Cookie Consent byPrivacyPolicies.comgreffe BIOBANK d'un greffon cortical fin - Eugenol

greffe BIOBANK d'un greffon cortical fin

3f3boxni50k58rq7e9ce9ddqrxgk - Eugenol
dentiste57

22/11/2015 à 13h47

comme je suis de garde ce matin, j'ai donc le temps de poster un petit cas récemment terminé avec les nouveaux greffon d'os cortical biobank.
photos
1 situation manque osseux en vestibulaire
2-3 greffon cortical

attention fragile !!

4 -5 greffe
6 3d avant
7 3d après
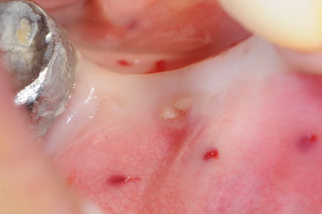
8 légère exposition à 5 mois mais sans conséquences pour le greffon
9 10 greffon coupant qui est ensuite meulé

Dsc 1638 wdu7na - Eugenol
Dsc 1639 bsofjz - Eugenol
Dsc 1640 x5sg4c - Eugenol
Dsc 1641 nr6fp2 - Eugenol
Dsc 1642 qjhxyt - Eugenol
Rot 1 mzdp7f - Eugenol
Dsc 2692 xszhkl - Eugenol
Dsc 2694 ywanw5 - Eugenol
Dsc 2695 br8yme - Eugenol
Dsc 2696 ngdwqs - Eugenol

S2y2o1v7q53ws4r5wy6ou8czrpom - Eugenol
pxav

22/11/2015 à 14h25

très sympa ça, le plus surprenant, c'est peut être la modification au niveau de l'implant sur 44, apparemment tu n'as rien mis et les spires semblent recouvertes...

--
xbk
"Si tous ceux qui croient avoir raison n'avaient pas tort, la vérité ne serait pas loin" Dac Pierre


Smile beach jgh0a1 - Eugenol
Céramik

22/11/2015 à 17h29

Sympa
3D après ?
Tu as ajouter 2e greffe après la pose du 2e implant ?
J'aurais ajouter une couche de Bio-oss pour maintenir le volume


--
Céramik


tarski

23/11/2015 à 09h59

intéressant ce greffon d'os cortical fin. Quel est le coût ? ( environ ).


Photo pluton1b h9n4ea - Eugenol
pluton

23/11/2015 à 10h11

190€ pour une petite de 10x12
280€ pour une grande de 10x22

beau résultat D57


3f3boxni50k58rq7e9ce9ddqrxgk - Eugenol
dentiste57

23/11/2015 à 13h25

je ne sais pas pourquoi mais toutes les photos ne sont passées

le scan à 4 mois

pour l'implant 44 j'avais mis de l'os autogène et une membrane osseogard

Rot 2 qhysvq - Eugenol

3f3boxni50k58rq7e9ce9ddqrxgk - Eugenol
dentiste57

23/11/2015 à 13h28

Céramik écrivait:
-----------------
> Sympa
> 3D après ?
> Tu as ajouter 2e greffe après la pose du 2e implant ?

non greffe des deux blocs le même jour, mais au début je ne voulais faire qu'un seul bloc et puis... c'est fragile ces petites choses...

> J'aurais ajouter une couche de Bio-oss pour maintenir le volume


sur de l'os mort , bof, par contre en deuxième intention , c'est pas con


Smile beach jgh0a1 - Eugenol
Céramik

23/11/2015 à 15h52

dentiste57 écrivait:
--------------------
> Céramik écrivait:
> -----------------
>
>
> sur de l'os mort , bof, par contre en deuxième intention , c'est pas con


C'est à la ré-ouverture que j'aurais ajouter ;-)


--
Céramik


3f3boxni50k58rq7e9ce9ddqrxgk - Eugenol
dentiste57

24/11/2015 à 15h40

oui, tu as raison, c'est pas con


3f3boxni50k58rq7e9ce9ddqrxgk - Eugenol
dentiste57

20/12/2015 à 13h14

voici la dernière greffe en BioBank faite avec les greffons corticaux que j'ai réalisé il y a 10 jours.

je posterai le résultat dés que possible.

en janvier je greffe le coté droit..

1 situation de départ
2 découpe de la cortical pour aller chercher une racine
3 la racine
4 gros trou ! = apport direct sanguin pour le greffon
5-6 ne pas percer le greffon sur une compresse ! putain, c'est pas possible je suis vraiment têtu ..
7-8 greffon en place avec vis Stoma 1 mm ( Françoise je vais être en rupture de stock!!! et à mon avis je vais pas être le seul)
9 membrane
10 sutures en u

Dsc 2786 hqdc5l - Eugenol
Dsc 2789 snzdww - Eugenol
Dsc 2792 co48xo - Eugenol
Dsc 2787 mhmsc0 - Eugenol
Dsc 2788 t4ywjq - Eugenol
Dsc 2790 cdwoji - Eugenol
Dsc 2791 nacm3n - Eugenol
Dsc 2793 kzkhet - Eugenol
Dsc 2794 tjwnhm - Eugenol
Dsc 2795 nsfqfx - Eugenol

Smile beach jgh0a1 - Eugenol
Céramik

20/12/2015 à 23h50

dentiste57 écrivait:
--------------------
> voici la dernière greffe en BioBank faite avec les greffons corticaux que j'ai
> réalisé il y a 10 jours.

Salut
C'est propre et bien fait, comme d'hab.
Mais je vois mal le gain de cette greffe, ou bien je pige pas quelque chose.
Il fait combien en épaisseur le greffon 1-2 mm ?
Merci

--
Céramik


3f3boxni50k58rq7e9ce9ddqrxgk - Eugenol
dentiste57

21/12/2015 à 00h40

un peu plus de trois mm

c'est vrai que sur les photos , l'angle de vue ne te permet pas de visualiser le gain que l'on cherche à obtenir
le morceau est placé avec un angle d'environ 45 ° je devrais avoir une augmentation latérale et verticale qui me permettra de poser un implant car pour l'instant je ne dispose que de 4 mm par rapport au NAI


S2y2o1v7q53ws4r5wy6ou8czrpom - Eugenol
pxav

21/12/2015 à 08h15

je me posais la même question...

--
xbk
"Si tous ceux qui croient avoir raison n'avaient pas tort, la vérité ne serait pas loin" Dac Pierre


003 penrd2 - Eugenol
Cingulum

21/12/2015 à 11h22

Interessant de voir aprés cicatrisation. Ce bloc est très corticalisé, risque de fonte ou d'intégration partielle... a suivre.

--
Dr Cingulum
-----Ancien interné----
----Attaché à l'apex----
http://www.clinic-all.fr/ formation par passion


Smile beach jgh0a1 - Eugenol
Céramik

21/12/2015 à 22h46

Une bonne saucisse la prochaine fois ;-)

--
Céramik


aterman

22/12/2015 à 16h57

Merci pour le partage....

- quel fil de suture utilises tu?
- de quel ordre est a la resorption du greffon quand tu ouvres?
- combien de temps avant l implant?
- recul clinique et prix d un greffon?

Merci


3f3boxni50k58rq7e9ce9ddqrxgk - Eugenol
dentiste57

22/12/2015 à 17h41

aterman écrivait:
-----------------
> Merci pour le partage....
>
> - quel fil de suture utilises tu?
je n'ai que du 6/0 et du 5/0 au cabinet, et ici ceux sont des sutures 6/0

> - de quel ordre est a la resorption du greffon quand tu ouvres?

parfois un simple lissage de la forme et rarement d'avantage

> - combien de temps avant l implant? environ 3 à5 mois

> - recul clinique et prix d un greffon?

moins d'une dizaine de cas avec la version corticale (nouveauté) et beaucoup plus en cortico-spongieux
>
> Merci