc block-out resin, je m'en sert pour "étanchéifier" autour du crampon mais si tu veux monter une paroi qui doit supporter le crampon ça risque de pas tenir.


Capture d  cran 2015 03 12 12.28 - Eugenol
chicot29

02/06/2016 à 19h41

Celle là j'aurais pas cru qu'elle irait jusqu'au bout.

https://www.dropbox.com/s/dsfwis6xng8jdld/Capture%20d%27%C3%A9cran%202016-06-02%2019.14.35.png?dl=0


Capture d  cran 2015 03 12 12.28 - Eugenol
chicot29

15/05/2017 à 15h48

Une autre au luxacore.


--
En cas d'échec des négociations conventionnelles, seriez-vous prêt à suivre la promotion d'un déconventionnement massif de la profession par les syndicats représentatifs ? OUI - NON
Participez, anonymement, sur https://goo.gl/forms/nAO0htnsVmxotjYm1

Capture d écran 2017 05 15 15.40 - Eugenol

12