Cookie Consent byPrivacyPolicies.comfacette et CCC - Eugenol

facette et CCC

levm

08/11/2015 à 00h50

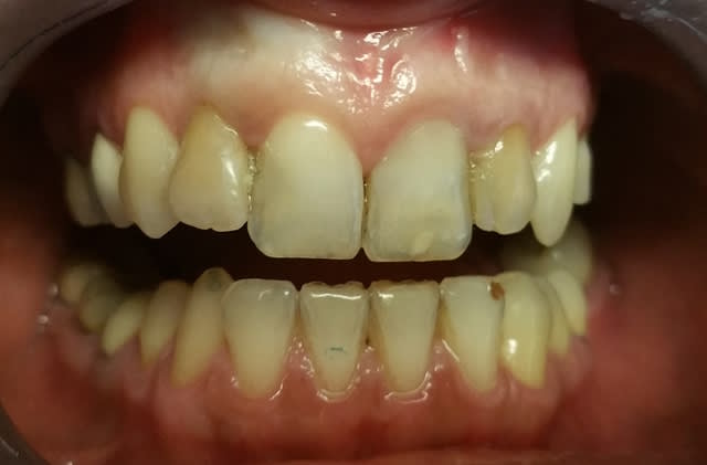
12 22 ,21 et 24 . 11 avec un compo distale
J'ai fait une résection apicale sur 22 qui a bien cicatrisé.
Pour l'instant , elle est sous composite mais ok pour un traitement prothétique.
Je pensais 12 et 22 21 en CCC en emax et facette sur 11 une facette .
Pour la 14 pareil , emax dessus.
Si quelqu'un a un bon prothésiste sur paris qui gere bien ca . Je suis preneur.
Je bossais avec un trés bon labo réputé sur paris mais la qualité n est plus là depuis qu il a été repris .

Capture d  cran 2015 11 07   23.38 - Eugenol
Past ioc0g5 - Eugenol