Cookie Consent byPrivacyPolicies.comLes regles d'association des radiographies en medecine - Eugenol

Les regles d'association des radiographies en medecine bucci-dentaire

merlin31000

18/11/2015 à 11h33

cyber_quenottes écrivait:
-------------------------
> il y a pas besoin de "renseignements"
>
> je l'ai déjà dit plus haut

cyber, je suis jaloux...
Tu as un énorme avantage sur moi..., tu détiens la vérité et moi non !
Donc, tant que je n'aurai pas sous les yeux un document officiel détaillant toutes les différentes modalités d'application de cette nouvelle règle, je ne ferai aucune affirmation qui pourrait se trouver contredite par la suite...
;=)))


Avatar transparent iqadnc - Eugenol
adhoc

18/11/2015 à 11h34

> Pano (07 01 04 01) associée à Forfait endo ( 18 02 07 01 ) donc autre chapitre
, on pourrait dire pano 100% et forfait endo 50 % . <


>D'après les derniers renseignements que j'ai réussi à glaner, il "semblerait" (sous toute réserve) que cette règle ne s'applique pas aux actes radios complémentaires HBQK040 HBQK061 et HBQK303<

>ici vous essayer d'associer a un acte ISOLE ( pano ou autre ) , un acte ASSOCIE ( forfait )< ( note: lire complementaire a la la place d'associé"


Les indices concordent en effet.

Mais on a toujours le forfait 3 radios complémentaire endo minoré de si une radio diagnostique a été faite préalablement pour la dent ou le groupe de 3 dents, meme plusieurs mois avant, avec l'introduction de la radio hbkq061 (3,99 au lieu de 6.98) .Et ca, ca fait mal, un peu pour notre revenu, mais surtout pour la complexité de la mise en place...


colza2

18/11/2015 à 12h00

la pulpec était sous-entendue
l'exemple est : pano + pulpec+ forfait endo dans la même séance
(bon d'accord c'est pas tous les jours... mais on est devant un monstre informatique : -))) )


merlin31000

18/11/2015 à 12h00

Afin d'argumenter ce débat, voici ce que l'on peut lire page 12 du document officiel ci-joint :

Lorsque un ou plusieurs actes de radiographies du sous-paragraphe 07.01.04.01 sont associés à un ou plusieurs actes de radiographie d’autres sous-paragraphes, la règle de l’article III-3, B, 2 Dérogations, i, relative aux actes radiographies conventionnelles s’applique.

il y a donc de quoi se poser la question, puisque les actes de radio complémentaire endo HBQK040 HBQK061 et HBQK303 se situent dans les sous-paragraphe 18.02.07.01

Pour moi, ce n'est pas aussi limpide que semble l'affirmer cyber et yogi


Capture d  cran 2015 03 12 12.28 - Eugenol
chicot29

18/11/2015 à 14h01

yobi écrivait:
--------------
> Tizott écrivait:
> ----------------
> > A la CNSD, il doit y avoir une épidémie de diarrhée mentale. A chaque nouvelle
> > idée, c'est la merde.
> > On me dit dans l'oreillette que malheureusement il n'y a pas de remède.
>
> Quelle vulgarité!
> on peut s'imaginer sur le forum d'un syndicat populiste...

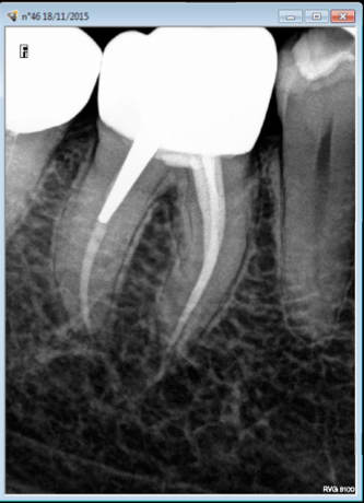
Ca par contre c'est normal. Pano fait dans un autre cabinet et soins aussi. Carie 46 pas de douleur et ......magie une endo IC coiffe en moins de temps qu'il ne faut pour le dire, patient solvabilisé dent défoncée. On a échappé à la peinture canalaire, ouf ! -)))))
Solvabiliser des patients avec des actes d'un autre age en faisant croire que c'est leur intéret ca c'est populiste et c'est du concret..
Ah oui ! j'ai oublié le principal : patiente MGEN. Merci docteur..... de rien c'est gratuit.

Capture d e cran 2015 11 18 12.55 - Eugenol
Capture d e cran 2015 11 18 13.00 - Eugenol

3f3boxni50k58rq7e9ce9ddqrxgk - Eugenol
dentiste57

18/11/2015 à 14h28

yobi écrivait:
--------------
> Vous trouverez en P.J.une fiche d'explication sur les règles d'association des
> radiographies avec de nombreux exemples .
> Il est important de noter que la minoration de 50% du 2em acte et des suivants
> existait déjà en NGAP (mais n'était pas toujours appliquée par les praticiens!)

merci yobi !
on ne remerciera jamais assez la CNSD d'aller négocier le pantalon déjà baissé.

vous savez ce qu'il reste à faire ... votez FSDL aux élections URPS


yobi

18/11/2015 à 18h09

dentiste57 écrivait:
--------------------

> merci yobi !
> on ne remerciera jamais assez la CNSD d'aller négocier le pantalon déjà baissé.
>
> vous savez ce qu'il reste à faire ... votez FSDL aux élections URPS

Voila vraiment le niveau des supporters de la FSDL , des remarques vulgaires et complétement à coté du sujet .
Quel rapport entre une fiche d'explication et une remarque aussi débile.
Mon pauvre Patatrasse , cela ne doit pas être facile de trainer de pareils syndiqués.


yobi

18/11/2015 à 18h12

merlin31000 écrivait:
---------------------

> D'après les derniers renseignements que j'ai réussi à glaner, il "semblerait"
> (sous toute réserve) que cette règle ne s'applique pas aux actes radios
> complémentaires HBQK040 HBQK061 et HBQK303

Le "semblerait" est de trop , j'ai confirmation de CNSD- service que cette règle ne s'applique pas aux radios complémentaires.


yobi

18/11/2015 à 18h13

chicot29 écrivait:
------------------
> Ouais j'en ai marre, le lien pour le forum d'un syndicat non populiste stp
> j'arrive pas à trouver. . -))))
Eugénol des que tu auras retiré 40 râleurs!


X ray 03 medium zvq18j - Eugenol
cyber_quenottes

18/11/2015 à 18h31

il y a aussi le foruminactif ccam csnd

personne n'y va


X ray 03 medium zvq18j - Eugenol
cyber_quenottes

18/11/2015 à 18h34

il y a encore le site de la csnd et les "commentaires"


les 40 râleurs y sont effacés dès qu'ils ouvrent la bouche


la conception du dialogue ouvert de la csnd sans doute

et un modérateur qui ne sait même pas que le proctocole csnd oblige au tiers payant


enfin faut dire que depuis quelques temps ils sont tous un peu à l'ouest

et Yobi encore plus à l'ouest ( forcément )

--
--------------------------
" La charte nous protège "
Catherine mojaisky


merlin31000

18/11/2015 à 18h46

yobi écrivait:
--------------
> merlin31000 écrivait:
> ---------------------
>
> > D'après les derniers renseignements que j'ai réussi à glaner, il "semblerait"
> > (sous toute réserve) que cette règle ne s'applique pas aux actes radios
> > complémentaires HBQK040 HBQK061 et HBQK303
>
> Le "semblerait" est de trop , j'ai confirmation de CNSD- service que cette règle
> ne s'applique pas aux radios complémentaires.

yobi, ce que tu me dis est une "interprétation" de votre part concernant cette règle, or deux choses me gênent profondément :

1° - Je ne l'ai trouvé nulle part dans un document officiel que cette règle ne s'applique pas aux actes complémentaires (si tu m'en trouve un, je suis preneur).

2° - Vous n'abordez pas ce cas de figure dans les différents exemples cités dans votre document.


Spix4ever

19/11/2015 à 00h46

chicot29 écrivait:
------------------
> yobi écrivait:
> --------------
> > Tizott écrivait:
> > ----------------
> > > A la CNSD, il doit y avoir une épidémie de diarrhée mentale. A chaque
> nouvelle
> > > idée, c'est la merde.
> > > On me dit dans l'oreillette que malheureusement il n'y a pas de remède.
> >
> > Quelle vulgarité!
> > on peut s'imaginer sur le forum d'un syndicat populiste...
>
> Ca par contre c'est normal. Pano fait dans un autre cabinet et soins aussi.
> Carie 46 pas de douleur et ......magie une endo IC coiffe en moins de temps
> qu'il ne faut pour le dire, patient solvabilisé dent défoncée. On a échappé à la
> peinture canalaire, ouf ! -)))))
> Solvabiliser des patients avec des actes d'un autre age en faisant croire que
> c'est leur intéret ca c'est populiste et c'est du concret..
> Ah oui ! j'ai oublié le principal : patiente MGEN. Merci docteur..... de rien
> c'est gratuit.

Belle indication d'inlay/onlay qui aurait couté moins cher en tout que bio ic/couronne et aurait couté moins cher à la sécu.



Mais avec un reste à charge probable pour la patiente qui au final se retrouve avec une belle couronne acier.
Un système de santé de qualité :D


Little shop of horrors brzqjx - Eugenol
chatondecarte

19/11/2015 à 12h51

yobi écrivait:
--------------

> Je te rappelle comment ces actes on été créés : la sécu et les politiques ne
> voulaient ni les augmenter , ni autoriser la levé de l'opposabilité (ce qui
> n’empêche pas Soléra de nous la promettre!) , il a donc fallu ruser
> >

Vous l'avez au moins demandez la levée de l'opposabilité??
tout ce que je vois c'est que la panoramique est passé de 28 à 21e et maintenant à 10e si je fais un cbvt....

La fsdl veut multiplier les soins par 3? C'est irréaliste? Vous vous avez réussi à les diviser par 3, ce qui est aussi un exploit!


--
Mon book de chirurgie :
http://facebook.fr/drbbenichou


merlin31000

19/11/2015 à 13h34

chatondecarte écrivait:
-----------------------
>
> Vous l'avez au moins "demandEZ" la levée de l'opposabilité ??

> Mon book de chirurgie :
> http://facebook.fr/drbbenichou

Sans déconner..., Vous l'avez au moins demand"É" la levée de l'opposabilité ??

C'est bien joli ce critiquer..., mais la moindre de choses serait de le faire en respectant la langue française...


Little shop of horrors brzqjx - Eugenol
chatondecarte

19/11/2015 à 13h43

merlin31000 écrivait:
---------------------
> chatondecarte écrivait:
> -----------------------
> >
> > Vous l'avez au moins "demandEZ" la levée de l'opposabilité ??
>

>
> Sans déconner..., Vous l'avez au moins demand"É" la levée de l'opposabilité ??
>
> C'est bien joli ce critiquer..., mais la moindre de choses serait de le faire en
> respectant la langue française...
>

ça c'est constructif.
Je ne vais pas corriger, comme ça ton message aura l'air intelligent.

--
Mon book de chirurgie :
http://facebook.fr/drbbenichou


merlin31000

19/11/2015 à 13h54

chatondecarte écrivait:
-----------------------
> merlin31000 écrivait:
> ---------------------
> > chatondecarte écrivait:
> > -----------------------
> > >
> > > Vous l'avez au moins "demandEZ" la levée de l'opposabilité ??
> >
>
> >
> > Sans déconner..., Vous l'avez au moins demand"É" la levée de l'opposabilité ??
> >
> > C'est bien joli ce critiquer..., mais la moindre de choses serait de le faire
> en
> > respectant la langue française...
> >
>
> ça c'est constructif.
> Je ne vais pas corriger, comme ça ton message aura l'air intelligent.
>
> --
> Mon book de chirurgie :
> http://facebook.fr/drbbenichou

Mail Privé...


3f3boxni50k58rq7e9ce9ddqrxgk - Eugenol
dentiste57

19/11/2015 à 14h20

yobi écrivait:
--------------
> dentiste57 écrivait:
> --------------------
>
> > merci yobi !
> > on ne remerciera jamais assez la CNSD d'aller négocier le pantalon déjà
> baissé.
> >
> > vous savez ce qu'il reste à faire ... votez FSDL aux élections URPS
>
> Voila vraiment le niveau des supporters de la FSDL , des remarques vulgaires et
> complétement à coté du sujet .
> Quel rapport entre une fiche d'explication et une remarque aussi débile.
> Mon pauvre Patatrasse , cela ne doit pas être facile de trainer de pareils
> syndiqués.

mon pauvre yobi tu ne comprends donc pas que quand on négocie il faut mettre des garde-fou afin d'éviter qu'après négociation la cpam revienne sur sa décision et modifie les conditions d'exercice.
encore une grande victoire cette ccam que vous avez voulu négocier seul

au fait vous êtes toujours en train de pré-négocier le plafonnement de la prothèse avec la cpam? c'est quand même curieux que vous n'en fassiez pas la pub...


Avatar transparent iqadnc - Eugenol
adhoc

19/11/2015 à 14h26

Dans ce fil, un probleme tres complexe d'association avec aucune directive officielle et cette réponse que je n'avais pas lue:

"Le "semblerait" est de trop , j'ai confirmation de CNSD- service"

C'est un gag? :-)


merlin31000

19/11/2015 à 14h43

adhoc écrivait:
---------------
> Dans ce fil, un probleme tres complexe d'association avec aucune directive
> officielle et cette réponse que je n'avais pas lue:
>
> "Le "semblerait" est de trop , j'ai confirmation de CNSD- service"
>
> C'est un gag? :-)
>

En fait, la sensation que j'ai est que yobi et la CNSD ne maitrisent pas complètement le sujet et que l'interprétation qu'il en font est erronée.


épin2spix

19/11/2015 à 15h11

Non merlin , vous vous trompez : il faut codifier
1)la pano HBQK002 association 4
2) la pulpect HBFD008 association 4 et l'acte HBQK061 étant complémentaire de la pulpect avec assoc 4 aussi , donc pas minoré du tout
Source assez sure


merlin31000

19/11/2015 à 15h31

épin2spix écrivait:
-------------------
> Non merlin , vous vous trompez : il faut codifier
> 1)la pano HBQK002 association 4
> 2) la pulpect HBFD008 association 4 et l'acte HBQK061 étant complémentaire de la
> pulpect avec assoc 4 aussi , donc pas minoré du tout
> Source assez sure

OK, je suis preneur, MAIS quelle est cette source sûre et quel texte officiel as tu as disposition pour légitimer cette affirmation ?

Moi, ce que je trouve dans le JO du 13 Octobre 2015 c'est :

Lorsque un ou plusieurs actes de radiographies du sous-paragraphe 07.01.04.01 sont associés à un ou plusieurs actes de radiographie d’autres sous-paragraphes, la règle de l’article III-3, B, 2 Dérogations, i, relative aux actes radiographies conventionnelles s’applique.

Or HBQK040 HBQK061 et HBQK303 appartiennent au sous paragraphe 18.02.07.01 et je ne vois nulle part citée une exception excluant les actes radios complémentaires de cette règle.

Donc, pour ce qui me concerne..., wait and see..


12