Cookie Consent byPrivacyPolicies.comQu'est-ce que cette image ? - Eugenol

Qu'est-ce que cette image ?

1 pdnfdy - Eugenol
m4rco

16/11/2015 à 17h16

Bonjour à tous,

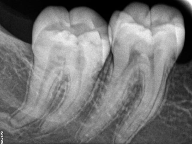
Patiente de 21 ans, 47 sensible à la pression mais pas au froid, avec cette image à l'apex.

A vos avis, qu'est-ce que c'est ?

Merci par avance !

--
Si tu ne sais pas, demande.
Si tu sais, partage !

47   01 wwnn05 - Eugenol
47   02 i72wyu - Eugenol