Cookie Consent byPrivacyPolicies.comComposites antérieurs - Eugenol

Composites antérieurs

3231500709 2 2 94jcbpqu h1bmap - Eugenol
T4xus

22/11/2015 à 22h53

Salut tout le monde,

Je créé ce topic parce que cela fait quelques mois que je me suis lancé dans des compo stratifiés antérieurs et je me rends bien compte que je ne suis pas encore au point, je suis souvent insatisfait du résultat et même si les patients sont généralement contents, j'aimerais vraiment m'améliorer, alors si vous aviez des conseils à me donner, ça serait cool ^^

J'essaye d'être le plus rigoureux possible dans la réalisation des composites que je fais, cependant, il y a au moins 2 paramètres que je ne peux pas changer étant donné que je suis collaborateur : le composite que j'utilise (Ivoclar IPS Empress Direct) et le fait que je travaille très souvent sans assistante...


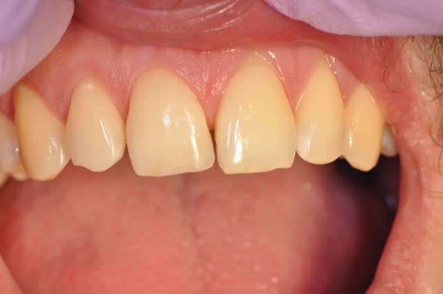
Voici un exemple de composite que j'ai fait cette semaine et dont l'aspect ne me convient pas :


Composite fracturé sur 11, un peu étendu en palatin

[url=http://www.noelshack.com/2015-47-1448223416-dsc-0006.jpg][img]http://image.noelshack.com/minis/2015/47/1448223416-dsc-0006.png[/img][/url]

Petit mock-up à l'arrache (flow) étant donné la faible perte de substance

[url=http://www.noelshack.com/2015-47-1448223416-dsc-0008.jpg][img]http://image.noelshack.com/minis/2015/47/1448223416-dsc-0008.png[/img][/url]


Clé en silicone (mal positionnée car tenue par le patient) sur la dent débarrassée de tout l'ancien composite (j'ai fraisé la paroi vestibulaire résiduelle vue sa faible épaisseur). Réalisation d'un biseau court en vestibulaire.

[url=http://www.noelshack.com/2015-47-1448223416-dsc-0011.jpg][img]http://image.noelshack.com/minis/2015/47/1448223416-dsc-0011.png[/img][/url]

21 téflonnée, puis mordançage sélectif émail (10 secondes) et émail-dentine (10 secondes), rinçage (20 secondes minimum), application de l'adhésif MR3 (Optibond FL) et photopolymérisation (10-15 secondes)

[url=http://www.noelshack.com/2015-47-1448223416-dsc-0013.jpg][img]http://image.noelshack.com/minis/2015/47/1448223416-dsc-0013.png[/img][/url]

Réalisation de la paroi palatine en masse émail englobant le bord incisal et le rebord en interproximal (ce qui permettra à la matrice transparente de prendre une forme correcte)

[url=http://www.noelshack.com/2015-47-1448223419-dsc-0015.jpg][img]http://image.noelshack.com/minis/2015/47/1448223419-dsc-0015.png[/img][/url]

Mise en place de la matrice transparente maintenue par un coin de bois

[url=http://www.noelshack.com/2015-47-1448223419-dsc-0017.jpg][img]http://image.noelshack.com/minis/2015/47/1448223419-dsc-0017.png[/img][/url]

Dépose de la masse dentine en essayant de reproduire l'anatomie des mamelons. Je pense que c'est à cette étape que je me plante, je pense que je ne mets pas assez de masse dentine. Désolé photo floue...

[url=http://www.noelshack.com/2015-47-1448223419-dsc-0018.jpg][img]http://image.noelshack.com/minis/2015/47/1448223419-dsc-0018.png[/img][/url]

Mise en place de la masse émail pour la face vestibulaire, mise en forme grâce à la matrice transparente.

[url=http://www.noelshack.com/2015-47-1448223419-dsc-0023.jpg][img]http://image.noelshack.com/minis/2015/47/1448223419-dsc-0023.png[/img][/url]

Travail de la surface vestibulaire à la fraise diamantée, élimination des excès et polissage : disque, fraise silicone (?) sous eau et brossette carbure de silicium sans eau. La phase de polissage me prend bien 15-20 minutes.

[url=http://www.noelshack.com/2015-47-1448223420-dsc-0025.jpg][img]http://image.noelshack.com/minis/2015/47/1448223420-dsc-0025.png[/img][/url]


Malgré tout ça, l'aspect du composite est moyen, on voit la démarcation dent-composite malgré la réalisation d'un biseau court et un polissage appliqué.
D'autre part, la teinte est pas top (je me suis planté au début, j'ai pris A2 alors que le patient est A3, j'ai donc déposé 1 semaine plus tard la couche de composite vestibulaire (en laissant la masse dentine A2 et la masse émail en palatin A2) que j'ai refaite en A3. Je me demande si je ne met pas trop de masse émail et pas assez de masse dentine.

T4xus

Dsc 0006 at4j9l - Eugenol
Dsc 0008 n3fsl7 - Eugenol
Dsc 0011 gsgf0w - Eugenol
Dsc 0013 xwbtny - Eugenol
Dsc 0015 dq2hre - Eugenol
Dsc 0018 gizerd - Eugenol
Dsc 0023 bkpo3s - Eugenol
Dsc 0025 k8qxc6 - Eugenol

Olieve

23/11/2015 à 00h00

Tu es fort critique avec ton travail, parce que franchement ce n'est pas mal du tout, la macrophotographie ne pardonne aucun détail.

Quelques réflexions cependant :

Pour le joint trop visible, l'Optibond FL n'est probablement pas le meilleur choix en zone esthétique, trop épais et trop opaque je pense.

Pour les masses émail/dentine : la dent n'est déjà pas très caractérisée au départ (pas de bord incisal ou proximal vraiment translucide). Il fallait donc être très économe de masse émail. A ce sujet, les conférenciers ou livres qui parlent de stratification exagèrent toujours l'épaisseur de la couche émail sur leurs schémas. Il faut vraiment utiliser très peu de masse émail sinon la teinte tourne vite vers le gris.

Le choix de teinte : quand on hésite entre 2 teintes, toujours choisir la plus saturée des 2 à mon humble expérience. Et si tu penses avoir mal choisi, c'est au niveau de la dentine qu'il faut corriger.

Si l'occlusion le permettait j'aurais travaillé sur la symétrie des 2 incisives.

Mais encore une fois : joli boulot !


tictac

23/11/2015 à 00h04

tout ca pour 43€, je crois que tu perds ton temps mon jeune mai. SInon sympa le partage et je trouve que c'est deja tres bien, tu es exigeant et c'est une bonne chose en soit


3231500709 2 2 94jcbpqu h1bmap - Eugenol
T4xus

23/11/2015 à 01h45

Merci pour vos réponses.

Je crois effectivement que je ne mets pas assez de masse dentine et trop de masse émail en vestibulaire. Je vais essayer de changer ça.

Pour l'adhésif, je n'y avais pas pensé. C'est une bonne remarque, j'essayerai avec un autre...

Je pense que le plus difficile, c'est le choix de la teinte, je me rends compte que je me trompe encore trop souvent. J'oublie souvent de prendre la teinte au début de la séance et lorsque que j'y pense, la dent est déjà sous digue et totalement déshydratée, je me retrouve donc - quand ça m'arrive - avec un composite beaucoup trop lumineux.

Pour la symétrie, l'occlusion en propulsion ne me permet pas d'être beaucoup plus haut.


Capture d  cran 2015 03 12 12.28 - Eugenol
chicot29

23/11/2015 à 10h13

tictac écrivait:
----------------
> tout ca pour 43€, je crois que tu perds ton temps mon jeune mai. SInon sympa le
> partage et je trouve que c'est deja tres bien, tu es exigeant et c'est une bonne
> chose en soit

A 43 euros surtout ne pas se prendre la tete. Faire simple et pour commencer pas de digue.

Bosser comme ca c'est donner raison au système.

Capture d e cran 2015 11 23 09.11 - Eugenol

Spix4ever

23/11/2015 à 10h39

Franchement ils sont déjà très bien tes compos.

Mais franchement pour 43 euros (moins la rétrocession) c'est du bénévolat !
Je continue à en faire pour mon plaisir perso des stratifiés de tps en tps mais sinon c'est monoteinte pour 43€ ou sinon c'est céramique si le patient veut mieux.
#tariftiersmondes.

Après si tu le factures 200€ ton compo (ce qui me parait justifié) continue à te faire plaisir :D


Capture d  cran 2015 03 12 12.28 - Eugenol
chicot29

23/11/2015 à 11h07

Spix4ever écrivait:
-------------------

> Mais franchement pour 43 euros (moins la rétrocession) c'est du bénévolat !

Non c'est pas du bénévolat ( il est collaborateur) et donc payé au % age du chiffre d'affaire, pas du déficit. -))))


dentech

23/11/2015 à 11h34

+1 pour l'importance de l'épaisseur de l'adhesif lui meme, je vois moins les joints compo-dent avec le XpBond qu'avec le scotchbond Universal, ce qui me rassure plus sur la longévité du joint (probablement psycho mais bon).

Aussi si ta as trop de gris c'est que tu as trop de masse émail, où qu'elle soit !! Càd que la palatine aussi augmente la transparence, nos compos n'ont pas forcément l'opacité de la dentine naturelle qui est de toute façon très variable d'un patient a l'autre et d'une dent à l'autre, ainsi en mettant la même épaisseur de compo que de dentine naturelle, ce n'est pas assez opaque ! Pour augmenter l'épaisseur de dentine il est plus intéressant de rogner sur l'émail palatin.

sur une canine pas exemple je ne met pas d'émail en palatin et j'ai d'excellents resultats.


3231500709 2 2 94jcbpqu h1bmap - Eugenol
T4xus

23/11/2015 à 11h40

Je ne facture pas 43€, je prends systématiquement du NR (entre 90 et 140€ supplémentaires) pour les composites stratifiés. J'utilise le code ZAPQ001 (photo intra-buccale) intitulé "Digue, stratification, analyse esthétique". C'est pourquoi je veux que ce soit nickel.

C'est plus cher que 43€ mais ce n'est pas plus rentable vu le temps passé (entre 1h et 1h30 selon la taille du composite). Par contre je me fais plaisir :)


BucaR

23/11/2015 à 12h22

T4xus écrivait:
---------------
> Je ne facture pas 43€, je prends systématiquement du NR (entre 90 et 140€
> supplémentaires)



ah beh là c'est le patient qui se fait arnaquer Lol

blague à part,

C'est un patient qui doit avoir la 30aine ou 40aine, teinte A3 vita, pas de translucidité du bord libre, pas d'apect particulier de l'émail, je pense que tu aurais pu avoir le même résultat avec une monoteinte en reconstituant à main levée avec un strip transparent en 15 min. Et çà devrait être facturé 90-140 euros.


Capture d  cran 2015 03 12 12.28 - Eugenol
chicot29

23/11/2015 à 12h24

Donc devis une séance de gâchée en blablabla. ......

je préfère grouper les actes. Coter un acte par quart d'heure minimum pour limiter les dégats en soins conservateurs.

Ici status, extraction 25, compos 16 26, détartrage. 1 H.

Capture d e cran 2015 11 23 11.14 - Eugenol
Capture d e cran 2015 11 23 11.18 - Eugenol
Capture d e cran 2015 11 23 11.19 - Eugenol
Capture d e cran 2015 11 23 11.20 - Eugenol

3231500709 2 2 94jcbpqu h1bmap - Eugenol
T4xus

23/11/2015 à 12h38

BucaR écrivait:
---------------
> ah beh là c'est le patient qui se fait arnaquer Lol

Lol, ça y est, la sécu y est arrivée : dès que l'on prend plus que les honoraires du Rwanda, c'est de l'arnaque.

Ah attendez, on me dit dans l’oreillette que les honoraires au Rwanda sont plus élevés qu'en France...

> C'est un patient qui doit avoir la 30aine ou 40aine, teinte A3 vita, pas de
> translucidité du bord libre, pas d'apect particulier de l'émail,

Si, justement, sur la 21 on voit les mamelons par transparence, ce que j'ai refait sur la 11 (ça se voit pas trop sur la photo)


> aurais pu avoir le même résultat avec une monoteinte en reconstituant à main
> levée avec un strip transparent en 15 min. Et çà devrait être facturé 90-140
> euros.

Rien que faire assoir le patient et préparer le champ opératoire, ça me prend 15 minutes lol


chicot29 écrivait:
------------------
> Donc devis une séance de gâchée en blablabla. ......


Lors du premier RDV, je fais le bilan, une pano et j'explique ce qu'il y à faire. Ce n'est pas du temps perdu en "blabla". Ce n'est pas parce que je ne me lance pas tête baissée dans le premier compo qui se présente que je perds du temps...


Capture d  cran 2015 03 12 12.28 - Eugenol
chicot29

23/11/2015 à 12h50

T4xus écrivait:
---------------

> chicot29 écrivait:
> ------------------
> > Donc devis une séance de gâchée en blablabla. ......
>
>
> Lors du premier RDV, je fais le bilan, une pano et j'explique ce qu'il y à
> faire. Ce n'est pas du temps perdu en "blabla". Ce n'est pas parce que je ne me
> lance pas tête baissée dans le premier compo qui se présente que je perds du
> temps...

Attention à la pano indiquée en cas de signes d'appels uniquement. Ne pas faire des panos tete baissée. -))))
Qui te parle de foncer tete baissée ? Rétro coronaires recommandées. Puis ptt. Si il y a de quoi faire en 30 mn c'est fait séance tenante.


tictac

23/11/2015 à 13h34

dans quel cas tu utilises plus le systeme triodent que la matrice kerr?


3231500709 2 2 94jcbpqu h1bmap - Eugenol
T4xus

25/11/2015 à 02h20

dentech écrivait:
-----------------
> ainsi en mettant la même
> épaisseur de compo que de dentine naturelle, ce n'est pas assez opaque ! Pour
> augmenter l'épaisseur de dentine il est plus intéressant de rogner sur l'émail
> palatin.

Je pense que c'est effectivement une bonne partie du problème, car je cherche à être homothétique avec les épaisseurs d'émail et de dentine de la dent et je me retrouve avec pas assez d'opacité.
En revanche, j'ai un peu peur que le fait de ne plus monter la face palatine en masse émail ait des répercussions esthétiques au niveau du bord incisal (car je le monte en même temps que la face palatine). Je vais plutôt essayer de moduler le ratio masse dentine/masse émail vestibulaire.