Cookie Consent byPrivacyPolicies.comDifficulté pour faire un diagnostic - Eugenol

Difficulté pour faire un diagnostic

8tercecn7hisbbqbde2nil4nyxrw - Eugenol
Hanibalecter

07/11/2015 à 11h16

Bonjour, j'ai eu une nouvelle patiente (28 ans) tout à l'heure qui se présente en ayant une gène à la mastication sur le secteur molaire maxillaire gauche (uniquement en mangeant)
Pas de douleur au froid ni au chaud

Au niveau de l'examen clinique:
très bonne hygiène bucco dentaire,
pas de plaque, pas de caries.
Sondage paro RAS (pour éliminer une éventuelle fracture radiculaire)
Pas de mobilité notable sur les dents, peut etre la 38 (mobilité un peu plus forte que les autres).

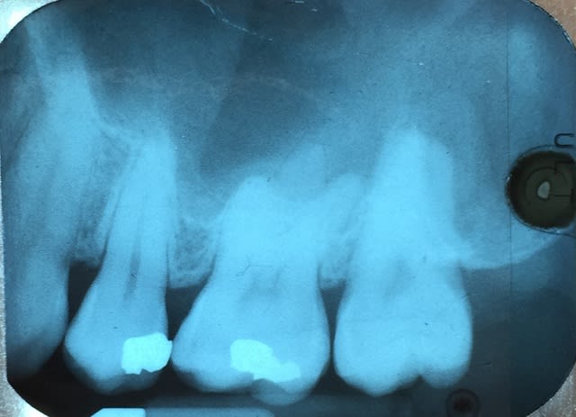
Compte tenu de la radio et de l'élargissement desmondontal au niveau de la 25 et 26, je suspecte plutôt une prématurité, mais bon j'en suis pas sur du tout.

La patiente n'était pas très chaud pour faire quelques coronoplastie légère, je n'ai donc pu que retoucher les amalgames mais je pense que j'aurais du retoucher la 38 qui, selon moi, paraissait avoir une grosse prématurité en propulsion et qui aurait etre retouché.
Elle ne comprenait pas pourquoi je voulais retoucher la 38 alors qu'elle avait mal en haut (je me suis surement mal pris pour lui expliquer)

Vous en pensez quoi ? Vous auriez fais quel test supplémentaire ? Quel diagnostic différentiel ?

Img 0442 iawvd7 - Eugenol
Img 0441 ujtwqd - Eugenol

G-P

07/11/2015 à 12h05

J'aurai proposé d'extraire la 38, qui n'a pas d'antagoniste. La retoucher ne fait que retarder l'échéance.


8tercecn7hisbbqbde2nil4nyxrw - Eugenol
Hanibalecter

07/11/2015 à 13h39

Oui mais le probleme c'est que je ne suis pas sur qu'il y'ait une surcharge occlusal.
L'élargissement desmodontal + douleur a la mastication suffit a poser le diagnostic ?


Olieve

07/11/2015 à 13h50

Elle ne serait pas simplement enrhumée avec un peu de sinusite maxillaire ?


8tercecn7hisbbqbde2nil4nyxrw - Eugenol
Hanibalecter

07/11/2015 à 14h42

Non je lui aussi posé cette question, elle n'est pas enrhumé. Mais il reste possible que cela soit une sinusite chronique.
J'ai oublié de préciser qu'elle a cette gène depuis 1 mois environ.


Cd7ab0fb be26 42ce a229 3d3cb85fbdc0 wqmnyz - Eugenol
dorado

07/11/2015 à 14h52

le sinus est très volumineux

+1 pour une douleur due à une sinusite
envoie-la chez ton ORL préféré


Smile beach jgh0a1 - Eugenol
Céramik

07/11/2015 à 15h24

Bye bye la 38 et consult ORL

--
Céramik


lachmar

09/11/2015 à 12h08



ne jamais perdre de vue qu'une sinusite maxilaire unilatérale est dans 98% des cas d'origine dentaire