Cookie Consent byPrivacyPolicies.comBimateriaux 100% artificiel? - Eugenol

Bimateriaux 100% artificiel?

folofrine

21/11/2015 à 23h21

Bonsoir mes amis,
Faisant de la chir implantaire depuis plus de 10 ans je n'ai jamais été confronté au patient ne voulant aucun biomatériau d'origine animal.
Mon biomat de choix est le Biooss
La membrane de routine etant la Collagène AT...
Mais voila, une patinet me demande du 100% artificiel et je n'ai pas trouvé mes essais sur le phosphate tricalcique BetaTCP très concluants par le passé...
Pouvez vous me donner des retours d'expériences svp?
Et quelle membrane?
Merci par avance.

D'autres part cela m'a fait pas mal reflechir sur les risques reels des biomatériaux d'origine animale?
Je poste un second sujet en parallèle à ce sujet.


Bubo bubo portrait xqn39s - Eugenol
oiseaudenuit

22/11/2015 à 02h28

En synthétique le Bone céram de Straumann/botiss est pas mal.Surtout mélangé avec du sang au préalable.
Après on peut prendre le problème à l'envers et proposer de l'os d'origine humaine ou, si cela est possible, encore mieux l' os de la patiente. Pour une ROG c'est jamais très compliqué mais pour un sinus lift ...
Reste le problème de la membrane : il n'existe pas (à ma connaissance) de membrane synthétique.


Bubo bubo portrait xqn39s - Eugenol
oiseaudenuit

22/11/2015 à 02h30

Ben si en fait : le PRF !


Photo pluton1b h9n4ea - Eugenol
pluton

22/11/2015 à 11h11

pour le TCP, mon matériau de choix c'est le Kasios TCP hp

pour les membranes totalement artificielles, çà existe!

-toutes les non résorbables, qu'elles soient en titane, en gore tex, en PTFE, etc...

-pour les membranes résorbables, il y a les membranes vicryl (j'ai essayé....très très bof...faut pas avoir à faire une grosse ROG) et les membranes en acide polylactique du système sonicweld de chez KLS martin pour la boxtechnique...


pour le prf...j'ai du mal à considérer çà comme une "vraie" membrane....


G-P

22/11/2015 à 12h33

Il faudrait savoir à quel usage est destiné ton biomat, tous les biomat ne conviennent pas pour tout.
L'os autogène seul, contrairement à ce qui est dit au dessus, est une très mauvaise option dans la quasi totalité des cas.


folofrine

22/11/2015 à 14h43

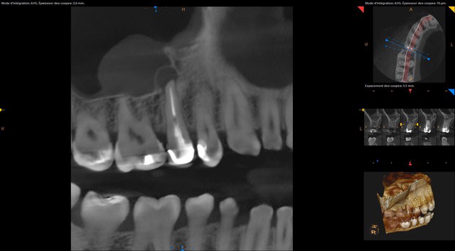
Oui c'est vrai que je n'ai pas mis de details...
Je vous donne quelques images du cas. C'est pour un comblement per-extraction et eviter une CBS.
La membrane vicryl est donc une mauvaise idée? C'est vrai que c'est la seule que j'avais vu comme 100% artificielle. Il y a la Biotech Covamax aussi qui est vendue comme artificielle mais l'origine est bien porcin mais si le collagène est ensuite fabriqué artificiellement.

Screenshot 1.2.250.1.90.3.1251123212.20151007181521.5252 - Eugenol
Screenshot 1.2.250.1.90.3.1251123212.20151007181521.5252 - Eugenol
Screenshot 1.2.250.1.90.3.1251123212.20151007181521.5252 - Eugenol

Photo pluton1b h9n4ea - Eugenol
pluton

22/11/2015 à 15h54

le pb de la membrane vicryl, c'est que c'est pas à proprement parler une membrane, mais un treillis de fils vicryl...
tu n'auras donc pas un barrière cellulaire efficace, donc contamination de ton "greffon"
=> c'est quasi l'échec assuré dans ce cas de figure, sauf si tu fais en plus un bouchon épithélio-conjonctif associé que tu sutures par dessus...à condition là aussi que çà ne s'expose pas secondairement par nécrose ou rupture des points...

dans ton cas, le plus simple (et surement aussi le plus sage...) c'est tout simplement de remplir l'alvéole de prf...


G-P

22/11/2015 à 16h46

Vu le scan il va être quasiment impossible de cureter efficacement, et donc greffer ici est très risqué.
Tu peux prélever un greffon épithélio-conjonctif pour fermer ton alvéole, et juste laisser l'alvéole remplie de sang (ou pourquoi pas du PRF si tu as le bazar, mais pas vraiment nécessaire).

Alternativement, tu peux expliquer à ton patient que pas de bras = pas de chocolat, et que tu ne peux rien faire pour lui.


Images 1 vwmtnm - Eugenol
Castor

22/11/2015 à 19h32

moi je ferai:
extraction, curetage+++, PRF biomat de ton choix


Bubo bubo portrait xqn39s - Eugenol
oiseaudenuit

22/11/2015 à 21h27

G-P écrivait:
-------------
> Il faudrait savoir à quel usage est destiné ton biomat, tous les biomat ne
> conviennent pas pour tout.
> L'os autogène seul, contrairement à ce qui est dit au dessus, est une très
> mauvaise option dans la quasi totalité des cas.

Ne sachant pas pour quelle utilisation était destiné le biomat, j'ai fait une réponse générale. J'aurais du faire comme toi, préciser l'indication.
Nous sommes d'accord, pour certaine greffe, le sinus lift par ex, l'utilisation d'os autogène est au mieux inutile au pire mutilante.
Mais pour des greffes en bloc ça reste,selon la littérature, le gold standart.
Pour ce qui est du cas traité ici, mon avis est qu'il ne faut pas utiliser de biomat tout de suite. Il faut extraire, cureter, temporiser et réevaluer.