Cookie Consent byPrivacyPolicies.comPrecautions a prendre? - Eugenol

Precautions a prendre?

aterman

09/11/2015 à 12h31

Patiente de 68 qui vient pour douleurs recurrentes depuis 5 mois au niveau de 46.
Radiotherapie pour cancer des amygdales il y a 20 ans...cancer du sein il y a 5 ans. Se dit aujourd hui en bonne sante et controlee regulierement.

Votre diagnostic, et precautions a prendre avant extraction de 46?

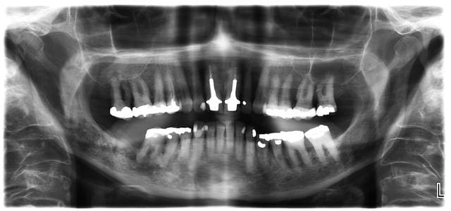
2015 11 03 4 log1ts - Eugenol
2015 11 03 1 sfwo9h - Eugenol

Photo pluton1b h9n4ea - Eugenol
pluton

09/11/2015 à 12h42

aterman écrivait:
-----------------
Se dit aujourd hui en bonne sante et controle regulierement.

j'aime pas trop ce que je vois à la pano secteur 4...l'os me semble bizarre...ou alors la pano est mauvaise...

de plus radiothérapie de la sphère ORL donc =>j'adresse au service ORL/stomato car il y a un risque non négligeable d'avoir une ostéoradionécrose avec la chir...si c'est pas déjà çà qui est responsable du problème sur cette 46...


aterman

09/11/2015 à 13h12

Bien joue Pluton!!!

Osteoradionecrose+infection peri apicale 46, on extraie la semaine prochaine. La patiente veut pas se taper les 20 sceances d oxygenotherapie en caisson hyperbare et les 10 autres post ex.

Dans ce cas, ce sera antibios 10 jours a commencer 2 jours avant et on croise les doigts...

Elle est prevenue que ca peut mettre beaucoup de temps a cicatriser.


Blocperso talon jer3sl - Eugenol
mrquentin

10/11/2015 à 11h20

de mon point de vue c'est déjà bien la merde.
J'ai fais une seule chir sur un truc comme ca, ca s'est suuuper mal passé...
Si c'est toi qui le fais:
Surtout pas de lambeau
surtout pas d'adénaline pour ton anesthésie
atb jusqu'à fermeture totale des berges
petites éponges de collagène+ petites sutures sans tension.
une centaine de cierges.

Mais perso je ne le ferais pas, j'enverrais à l'hosto.


marteau

10/11/2015 à 12h06

Patient à envoyer rapidement au service ou cabinet de chir orale le plus proche pour prise en charge : je ne pense pas que tu auras de la colle biologique pour fermer hermétiquement la zone d'avulsion.
Et vu la photo, il y a déjà une zone d'ostéo-nécrose, selon la taille du séquestre osseux, il va falloir retirer une bonne quantité d'os.

... Bref, si j'étais toi, je ne me lancerais pas là dedans !!!


aterman

10/11/2015 à 12h52

merci pour vos conseils..

Je bosse au service de stomato de l hosto donc la patiente a plus trop le choix.
Ce sera une 100aine de cierges..

ps: j ai de la colle biologique :0)) jamais servie encore.


marteau

10/11/2015 à 17h41

Je mettrai un cierge aussi ;)

Bon courage pour la colle bio, ça prend très vite et ça coute un bras.


Image r6habu - Eugenol
Thomas Crown

10/11/2015 à 17h50

enlever une 46 sans adré ? chapeau, j'essaye même pas..


touriste62

10/11/2015 à 18h33

Salut, profites en pour envoyer un bout de nonos à biopsier on ne sait jamais avec ces antécédents, une recidive est toujours possible...
Bien corialement


BucaR

10/11/2015 à 18h33

service stomatologie qui pourra surveiller régulièrement sur le long terme et gérer les complications.