Cookie Consent byPrivacyPolicies.comQue faire? - Eugenol

Que faire?

EpineDeSpix2

12/11/2015 à 17h59

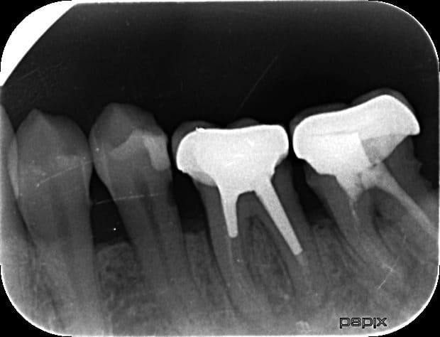
Bonjour, patiente qui a de temps en temps des douleurs sur 36 et qui me dit avoir déjà eu un abcès.

Au vu de la présence d'un inlay core clavette et de pivots très longs, vous tentez quand meme un retraitement de la dent?
Ou vous adressez directement chez l'implanto ?
Ai je une chance de desceller cet inlay core?

J'ai bien sur prevenu la patiente du risque d'extraction et implant en cas d'echec du RTE

Avis cofnpy - Eugenol

carident

12/11/2015 à 18h22

Il faut soit couper prudemment l'ICC en 2 dans le sens VL (cela peut être très laborieux, prévoir 2 ou 3 fraises transmétal), soit essayer de faire remonter la clavette située en D à l'aide d'inserts ultrasonore...

C'est largement faisable, mais jamais sans risque... Cela dit, au pire c'est l'extraction et l'implant. C'est toujours mieux que de faire l'extraction directe, non?

Perso, je ferais la 37 aussi... Prévoir une séance d'une de 90 minutes, voir de 2 heures, pour la dépose des 2 couronnes, des ic, et pour faire les couronnes provisoires + la carie en D de 35...


EpineDeSpix2

12/11/2015 à 18h26

ok merci, je me demandai s'il fallait tenter le coup ou passer directement à l'extraction/implant!

en effet faut tout tenter pour conserver, mais des fois on est moins confiant que d'autres ;-)


carident

12/11/2015 à 18h32

EpineDeSpix2 écrivait:
----------------------
> ok merci, je me demandai s'il fallait tenter le coup ou passer directement à
> l'extraction/implant!
>
> en effet faut tout tenter pour conserver, mais des fois on est moins confiant
> que d'autres ;-)

on ne devient pas confiant pas un coup de baguette magique...
A force de faire des déposes d'ic et des retraitements, on fini par le faire plus vite et mieux...

C'est en forgeant qu'on devient forgeron ;-)

Après c'est au patient de choisir s'il veut veut payer une certaine somme d'argent pour la dépose et le retraitement sans être sûre de la réussite du retraitement...


6szjws718sv1jksw54v4mpj3a6cu - Eugenol
vulpi

12/11/2015 à 19h11

35 distal?


Vw campersurfvan bmnk1q - Eugenol
enlaye

12/11/2015 à 19h31

vulpi écrivait:
---------------
35 distal?

+1
eh , bin sur :-))
un syndrome du septum qui a fait une carie radiculaire .


carident

12/11/2015 à 19h48

enlaye écrivait:
----------------
> vulpi écrivait:
> ---------------
> 35 distal?
>
> +1
> eh , bin sur :-))
> un syndrome du septum qui a fait une carie radiculaire .

Quand on voit l'adaptation des deux couronnes... C'est à peine surprenant! :-p


Capture d  cran 2015 03 12 12.28 - Eugenol
chicot29

12/11/2015 à 20h44

Je vois qu'il y a des pros de l'endo et de l'inlay core à clavette partout. -))))

Ici parulie inter radiculaire sur endo convention sécu-CNSD.

On va essayer de faire pareil sur la 17 voire meme sur la 15 pour un petit bridge sur inlay core sécu-CNSD histoire de bien solvabiliser le patient.
Il n'y a pas de raison bien ou mal c'est le meme tarif.
Qu'en pensez vous ?-))))

Ah ? on me dit dans l'oreillette que c'est pas la cnsd qui a fait passer les inlays core mais l'ujcd ( réévaluation soit disant responsable d'ailleurs selon yobi de la non réévaluation des soins conservateurs). Ceci dit la cnsd a remis une deuxième couche de solvabilité qui fait trembler les 2 ièmes piliers sains. -))))

Capture d e cran 2015 11 12 a  19.42 - Eugenol

Capture d  cran 2015 03 12 12.28 - Eugenol
chicot29

12/11/2015 à 21h03

enlaye écrivait:
----------------
> vulpi écrivait:
> ---------------
> 35 distal?
>
> +1
> eh , bin sur :-))
> un syndrome du septum qui a fait une carie radiculaire .

Ca c'est la cerise sur le gateau. c'est beau de solvabiliser de proche en proche ! -))))


Capture d  cran 2015 03 12 12.28 - Eugenol
chicot29

12/11/2015 à 21h12

EpineDeSpix2 écrivait:
----------------------

> Ai je une chance de desceller cet inlay core?

Bien sur, fraise komet black and white ( ca rentre dans le métal comme dans du beurre) tu coupes l'inlay core en 2 et tu vires les 2 pivots un par un. Ca prend 5 mn.
Pour le rte par contre c'est pile ou face. Dans tous les cas tu vas te faire plus chier que celui qui a réalisé ces chefs d'oeuvres.


carident

12/11/2015 à 21h13

chicot29 écrivait:
------------------
> enlaye écrivait:
> ----------------
> > vulpi écrivait:
> > ---------------
> > 35 distal?
> >
> > +1
> > eh , bin sur :-))
> > un syndrome du septum qui a fait une carie radiculaire .
>
> Ca c'est la cerise sur le gateau. c'est beau de solvabiliser de proche en proche
> ! -))))

Sur ta rétro, c'est un strike? (la 16 solvabilise le bridge...) :-)


Capture d  cran 2015 03 12 12.28 - Eugenol
chicot29

12/11/2015 à 21h21

carident écrivait:
------------------
> chicot29 écrivait:
> ------------------
> > enlaye écrivait:
> > ----------------
> > > vulpi écrivait:
> > > ---------------
> > > 35 distal?
> > >
> > > +1
> > > eh , bin sur :-))
> > > un syndrome du septum qui a fait une carie radiculaire .
> >
> > Ca c'est la cerise sur le gateau. c'est beau de solvabiliser de proche en
> proche
> > ! -))))
>
> Sur ta rétro, c'est un strike? (la 16 solvabilise le bridge...) :-)

La 17 aussi facilite la solvabilisation de 15 ( la carie maous laisse poindre une endo). Après il faut que je m'applique à foirer le point de contact du bridge entre 15 et 14 avec un petit coup de fraise pour dépolir distal de 14 histoire d'accélérer la solvabilisation de celle ci. -))))

"Soyons "imaginatifs" "

Catherine Mojaisky.

LOL !


Licorne

12/11/2015 à 22h08

Et pourquoi que Mr chocot l'aime pas les Tfm à clavette? y'a pir comme boulot non.
J'attend aucune réponse....je sens que ça pourrait etre désagréable :))


Capture d  cran 2015 03 12 12.28 - Eugenol
chicot29

12/11/2015 à 22h13

Ca ne sert à rien, qu'a se faire chier à les enlever sur des endos de merde.

Ah si : solvabiliser d'avantage le patient en fragilisant plus la dent. Mais c'est la logique des remboursements sécu CNSD : plus on frite les dents plus ca solvabilise.

La sécu c'est dangereux pour votre santé, que des dentistes signent en plus des conventions pareilles en 2015 ( et fiers de ca en plus) à l'heure de la cfao et de la dentisterie adhésive ca me défrise.
Mais bien sur à condition de payer 3 fois, la sécu les mutuelles et un reste à charge conséquent faute de remboursements pour des onlays par exemple, la CNSD va te dire que les patients ont le choix. -))))


Licorne

12/11/2015 à 22h26

Bon ben puisque j'ai eu une réponse:
Je ne vois pas ce que tu fais d'autre quand tu as perdu toute la couronne clinique?


Licorne

12/11/2015 à 22h26

.


Capture d  cran 2015 03 12 12.28 - Eugenol
chicot29

13/11/2015 à 00h43

Ah , et ca arrive souvent de perdre toute la couronne clinique spontanément ?

De toutes facons quand tu passes le taille crayon en plus de la cavité d'accès de l'endo il n'en reste pas grand chose de la couronne clinique et c'est pas avec 2 tenons que ca change quelque chose à l'affaire -))))


Licorne

13/11/2015 à 01h27

Bon ben puisqu'on est d'accord entre le taille crayon et la cavité d'endo
on fait quoi là maintenant?
On fait pas de Tfm pour eviter de fragiliser les racines ..... ok pourquoi pas (j'ai pas de soluces miracles).
Puis ça sert à rien....ok j'en ai vu se barrer avec 3 tenons.
Mais j'en ai déposé qui m'ont fait chier un max aussi.
Remarque que moi je m'en fout, j'ai arrêté les cacholles.
Mais toi il va bien falloir que tu prennes une décision car t'es encore au taf et que ta couronne qui va rattraper le tarif de merde des soins et bien faudra aussi se la caler:))
Bonne nuit à toi.
(C'est tjs un plaisir)


VivaEuropa?

13/11/2015 à 12h16

EpineDeSpix2 écrivait:
----------------------
> Bonjour, patiente qui a de temps en temps des douleurs sur 36 et qui me dit
> avoir déjà eu un abcès.
>
> Au vu de la présence d'un inlay core clavette et de pivots très longs, vous
> tentez quand meme un retraitement de la dent?
> Ou vous adressez directement chez l'implanto ?
> Ai je une chance de desceller cet inlay core?
>
> J'ai bien sur prevenu la patiente du risque d'extraction et implant en cas
> d'echec du RTE

Tu donnes toi-même la réponse.

Passer directement à l'implanto c'est une perte de chance. Pourquoi sauter une case dans le gradient thérapeutique?

Si on laisse la solvabilisation du patient et les revenus du praticien prendre le dessus sur la décision thérapeutique, on ne parle plus de santé.


Capture d  cran 2015 03 12 12.28 - Eugenol
chicot29

13/11/2015 à 15h55

ca fait longtemps qu'on ne parle plus de santé mais de "solvabilisation"; peu importe les indications, seule la prise en charge du patient si possible intégralement compte.


Avatar uy05sg - Eugenol
guest100

13/11/2015 à 16h20

Y'a qqch sur 35 en distal... c'est pas ça?