Tous les forums
Ca vous inspire quoi ?
06/11/2015 à 17h59
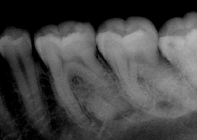
Patiente, 25 ans, dents impeccables, juste une sensation un peu douloureuse secteur 3 à la mastication depuis quelques jours.
Image assez "classique", ce qui m'interroge c'est la symptomatologie.
http://docbay.fr
Matériel pro moins cher
_______________________
06/11/2015 à 18h10
bourrage alimentaire 35 36? (semble trop simple)
Est-ce habituel avec ton capteur "l'image osseuse" au niveau des racines des molaires?
06/11/2015 à 18h20
Non pas de bourrage alimentaire, c'est ma radio qui est trop sombre, je l'ai un peu forcée pour plus de netteté.
C'est l'image de condensation osseuse que je trouve "classique" pour ne pas dire fréquente mais généralement c'est asymptomatique, c'est ce qui m'étonne.
http://docbay.fr
Matériel pro moins cher
_______________________
06/11/2015 à 20h02
Non pas de caries, mes radios sont prises sans angulateur et forcées vers le sombre.
http://docbay.fr
Matériel pro moins cher
_______________________
07/11/2015 à 12h04
Pour les caries inter proximales, rien de mieux que des Btw.
Ensuite essaie d utiliser un angulateur tu auras des images plus facilement interpretables pour tes radios apicales.
Sinon on devine, tartre mesial de 38, poche paro debutante, carie email 36 distal 38 mesial a confirmer par une belle btw...
Ensuite une radio apicale orthocentree permettra de mieux definir l image radiodense au niveau de la racine de 36.
07/11/2015 à 12h43
Merci à tous de vos réponses.
Je recommence ;-)
douleurs uniquement à la mastication, aucun rapport avec d'hypothétiques microscopiques caries amélaires.
La question que je me pose c'est de savoir si l'image de condensation osseuse relativement classique peut avoir un rapport avec ces douleurs.
Elle doit faire un panoramique.
Pour les radios gros capteur petite bouche, je n'ai jamais trouvé d'angulateur satisfaisant.
http://docbay.fr
Matériel pro moins cher
_______________________
07/11/2015 à 15h28
La 38 semble semi-incluse ?
Tartre 37-38
La 38 est utile ? Si non, exo, si oui tx paro et suivi
--
Céramik
29/11/2015 à 19h06
J'ai revu la patiente, toujours douleurs plus ou moins importantes dans ce secteur.
36 réagit à la percussion, test au froid positif.
Rien de particulier à la pano, juste cette image osseuse bizarre.
Pensez-vous qu'un cbct puisse apporter plus ?
30/11/2015 à 22h30
Je pense que t'as une reprise carieuse sous le composite occlusal de 38. La douleur à la mastication peut-être du à un effet de pompage du composite sur la carie sous-jacente.
Sinon, test de morsure sur 35, 36, 37 et 38 pour vérifier qu'il n'y ait pas de fêlure.
01/12/2015 à 00h34
Merci pour vos réponses.
Je ne pense pas qu'il s'agisse d'une fêlure, pas de sondage et test de morsure peu concluant, c'est vraiment une douleur à la percussion.
Par contre je me suis rendu compte que la 26 était aussi un peu sensible, peut-être un problème de surcharge occlusale ?
Ce qui m'interroge depuis le début c'est l'image osseuse apicale... qui détourne peut être aussi mon jugement... :-)
http://docbay.fr
Matériel pro moins cher
_______________________
02/12/2015 à 16h33
mrquentin écrivait:
-------------------
> je mets un billet sur la nécrose de 36
Test au froid (très) positif.
02/12/2015 à 16h36
Sinon comment rédigeriez-vous l'ordonnance pour un cone beam d'exploration de la zone radiculaire de cette 36 ?
03/12/2015 à 12h24
enlaye écrivait:
----------------
> La 26 est une dent naturelle ?
> Et est ce qu'elle a plus mal le matin ?
pour la 26 oui.
seconde question je ne sais pas.
Je sens venir le dérapage là... ;-)))
Quelqu'un pour me dire comment rédiger l'ordo pour le cbct ?
Merci.
03/12/2015 à 13h49
Mr X
Cone beam semi millimétré (ou millimétré comme tu veux) centré sur 36 37 38 pour recherche de foyer infectieux
Merci
Signature